
胸部下方,膈肌以下为腹腔。腹腔呈椭圆形,前后径稍小于左右径;在肝脏下方的腹前壁正中可以显示进出腹壁的脐带回声。由上向下扫查,腹腔上大下小;内部可显示的结构包括肝脏、胆囊、脾脏、胃、肠道、肾上腺、肾脏和腹部大血管等结构。
一、消化系统
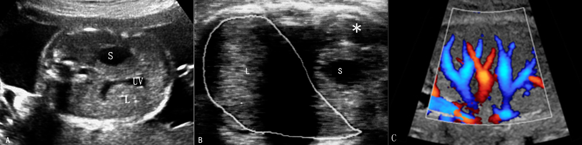
1.肝脏和脾脏 肝脏(L)是胎儿腹腔内最大的实质性器官,几乎占据整个上腹部,横断面占据腹部横截面的三分之二以上(图1A,B)。正常肝脏右叶大于左叶、上部大于下部;左外侧较尖锐,右侧圆钝;表面光滑、清晰;内部显示与成人肝脏相似的中等偏强的回声,分布均匀;第一肝门区可见门静脉进入肝脏,在第二肝门区可见肝静脉进入下腔静脉;在肝脏左叶可显示脐静脉进入肝脏(图1C)。
在肝左侧外侧、胃腔无回声(S)的后上方可见半月形的脾脏低回声(*),形态规则,边缘清晰,内部回声均匀(图1B)。

图1 胎儿上腹部横切面声像图
2.胆囊 14~16孕周后胎儿可显示胎儿胆囊回声(图2,GB)。正常胆囊长轴呈梨形,横切面呈类圆形,位于上腹部脐静脉(UV)腹腔段右侧,与脐静脉成一锐角,近腹壁但与腹壁不相连,无搏动,囊壁回声较脐静脉的管壁回声强,也较厚。当难以分辨胆囊与脐静脉时,可应用彩色多普勒超声进行鉴别。产前超声检查有时可显示胆囊结石、胆囊增大、胆囊水肿等,有报告染色体异常可能合并胆囊回声异常。

图2胎儿胆囊横切面声像图
3.胃 孕12周时可显示胎儿胃泡(图1、图3 S)。孕15周以后显示的更清晰。正常胃位于左上腹、心脏和左侧膈肌下方,大小、形状与胃的充盈状态有关。正常情况下显示为无回声椭圆形或牛角形结构,有时可显示胃壁的蠕动。显示胎胃充盈欠佳或显示不清时应在30min~45min后复查。胃的横径多<2.5cm。有肠道闭锁时胃泡会明显增大,食道闭锁时胃泡缩小或消失。胃的位置异常可由内脏转位引起,或与心脾综合征(无脾或多脾)有关。

图3胎儿胃泡横切面声像图
4.肠道 中期妊娠时肠道呈管壁回声略强、内含小暗区的蜂窝状结构(图4 BO),当肠道回声近似或强于脊柱回声时应进追踪观察,若同时出现羊水过多或肠管扩张等情况时,病理意义更大。
中晚期妊娠时,小肠位于下腹中央,结肠位于其周边、胎胃的下方,为无回声管状结构,可识别结肠带,在分娩前几周因胎粪充盈显示更佳。若以上正常位置关系发生了改变,则要仔细分辨是否存在腹壁缺损、脐疝或膈疝。不要把腹腔外的肠管误作外生殖器。
正常情况下,晚期妊娠时结肠内径小于20mm,小肠内径不超过7mm,节段长度不超过15mm,若超过此径则需要排除肠道梗阻可能。肠道梗阻表现为近端肠扩张,梗阻发生在越近段越易伴有羊水过多。

图4胎儿肠道横切面声像图
二、泌尿生殖系统
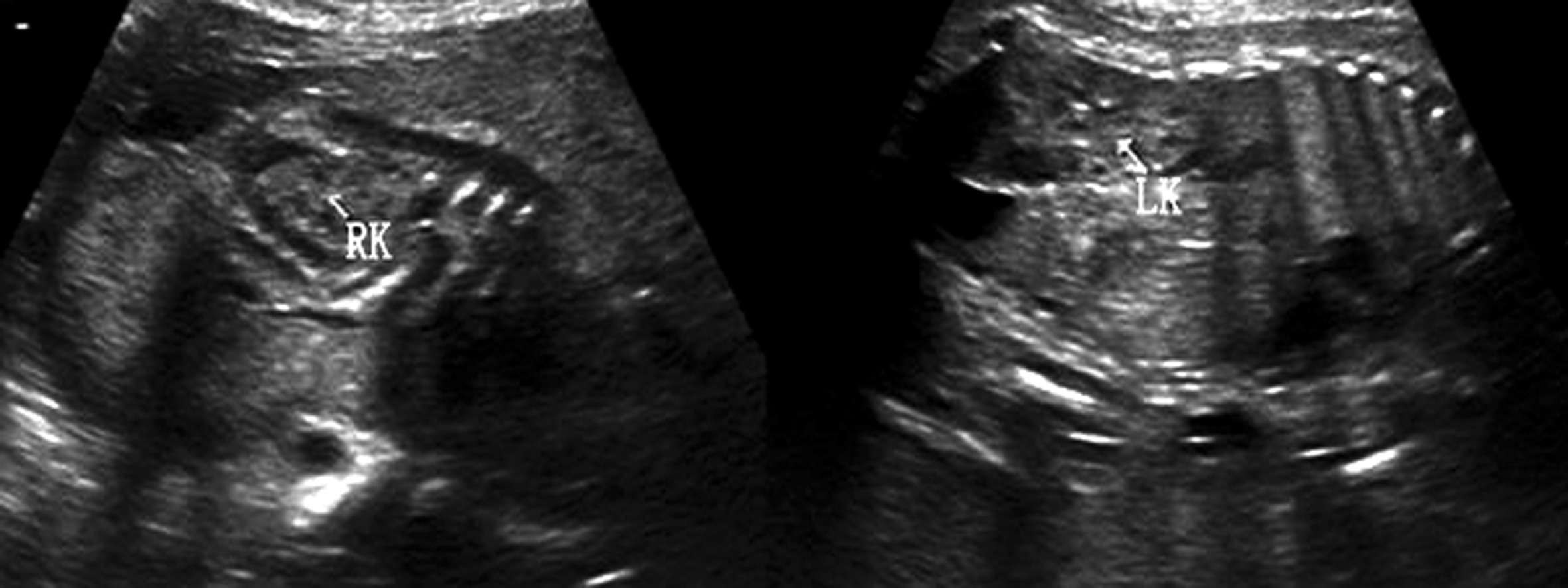
1.肾脏 孕14周时可显示出胎儿双肾,18周后可清晰显示(图5)。正常肾脏位于脊柱两旁,低于成人肾的位置,在腹部脊柱旁矢状面上呈长圆形蚕豆样,肾脏水平横切时呈圆形,右侧(RK)稍低于左侧(LK)。最初胎儿肾脏为均匀的低回声区结构。随着妊娠的进展,可见到更为详细的内部结构。等回声的肾皮质包绕在低回声的锥形髓质周围,中央强回声区为集合系统,肾盂呈无回声长条状结构,位于集合系统中央。肾外周为肾周脂肪和肾囊。当超声显像检查肾脏回声显示不清时,CDFI检查肾动脉有助于确认肾脏的存在(图6)。肾脏周长、容积、厚度和长度均与孕龄有良好的相关性,正常肾脏长度相当于4~5个椎体的高度;在整个妊娠期肾周长/腹围保持在比较恒定的0.27~0.30之间。

图5胎儿双肾纵切面声像图

图5胎儿双肾纵切面声像图
2.肾上腺 孕18周后在肾脏内前上方弯眉状或米粒状的低回声区并内部中央线状强回声的为肾上腺。在横切肾脏后稍向上方(头侧)平移探头即可显示;三维超声检查可以获得胎儿肾上腺的容积,并对胎儿发育状况有一定的评估作用。
3.膀胱 显示为盆腔内圆或椭圆形无回声区(图7 BL)。正常情况下早孕晚期开始产生尿液,孕13周以后可显示为典型的无回声区,脐动脉腹腔段的显示有助于对评估的辨认。正常膀胱每20~45min充盈和排空一次,孕15周可清晰显示。膀胱容量不定,过度充盈时,要在30~45min后复查以排除尿路梗阻。

图7胎儿膀胱横切面声像图
4.胎儿外生殖器 男性外生殖器较女胎的易显示。男性外生殖器可显示阴囊、*丸睾**、阴茎(图8A)。注意不要将两腿间的脐带、手指、腹腔外的肠道(脐疝或腹裂所致)误作为阴茎或阴囊。孕18周后,阴囊和阴茎可清晰显示。孕22周后,大阴唇可清晰显示(图8B)。

图8外生殖器声像图
(三)前腹壁
脐带进出腹腔的部位及其周围腹壁完整性是前腹壁超声检查的重要内容[6, 21]。正常时腹壁的肌肉层回声比较低,应当注意与可能存在的胎儿腹腔积液或假性胎儿腹腔积液鉴别[52]。在脐部可以显示一根较粗的脐静脉和两根稍细的脐动脉,二维超声检查和CDFI检查均可显示脐动脉与膀胱的关系。局部腹壁与脐带三根血管关系明确、清晰,不应显示膨出或混有其他回声。
(有专业需求的可参考《实用胎儿电子监护学》,人民卫生出版社,2016)