近日,一位男性青年因“右眼被钢笔戳伤2小时余”来我院就诊,在眼二科、耳鼻喉科、麻醉科、手术室护理团队的全力配合下,成功为患者实施鼻内镜协助下眶壁异物取出+眼球破裂伤清创缝合术,历时6小时,手术顺利完成,患者脱离生命危险。

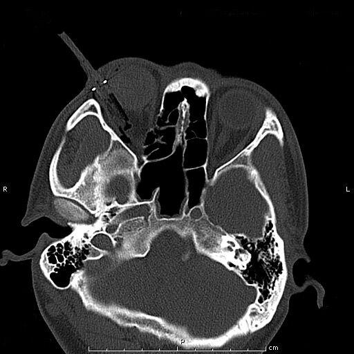
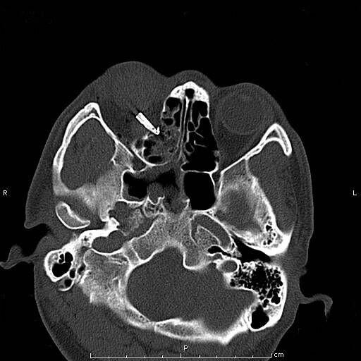
患者青年男性,因“右眼被钢笔戳伤2小时余”入院,眼科查体:视力:右无光感,左0.4。眼压:右不能检查,左正常。右眼上睑红肿,钢笔自颞上方眼睑刺入,末端位置不详,睁眼困难;结膜充血、水肿,角膜尚清,前房积血,余眼内结构窥不入。左眼未见明显异常。入院后完善眼眶CT检查,印象:右眼眶异物并右眼球破裂伤、眶内壁骨折,异物嵌顿于眶壁。钢笔内含墨水,伤情重且复杂。

经科室讨论、充分评估患者病情,与患者进行病情沟通后,拟于全麻下实施右眼眶壁异物取出+眼球破裂伤清创缝合探查+眼睑皮肤裂伤清创缝合+万古霉素玻璃体腔注药术。由于钢笔笔尖与笔筒游离且笔尖弯曲倒钩于眶壁,使异物取出难度大大增加,经专家团队讨论,决定在鼻内窥镜协助下联合眶内入路分离、截断内直肌、下直肌成功将眶内壁异物自鼻腔完整取出,手术取得圆满成功。



此前,这类眶壁异物的患者需至省级甚至北京、上海就诊。杨家干主任谈及该患者手术风险时指出:患者眶壁异物末端笔尖在刺入并抵达眶骨时折弯,形成倒刺钩挂骨壁,能否完整取出异物至关重要;患者年轻,力争为其保住眼球。此次联合鼻内窥镜开展眶壁异物取出的手术方式,标志着我院眼眶方面治疗又上了一个新的台阶,也将为更多的患者带来福音。(张莹 张营春)