通常来说,月经周期规律的女性每个月排卵一次,想要怀孕,错过了排卵期就只能等待下次排卵。所以监测排卵对于正在备孕的女性非常重要,特别是月经周期不规律的女性,她们的排卵期也不规律,例如多囊卵巢综合的患者,监测排卵就尤为重要了。备孕的女性可能听说过很多种计算排卵的方法,如排卵试纸监测、基础体温测定、月经周期推算、B超监测排卵等。然而,只有B超监测排卵是观察卵泡发育、内膜厚度和确定排卵期最准确的方法。
阴超和腹超怎么选?首选经阴道超声,阴道超声不需要憋尿,探头更加接近子宫及卵巢,更能精准观察内膜形态及厚度、窦卵泡数量、卵泡大小及形态。



排卵期应何时开始监测、监测多少次?
B超监测的目的是观察是否有优势卵泡生长、优势卵泡是否成熟、成熟卵泡是否已排卵。对于月经周期为28-30天的女性,至少要监测3-4次,一般是从月经周期第10天开始监测,这个时候可以观察到优势卵泡生长,之后隔天监测,当监测到卵泡成熟时要每天监测,直至监测到排卵。但对于月经周期不规律的女性,应该根据月经周期的长短,适当调整初次监测的时间,月经周期较长者适当推后,月经周期较短者适当提前。对于需要在医生指导下用药促排的女性,监测的时间及次数需要严格按照临床医生的要求来进行。
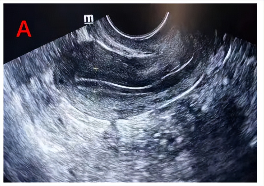
B超监测成熟卵泡
卵泡的生长周期:窦卵泡(月经期):卵巢内多个直径<10mm的小卵泡。
生长卵泡(月经周期10天左右):
卵泡直径生长到10mm以上,一般有1-2个。
优势卵泡(月经周期12天左右):
卵泡直径达到15mm及以上,一般只有1个。
成熟卵泡(月经周期14天左右):卵泡直径达到18-25mm时,外形饱满呈圆形或椭圆形,内壁薄而清晰,位置移向卵巢表面并向外突出,如果卵泡一侧内壁上探及卵丘(出现率约20%),表现为细小点状高回声 ,意味着排卵过程将在24小时内开始。


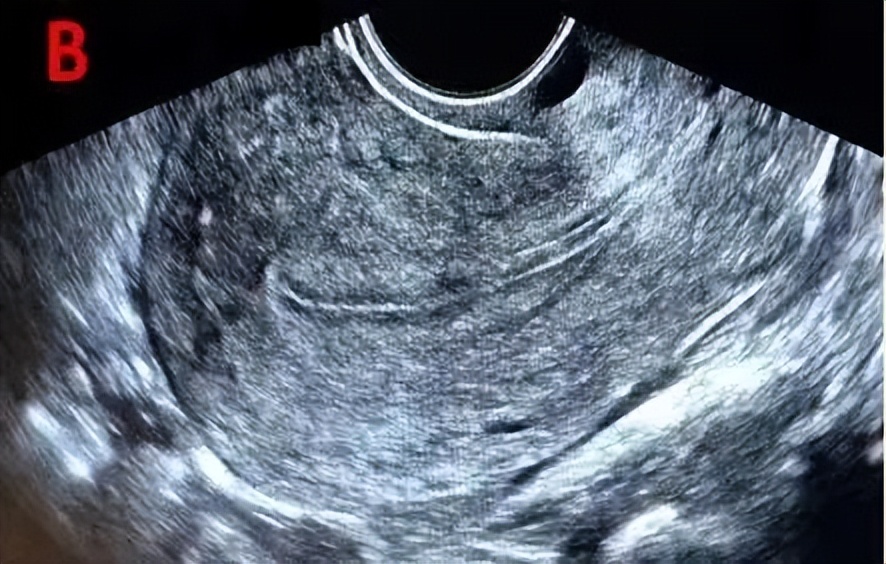
B超监测内膜
卵泡早期的内膜较薄,厚度约3~6 mm,随着卵泡生长,雌激素水平逐渐升高,内膜不断增厚。当卵泡达到成熟时,内膜厚度一般可达10-14mm。我们利用阴道超声根据Gonen分型标准,对内膜形态进行分型,分为三型:A、B、C型。A型及B型子宫内膜的妊娠率显著高于C型。

A型即三线型内膜,外层和中央为强回声线,外层和宫腔中线间为低回声区。常见于子宫内膜增生期。

B型为弱三线型,为均一的中等强回声,宫腔中线回声不明显,一般见于黄体早期。

C型为均质强回声,为均质强回声,无宫腔中线回声,一般见于黄体晚期。
排卵后的变化
成熟卵泡消失或原成熟卵泡直径明显缩小,形态不规则,壁皱缩,卵泡内透声差,可见细弱光点,部分女性会出现子宫直肠凹积液,子宫内膜逐渐由A型转变为C型。

B超检查需要注意什么
- 检查当天着装轻便舒适,方便穿脱,避免穿紧身裤、连体裤、长筒靴等。
- 进行阴道超声检查时,提前排空膀胱;进行腹部超声检查时,提前憋好尿。
- 检查时尽量放松身体,有任何不适及时向检查医生提出。
- 检查结束后,及时取超声报告。
好卵泡怎么养?
饮食均衡有营养,规律作息勤锻炼,心情舒畅少焦虑,久备不孕来就医。
供稿:付灿 | 初审:李霞
文字编辑:王校宇 | 校对编辑:李龙浩
审核:戚正涛 | 审定发布:陈冠林