
经皮穿刺抽液治疗盆腔淋巴囊肿复发率较高,单纯置管引流成功率为79%~87%,复发率为30%。无水乙醇硬化治疗成功率为88%~97%,复发率为3%~10%。CT介入硬化治疗妇科术后盆腔淋巴囊肿

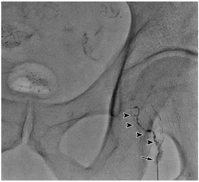
复发/难治性盆腔淋巴囊肿可尝试应用淋巴管栓塞术。在超声引导下,应用微穿针穿刺,微穿针远端置于淋巴结皮质与髓质之间,经微穿针缓慢注入超液化碘油,DSA密切监测淋巴管显影情况,必要时术中CBCT监测淋巴管显影。

超声引导下穿刺淋巴结

DSA下淋巴管造影
当实时显影出现与淋巴囊肿相连接的淋巴管时即可进行栓塞治疗。淋巴管栓塞治疗术后仍需密切观察淋巴囊肿引流量。

淋巴管造影+栓塞治疗