#健康解密# #皮肤病# #湿疹、青春痘等常见皮肤病及性病#
什么是脂溢性皮炎?
脂溢性皮炎是指发生在皮脂腺丰富部位皮肤的炎症和脱屑,主要累及头皮、面部和躯干上部。脂溢性皮炎是一种常见皮肤病,人群发病率为2%~5%,好发于青壮年。眉毛、鼻旁沟皱折、面颊、耳郭、胸部、肩胛部、腋窝及腹股沟等处为好发部位。皮损发红并覆有油性糠秕状状鳞屑。

脂溢性皮炎的原因是什么?
研究证实马拉色菌在脂溢性皮炎发病中起重要作用。马拉色菌在皮脂分泌旺盛的部位容易生长繁殖,菌过度增多可刺激皮肤表皮的增生和脱落,机体的防御和变态反应促使局部发红、发炎、发痒,反复搔抓、刺激更加重炎症反应,使皮肤增厚变粗糙、继发细菌感染,形成恶性循环,使皮屑不断增多难治。

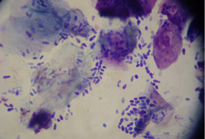
马拉色菌
什么是头皮屑?
头皮屑是指发生在头皮的脂溢性皮炎,常有头部的皮屑过多,为油性糠秕状鳞屑附着于头皮、头发根部及发际,随梳头或自然脱落,常伴有头皮瘙痒和红斑。

脂溢性皮炎和头皮屑应注意什么?
应限制高脂、高糖饮食,忌辛辣饮食,少饮酒,保障充足睡眠,经常洗头。不宜外用含皮质类固醇激素的霜剂。不要搔抓皮肤,以免加重炎症、继发细菌感染。

忌辛辣油腻刺激食物
如何治疗脂溢性皮炎和头皮屑?
用抗真菌药物酮康唑制成的香波(采乐)治疗溢性皮炎和头皮屑有明显的效果,开始可每日洗1次,在头皮及面都保留数分钟,再用清水洗去,症状减轻后改为每周洗2次。研究发现酮康唑不仅可降低头皮马拉色菌的数量,而且可抑制炎症反应,炎症严重时可内服伊曲康唑,每200~400mg,分2次餐后服用,连服7天。也可配合内服海棠合剂、火把花根片或甘利欣等抗炎药,瘙痒严重者内服氯雷他定(开瑞坦)等抗组胺药物。
