骨肿瘤中英文对照
-
动脉瘤样骨囊肿 ABC = Aneurysmal bone cyst
-
软骨粘液样纤维瘤 CMF = Chondromyxoid fibroma
-
嗜酸性肉芽肿 EG = Eosinophilic Granuloma
-
骨巨细胞瘤 GCT = Giant cell tumour
-
骨纤维异常增殖症 FD = Fibrous dysplasia
-
甲状旁腺功能亢进棕色瘤 HPT = Hyperparathyroidism Brown tumor
-
非骨化性纤维瘤 NOF = Non Ossifying Fibroma
-
单纯型囊肿 SBC = Simple Bone Cyst
-
尤文氏肉瘤 = Ewing's sarcoma
-
骨样骨瘤 = Osteoid osteoma
-
骨软骨瘤 = Osteo Chondroma
-
内生性软骨瘤 = Enchondroma
-
软骨肉瘤 = Chondrosarcoma
-
骨肉瘤 = Osteo sarcoma
-
软骨母细胞瘤 = Chondroblastoma
-
骨髓瘤 = myeloma
-
转移瘤 = metastasis
-
淋巴瘤 = lymphoma

上图为最常见的不明确的骨肿瘤和肿瘤样病变。在这个区域里,我们可能会发现多种病理改变:
恶性骨肿瘤 Malignant bone tumors:
-
尤因肉瘤 Ewing's sarcoma
-
骨肉瘤(最常见的表现:硬化)Osteosarcoma (most common presentation: sclerotic)
-
白血病 Leukemia
-
转移和骨髓瘤 Metastases and Myeloma。
侵袭性良性病变Aggressive benign lesion:
-
感染 Infection
-
嗜酸性肉芽肿 Eosinophilic granuloma
-
局部侵袭性巨细胞肿瘤 locally aggressive Giant Cell Tumor
年龄明确的不明确的硬化的

以上表格是最常见的骨肿瘤和肿瘤样病变在不同年龄组。在中间列中常见的边界不清的溶骨性病变。
请注意以下事项:
-
感染在所有年龄段都可见。
-
GCT中的边界欠清在局部侵袭性病变中可见。
-
软骨肉瘤一般可见较明确的界限,但高级软骨肉瘤可以是界限不清。
-
转移和骨髓瘤一般界限分明,但有时不明确。
软骨肉瘤 Chondrosarcoma
重要提示:
1、虽然一些常见的边界明确的病变,也可以存在少量的病例会表现为一个边界不清的溶骨性病变。
2、当在肿瘤内存在大的粘液样成分时,可以看到钙化,但是它们对于诊断不是必需的。

上图为部分边界欠清的溶骨性病变,伴有内皮层扇形(endosteal scalloping)。瘤体内存在软骨样基质的云状钙化。这些影像学表现与病灶大小有利于软骨肉瘤的诊断。

上面两个其他病变,确诊是软骨肉瘤。注意钙化在软骨肉瘤中不是必需的。

上图是一个有分叶的部分边界不清楚的肱骨近端的溶解性病变。钙化的存在表明这是一个软骨形成的肿瘤。具有皮质受累和扩张的溶解部分应该高度怀疑高级软骨肉瘤。
嗜酸性肉芽肿 Eosinophilic granuloma
重要提示
1、EG类似骨髓炎,是一个良性和恶性骨肿瘤的大型模拟器,它有良性病灶的征象,有些也有恶性病灶的征象。
2、必须包括在30岁以下患者的几乎任何不明确的溶骨性骨病变的鉴别诊断中。
3、也可能表现为一个边界清晰的病变。
4、在30岁以上的患者中可以排除EG。
5、通常发现在头骨,下颚骨,脊椎和长骨,但可以发生在任何地方。

上面是一些EG的例子边界欠清。有单层或多层骨膜反应。

上图EG在颅骨中的典型表现为边界欠清的溶骨性病变。
尤因氏肉瘤 Ewing's sarcoma
重要提示:
1、最常见的表现:在具有大的软组织块的儿童的长骨的骨干中具有多个小孔的不明确的溶骨性病变。
2、表示疼痛,肿块,发热,贫血和白细胞增多。
3、最常见的位置:股骨,髂骨,腓骨,肋骨,胫骨。
4、鉴别诊断:骨肉瘤,淋巴瘤,感染和EG。
5、侵袭性的骨膜反应,不是良性的类型。

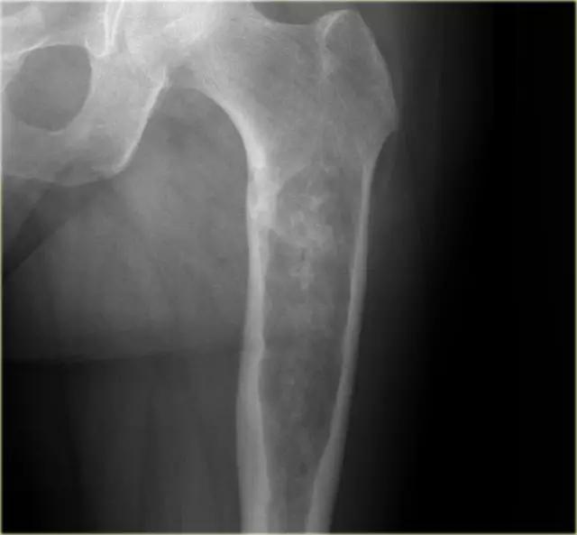
在股骨的骨干的尤因氏肉瘤。注意边界欠清(蓝色箭头)和骨膜反应(红色箭头)。

上图是年轻患者股骨中不明确的溶解性病变。存在具有不规则皮层破坏的渗透性破坏形态。有一个侵略性骨膜反应(箭头)。

上图为一个年轻患者,右髂骨的一个不明确的溶解性病变,很容易被忽视。
最终诊断:尤因肉瘤。
骨巨细胞瘤 Giant cell tumor
重要提示
-
巨细胞瘤是良性病变,但可以是局部侵袭性的。
-
明确的边缘与局部侵袭性较低与生物学行为相关。
-
在许多情况下,边界是不明确的。
-
这些肿瘤常常使皮质变薄,并可能扩展到骨周围的软组织中。
-
最常见于20-40岁。在> 40岁的年龄组中,转移和浆细胞瘤必须包括在鉴别诊断中。

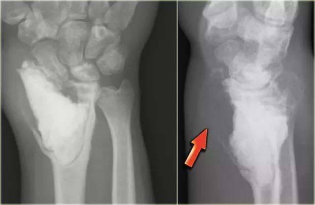
在左图,桡骨的一个骨巨细胞瘤具有不明确的边缘,破坏软骨下骨板和向软组织延伸。在右图,在胫骨近端的巨细胞瘤具有稍微更好的限定的边缘和非中断的皮质骨。

注意侵袭性外观与不明确的边界,延伸到软组织和软骨下骨板的破坏。
在骨骺和干骺端的定位有利于GCT的诊断。在右侧冠状T1加权CE图像。
有弥漫性不均匀强化,并延伸至腕关节和骨和软组织周围水肿。

同一病人在刮除和水泥放置后的随访期间。存在与骨水泥相邻的骨的骨溶解的软组织肿胀。这表明复发或残留病变。

另一个GCT表现为边界欠清晰的病灶,从C5和C6棘突所产生的一个周边骨壳膨胀性病变。具有FS的矢状T2加权MR图像显示肿瘤内的多个小腔,是继发性ABC。
淋巴瘤 Lymphoma
重要提示:
原发性骨非霍奇金淋巴瘤是罕见的。
主诉:一般的疼痛和可触及包块。
常见位置:股骨和肱骨。
X线表现可以从几乎正常直至广泛浸润。
鉴别诊断:
尤因氏肉瘤小年龄组,然而,淋巴瘤通常在较高的年龄组
转移和浆细胞瘤年龄> 40岁

平片显示肱骨骨干的边缘欠清的溶解性病变。注意皮质骨的隧道(红色箭头)。在MR上注意到皮质骨和周围软组织块内的线性异常。鉴别诊断(取决于年龄):尤因氏肉瘤,骨髓炎和骨淋巴瘤。活检显示非霍奇金淋巴瘤
转移瘤 Metastases
重要提示:
骨中最常见的恶性肿瘤。
必须考虑在任何骨病变的鉴别诊断> 40岁。
可能存在明确的溶骨性,不明确的骨溶解也作为硬化骨病变。
大部分溶骨性转移瘤源自乳腺,肺,肾,结肠,黑素瘤和甲状腺。

这是一位60岁的患者,已知有恶性肿瘤。在股骨远端有一个病变,你可以很容易地忽略,并认为它是局灶性骨质减少。损伤呈现为延伸到骨骺中并且几乎抵靠关节表面,大的边缘模糊的溶骨性损伤。在20-40岁的患者中,有可能诊断成GCT。它被证明是一种转移。
多发性骨髓瘤/浆细胞瘤 Multiple Myeloma / Plasmacytoma
重要提示:
这种疾病通常发生在老年人中。少于3%的病例发生在年龄小于40岁的人群中。
多发性骨髓瘤,必须被包括在任何溶骨损伤的鉴别诊断中,无论是边界清晰还是不清晰。
最常见的表现:多发性溶骨“穿孔”样病变。单独呈现被称为浆细胞瘤。
通常在骨扫描上没有增加的摄取。
最常见的位置是轴向骨骼(脊柱,头骨,骨盆和肋骨)和长骨(股骨和肱骨)的骨干。

颅骨侧位X射线显示了多发性骨髓瘤和多个“穿孔”孔的典型发现。

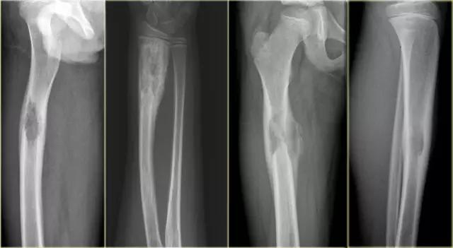
X-射线显示在腿的各个区域的典型损伤。(左)胫骨(胫骨)的病变。(中心)在膝盖附近的大腿骨(股骨)的两个损伤。(右)臀部附近的上大腿骨的大病变。
骨髓炎 Osteomyelitis
重要提示:
放射影像征象多样性。
可能发生在任何年龄,没有典型的位置。
射线照相外观:主要的反应性变化,包括骨膜反应,硬化和水肿。
骨膜反应和渗透形态可能很像恶性肿瘤:尤因氏肉瘤,骨肉瘤,淋巴瘤,白血病。
在儿科年龄组,嗜酸性肉芽肿也可以模拟骨髓炎。
小儿骨髓炎:最常见于干骺端,可以穿越到骨骺。
成人骨髓炎:最常见于干骺端或骨干。

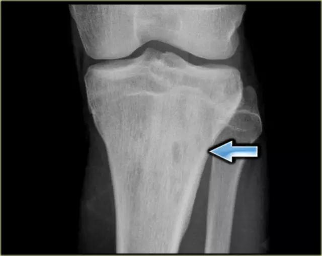
这是亚急性形式的骨髓炎。可以看到在近侧胫骨的骨骺板的两侧的偏心不明确的病变。这是骨髓炎的高度暗示。其他损伤一般不穿过生长板。在右冠状T1加权磁共振成像显示一个明确的骨骺贯通病变。有反应性硬化的暗周边区,并与在干骺端低信号强度广泛水肿。

上图为胫骨近端干的边界欠清的骨性病变,具有广泛的反应性硬化和固体骨膜反应。

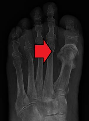
第一趾的骨髓炎
骨肉瘤 Osteosarcoma
重要提示:
骨肉瘤的标志是骨基质的产生,其通过在X光照片上看到的硬化来反映。
通常典型的恶性特征包括进行性破坏浸润,不规则的皮层破坏和侵袭性(中断)骨膜反应。
偶尔,骨肉瘤可以看到溶骨性或硬化溶解混合性病变并存。
完全溶解的骨肉瘤可以代表毛细血管扩张亚型,由填充有血液的多个空腔组成(可以类似于动脉瘤骨囊肿)。

混合溶骨和硬化病变在近端肱骨与不规则的骨皮质破坏。存在侵袭性骨膜反应和软组织块。
来源:影领学苑
【版权声明】本平台属公益学习平台,转载系出于传递更多学习信息之目的,且已标明作者和出处,如不希望被传播的老师可与我们联系删除