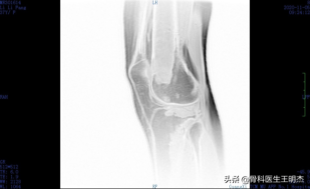
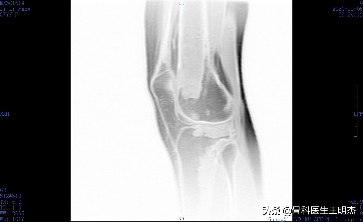
骨梗死又称骨髓梗死、骨脂肪梗死, 指发生于干骺端和骨干的骨性坏死, 多发生于股骨下端、胫骨上端和肱骨上端, 呈多发性和对称性改变。

临床上, 骨梗死可分为两种类型: (1) 单纯骨干及干骺端型骨梗死; (2) 骨干骨梗死合并关节面骨坏死 (以膝关节常见) 。


基本病理改变分为细胞性坏死阶段和骨修复阶段:细胞性坏死为骨组织血供中断, 骨细胞死亡。骨髓造血组织对缺氧非常敏感, 最早是骨髓细胞成分死亡 (6~12 h) , 以后是骨细胞、破骨细胞及骨母细胞 (12~48 h) , 最后是骨髓脂肪细胞坏死 (2~5天) 。骨髓脂肪细胞坏死为骨梗死末期的改变。

骨梗死发生后则进入骨修复阶段, 包括血管再生、肉芽组织生成、死骨吸收、新生骨形成。血管再生是骨修复的开始, 死骨吸收, 形成纤维结缔组织和致密新生骨则是骨梗死的晚期阶段。骨梗死在演变的过程中有3个基本病理改变, 即死骨块、吸收带 (充血、水肿带) 、新生骨带, 是骨梗死X线、CT、MRI等影像学诊断的基础。
骨梗死是否需要手术治疗是有争议的, 应该谨慎选择手术指征。