“如果,由于某种奇迹,我可以睁眼看三天,紧跟着回到黑暗中去,我将会把这段时间分成三部分。第一天,我要看人,他们的善良、温厚与友谊使我的生活值得一过。第二天,我要在黎明起身,去看黑夜变为白昼的动人奇迹。我将怀着敬畏之心,仰望壮丽的曙光全景。第三天,……”
——海伦·凯勒《假如给我三天光明》
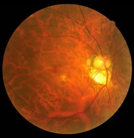
73岁的杨奶奶是北京清华长庚医院眼科刘瑄副主任医师的老患者。检查发现,由于半年前左眼的手术失败使她完全丧失了左眼的视力——无光感,右眼是高度近视,不带眼镜时只能看到视力表的第二行—0.12,即使戴上眼镜,矫正视力也只有0.4。眼压分别是右眼21.8mmHg;左眼4.3mmHg。检查眼底后,一个更坏的结果显示杨奶奶仅有微弱视力的右眼不但患有高度近视眼底病变,还同时患有青光眼,视神经萎缩(图1)。视野检查可见严重的视野缺损(图2中黑色的部分即为视野缺损部分)。

图一

图二
为了尽可能改善杨奶奶的视功能,让她微弱的视力能有些许的改善,刘瑄医生一方面给她开了抗青光眼的滴眼液,降低眼压,延缓青光眼的进展。另一方面给她做了眼科正在开展的一项视神经萎缩康复治疗新技术——经颅直流电刺激治疗。经过一个疗程10天的康复治疗,视野检查结果显示中心视野有了初步的改善(视野检查结果中黑色的范围在缩小);第二个疗程后,视野缺损的指标:MD从 -21.80dB 降为 -20.43dB,PSD 从11.82dB降为11.21dB。杨奶奶自己也感觉看东西更清楚,更舒服了。

我院眼科与康复科现正合作开展“经颅直流电刺激术治疗视神经萎缩患者视野缺损的临床研究”新技术新疗法,治疗缺血性视神经病变、原发性开角型青光眼、眼外伤及颅脑损伤等疾病所导致的视神经萎缩、视野缺损,目前取得了良好的初步结果。
受试者招募
经颅直流电刺激术(transcranial direct current stimulation,tDCS)
视神经损伤所致的视神经萎缩和视野缺损一直被认为是不可逆的,是永久性的。到目前为止,包括糖皮质激素治疗或视神经管减压术在内的所有治疗措施都不能有效恢复视神经萎缩患者的视野缺损,因此有必要寻找新的治疗方法。
经颅直流电刺激术(transcranial direct current stimulation,tDCS)是一种通过施加于头皮表面的持续低强度的直流电刺激来改变神经可塑性和皮质兴奋性,以实现其神经生理效应的神经刺激治疗手段。作为新兴的神经调控治疗技术,被广泛用于疼痛、帕金森病、卒中后运动功能障碍和失语、多发性硬化、癫痫、意识障碍、阿尔茨海默病、耳鸣、抑郁症及精神分裂症等多种神经系统疾病的治疗。国内自主研发的tDCS设备临床使用已经近10年。
招募人数
本研究课题已经得到北京清华长庚医院伦理委员会的审查和批准,现招募40名受试者自愿参加。
受试者报名条件
视神经萎缩致视野缺损的患者。
纳入标准:
1、正常眼压青光眼患者,24小时眼压测量、视神经纤维层缺损及视野缺损稳定一年以上者。视野缺损范围累及中心3°视野;
2、非动脉炎性缺血性视神经病变,血压、视神经纤维层缺损及视野缺损稳定一年以上者。视野缺损范围累及中心3°视野。
排除标准
1、符合入选标准但未签知情同意书的患者;
2、年龄小于18岁或大于80岁;
3、未签知情同意书的患者;
4、进展型脑卒中;短暂性的脑缺血发作;
5、矫正视力低于0.1者;眼内压控制不良,眼压持续大于18mmHg或眼压日曲线波动大于5mmHg者;因视网膜病变引起视野缺损者;
6、有严重感染或严重合并症(心、肺、肝、肾)者;
7、使用植入式电子装置(例如心脏起搏器)的患者;
8、颅内有金属植入器件的患者;
9、孕妇;
10、局部皮肤损伤或炎症患者;
11、刺激区域有痛觉过敏的患者。
治疗及周期
经颅直流电刺激疗法操作简单,无创无痛苦。只需要将刺激器的电极:阳极置于后脑头皮上,阴极置于患侧肩部皮肤。电流强度为2mA,刺激时间30分钟。每天一次,每周连续治疗5天,连续2周,一个疗程共10次。
第1周:签署知情同意书,完成眼部及视功能检查;
第2~3周:经颅直流电刺激治疗(第1疗程);
第4周:休息,复查眼部及视功能检查;
第5~6周:经颅直流电刺激治疗(第2疗程);
第7~18周:康复治疗后随访,1周、4周及12周完成眼部结构及视功能评价。
★本研究方案中使用的经颅直流电刺激术无明显不良反应报道。此外,任何治疗都可能出现无效的情况。参加本项研究,您的病情有可能获得改善,本项研究还有助于确定这种治疗方法是否可以治疗与您患有相似病情的其他病人。
相关费用
为了补偿您参加本研究可能给您带来的不便,本研究将支付您参加本项研究期间所做的视功能检查费用以及随访时的挂号费,并免费提供康复评定。经颅直流电刺激治疗费用不在免费范围之内 。如果您同时合并其他疾病所需的治疗和检查,以及因治疗无效而改用其他治疗的费用,将不在免费的范围之内。
咨询电话
陆医生 15201031791

北京清华长庚医院是由清华大学与北京市共建共管的大型综合性公立医院。
医保号:21110130
