(张国灵)近日,哈尔滨医科大学附属第一医院泌尿外科二病房、群力泌尿外科主任王春阳教授团队,成功开展机器人辅助膀胱肌瓣左输尿管成形手术,为患者解决了又一困扰难题----阴道漏尿。
48岁的刘女士(化名)在当地医院行腹腔镜下子宫切除术后1周出现了持续性地阴道不自主漏尿。起病以来辗转省内多家医院诊治,做过多次手术,可吃饭、行走、睡觉时无法控制的漏尿依旧不得解决,使刘女士对未来生活的恐惧日益加深。通过哈医大一院服务号了解到泌尿外科王春阳教授擅长应用机器人治疗泌尿外科疾病,刘女士遂找到王春阳教授求治。
王春阳教授详细了解刘女士的病史,患者左侧输尿管全程扩张,左肾功能轻度受损,右肾积水,右肾功能未见异常,输尿管与膀胱连续性中断并且盆腔有液性暗区。


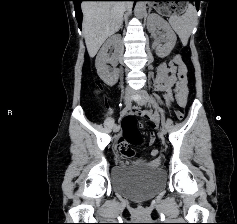
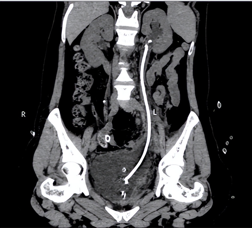
图一 术前泌尿系三维CT 图二 术后3天泌尿系三维CT


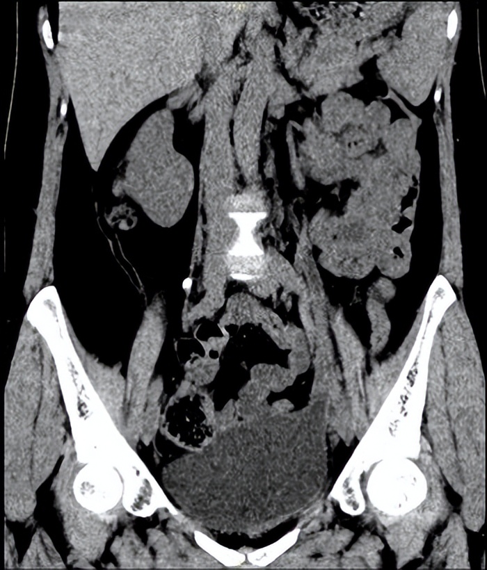
图三、四 术后3月泌尿系三维CT
王春阳教授表示,输尿管阴道瘘是尿液经输尿管和阴道之间形成的瘘口流出后导致阴道内不停流尿的疾病,为妇女最痛苦的疾病之一。团队结合该患者实际情况,为了最大限度解决其尿瘘、保护肾功能、降低感染发生、减少创伤,建议采取机器人辅助膀胱肌瓣左输尿管成形术治疗。
在麻醉科和手术室的密切配合下,王春阳教授团队历时4小时,成功用6cm膀胱肌瓣替代了损伤的输尿管、留置输尿管支架完成手术。术中出血量仅20mL,术后连续观察三天没有再发生漏尿情况,患者顺利出院,出院3个月后引流管顺利拔除,仍无漏尿再发,治疗效果受到患者及家属高度认可。

王春阳教授介绍,膀胱肌瓣是一种与输尿管相似的自体组织,在重建输尿管与膀胱连续性方面有着天然优势。机器人辅助膀胱肌瓣左输尿管成形术与其普通腹腔镜和开放术式相比,有着精确地分离组织,避免损伤神经、血管,术中出血少、术后创伤小、恢复快、住院时间短、术后并发症少等优势,同时也对手术设计、解剖识别、缝合功底等能力都有着更高的要求。
王春阳教授强调,该例手术的成功实施为我省受输尿管阴道瘘困扰的女性患者提供了更具安全性、可行性的微创治疗方式。