“为什么是我?”即使到了现在,已经做完手术的张女士回忆自己生病的经历,依旧觉得很难接受:
“我总感觉我在爬一座山,已经爬到山顶,还没来得及喘口气,就‘咣当’,掉下悬崖了。”

一纸诊断再次击垮一个家庭
2022年2月,张女士结束了长达13个周期的化疗。
自从2年前在湖南省肿瘤医院做完“乙状结肠癌”手术后,张女士一直在进行放化疗治疗,本以为疾病就这样顺利远离了。

但到了4月份的时候,突如其来的阴道流血,让张女士有点手足无措,于是决定前往医院检查。
CT结果显示 “肝脏转移瘤较前缩小,左附件包块70*48mm,考虑转移瘤”。
张女士至今仍然记得最初接到报告单时的心情:“被吓了一大跳,怎么也接受不了!”
她想不通,为什么会是自己……

而病情的恶化速度之快,也让张女士更为悲观。
五月份的时候张女士已经出现腹痛的情况,而且随着肿瘤的生长和腹水,躺平后显得肚子特别大。
张女士很清楚,自己的当务之急是赶紧好起来,回到以前风平浪静的生活中去。
可是,谁能给她指条“明路”呢?

正纠结,才知长沙就有最牛大咖
正当她纠结时,之前的主治医生告诉了她一个信息:
“你现在的情况找陈亦乐主任是最好的, 她是国务院津贴专家,名副其实的妇瘤‘一姐’。 ”
听到这话,张女士顿时大喜过望,抱着“不管怎么样,找最好的医生,反正要治好”的心态, 找到湖南妇女儿童医院妇瘤科陈亦乐教授,赶紧约了个号。
一开始,张女士觉得这位肿瘤界赫赫有名的“大咖”,就像一位邻家大姐,满面笑容,和蔼可亲。

但没想到,她拿到自己的片子和报告后,却说了一句让她心情瞬间跌倒冰点的话——
“考虑是 卵巢库肯勃氏瘤 ,也就是平常所说的癌细胞扩散到了卵巢,而且已经出现了肠梗阻,手术难度非常大。”

√
库肯勃氏瘤是什么?
可以想象一下一个画面:
假如把癌细胞看成一群蚂蚁,它们通过淋巴道这条“通道”侵袭到卵巢里,“绑架”血管为它们提供营养,日夜生长。

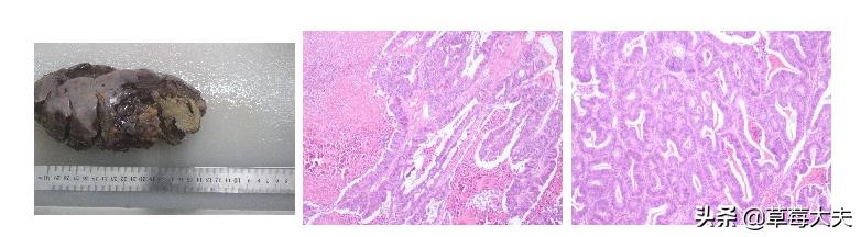
最终王女士卵巢部位的肿瘤居然增长至约17 × 12cm,几个月时间, 肿瘤直径增长了3倍、体积增长了近10倍, 增长速度如此之快,还严重压迫腹腔脏器。

打开肚子后,医生也惊呆了.....
张女士这个肿瘤实在巨大,严重压迫腹腔脏器,当务之急是把这个肿瘤切除。在完善各项检查,评估无手术禁忌后,5月18日,陈亦乐主任团队为张女士进行了手术。
在张女士如同足月妊娠大小的腹部划开一个小孔,抽出黄色腹水近2000ml后,医生们终于可以看清腹腔内的情况了,但这一眼就让人倒吸了一口凉气——
只见王女士 肠壁与肠壁、腹膜、子宫、肿块表面紧紧粘连在一起, 像一床大棉被一样,把各种器官、病灶都严严实实地掩盖在肠管下面,只有表面扩张、蠕动的血管,在“警示”着医生们,只要稍有不慎就会大出血,再想止住就难了。


面对好像是纠缠在棉絮里面的绳子,极难分离,又极易损伤的粘连情况,陈亦乐主任凭借40年从业经验的技巧,像绣花一样精细,抽丝剥茧般用超声刀、单极电刀将粘连部分一一分离,这不仅需要精准的判断和下刀,还需要手术团队默契的配合。
“一点儿也不敢快,精工出细活。”陈亦乐主任和助手精神高度集中,不能有分毫的松懈,凭借无比的耐心和精湛的技术,最终让张女士“变胖”的最大罪魁祸首,完整“暴露”了! 它的大小堪比一个小柚子,表面分布着坏死的组织和大片黄色烂鱼肉状的组织。


随着肿瘤的完整切除,手术总算有惊无险,花了整整5个小时,出血量仅400ML,生命体征稳定,手术后1个小时,张女士渐渐苏醒。
躺在病床上,张女士仍挣扎着写了封感谢信这位“救命恩人”,对陈亦乐主任表示感谢。
除了张女士,还有很多“老病友”都跟陈亦乐主任保持着联系。作为医者,她衷心希望——
“自己能够听到大家更多的好消息。”

▲本文经由湖南妇女儿童医院妇瘤科陈亦乐主任医师专业审核。