
昨天小编给大家
科普了“老掉牙”这件事。
小编想告诉大家:
“牙齿健康很重要!”
因此,今天咱们继续,
科普一波智齿~
「牙疼不是病,疼起来真要命」
所有在深夜里被牙痛醒过
或是为牙医一掷千金的人
都知道一口好牙有多重要
然而我们很多人的口腔里面
却存在着一个隐患......

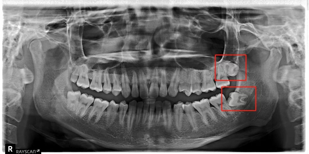
左划看看他们真实的模样

这个时候你可能会痛到
五官扭曲

把整副牙齿挤歪:

甚至是导致
间隙感染、心内膜炎感染

《》

左划解锁更多
他们一挺、一夹
智齿就被拽出坑位
堪比*力暴***迁拆**

但是有部分智齿会顽强抵抗
比方说像树根一样长出很多「根」
扎根在骨头里,死死抓住

还有一部分智齿长期发炎
可能会跟我们的骨头黏连
拔出来的时候可能带出来一块骨头

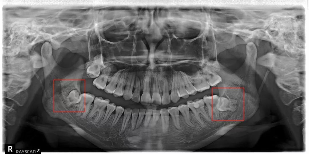
左划看看他们真实的模样
但是依旧躲不过这群赏金猎人的追杀
甚至手段更加的残忍
➋ 挖地三尺

对智齿的仁慈
就是对自己的残忍
因为,智齿急性发炎的时候,是不能拔牙的!
最后送大家一句话:
早点拔智齿,才是真明智

本文经由 浙江大学医学院附属第二医院
口腔科医师 何剑亮
及 口腔医学研究生 冯静 审核
— 参考资料 —
[1] 《口腔颌面外科学》第 7 版 张志愿 人民卫生出版社
- End -
来源:丁香医生
可能你还想读:
漫画科普:病毒来袭,如异鬼入侵,我们该怎么办?
漫画科普:听说过肛垫神不?
漫画科普:祝母亲节日快乐之前,咱们得先了解母亲的“痛”!
更多健康科普,请关注“卫生健康文化推广平台”
▼
