肋骨骨折是最常见的胸部外伤,肋骨骨折在全身的所有骨折中约占10-20%。
肋骨骨折的表现是什么?
1、局部疼痛是肋骨骨折最明显的症状,疼痛往往剧烈,咳嗽、深呼吸、活动时疼痛加重。2、因为疼痛患者不敢咳嗽,导致肺部痰液无法咳出,引起肺部感染,严重者引起呼吸衰竭。3、骨折断端渗血导致血胸。
肋骨骨折的治疗方案有哪些?
由于肋骨没有活动功能(手腕有活动功能,需要手术治疗),所以部分肋骨骨折可以采取保守治疗。
保守治疗。以卧床静养为主。其好处在于:费用相对较低。弊端在于:疼痛时间长;可能造成肺部感染、呼吸衰竭;胸腔内出血增多;骨折畸形愈合遗留慢性疼痛;

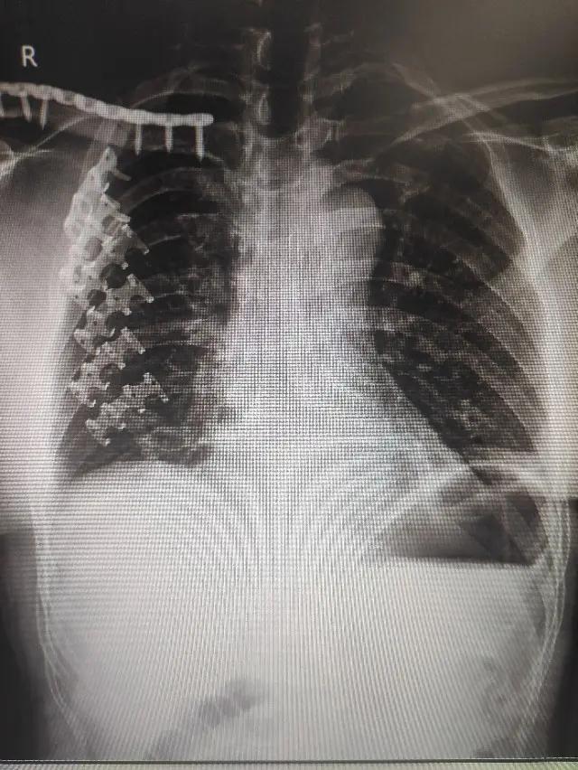
手术治疗。肋骨骨折内固定术。其好处在于:术后疼痛明显缓解,减少疼痛时间,能够早期活动;避免肺部感染、胸腔出血、慢性疼痛等并发症。弊端在于:费用相对较高,手术有一定风险。

哪些情况需要手术?
肋骨骨折是否手术没有一个明确的界限,往往根据这几个方面综合决定。
1、 骨折错位程度。如果骨折明显错位,可行手术治疗。
2、 骨折断裂根数。如果为单根肋骨骨折,可以选择保守治疗。若骨折根数较多,胸廓容易不稳定,需要手术治疗。
3、 患者疼痛程度。患者疼痛程度也是评估是否手术的重要依据。有些患者即使骨折错位不重、骨折根数不多,如果疼痛明显,也可以手术治疗。
4、 是否出现并发症。如果出现痰液无法咳出,肺部感染加重、血胸量增多,也需要手术。

保守治疗有哪些注意事项?
1、 胸廓制动。受伤前1-2周应胸廓制动(胸带固定胸廓),避免骨折错位加重以及胸腔出血增多。
2、 加强咳嗽、咳痰,避免肺部感染。
3、 三个月内避免体力劳动;
4、 定期复查了解骨折恢复情况。
原创不易,如果你喜欢我的文章,欢迎关注、转发、点赞。#科普一下# #健康科普大赛# #肋骨#