
小刘拥抱夏成雨主任
在得知可以出院回家的好消息时,曾经被医生认为活不了6个月的小刘兴奋不已,开心的抱起了为他主刀的夏成雨主任。乐观的他计划回家后就开始学习盲文,拜师学习推拿按摩,做个自食其力的劳动者……
来自阜阳的小刘今年28岁,从2009年开始时出现鼻塞、呼吸困难、流鼻血、闻不到气味、头痛等症状,由于初始并不严重,小刘及家人并没有在意病情。2013年下半年,小刘双眼视力开始出现明显下降,左眼很快完全失明,右眼视力也迅速变差。

术前术后磁共振
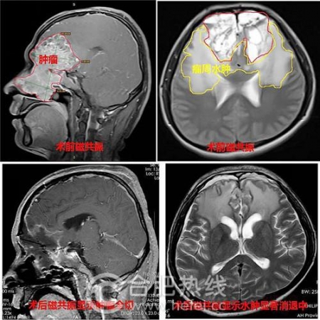
罕见!鼻腔和脑内连着一个10cm长的巨大肿瘤
在阜阳当地医院就诊后,检查提示为小刘鼻腔和脑内连通生长一个巨大肿瘤,肿瘤部分位于鼻腔,侵犯周围的鼻窦,长穿鼻腔顶部向颅内生长,形成罕见的长达10cm颅鼻沟通肿瘤。医生建议小刘转到全国最好的北京某医院神经外科进行治疗。
北京、合肥多地辗转“苦”求医
2013年底,小刘的父亲带着小刘远赴北京某医院找到专门治疗鼻腔及颅底沟通肿瘤的亚专科负责人。北京的专家告诉他们由于多年病情的耽误,疑似恶性的肿瘤已经填满了鼻腔,并且侵蚀破坏了颅底的骨质,进入颅腔后侵犯大脑,包绕了脑部重要血管,切除该肿瘤手术难度极大,小刘很有可能会过不了手术关而死亡,不建议小刘进行手术。眼看着小刘身体状况越来越差,小刘父亲又带着他前往我省某大医院就诊,希望能有人为小刘手术,为生命争取一个机会。遗憾的是该院医生同样给予了不能手术的答复,并建议他去合肥另外一家医院寻求肿瘤放射治疗。
由于肿瘤巨大,放疗并不能很好控制肿瘤生长,而且会加重肿瘤周围脑水肿,导致视力进一步下降。但为了延长生命的可能,小刘接受了放疗方案。放疗十几天后,小刘仅存的右眼很快失明,头痛难忍,家人只好终止进一步放疗。医生告诉小刘父亲,小刘可能活不过6个月。已经快要绝望的小刘父亲带着小刘回到家并偷偷为小刘开始准备后事。
为生命再争取一个机会
2016年11月,小刘父亲发现小刘情况明显变差,整天睡觉,舔犊情深的小刘父亲无法看着儿子一天天的等死,决定再次前往合肥大医院碰碰运气。在连续看了几个神经外科专家无果后,揣着返乡火车票的老刘最后一次来到安徽省立医院神经外科门诊,那天接诊的碰巧是颅底及脑干肿瘤外科亚专科主任夏成雨医生。
夏主任在详细的了解病情后,诚恳的告诉小刘父亲:做手术是唯一救命的机会。手术切除肿瘤本身有很大的把握,但肿瘤切除后能否度过脑脊液鼻漏和颅内感染关,则难以估计,因为肿瘤切除后颅腔将与鼻腔沟通,非常容易发生脑脊液鼻漏和颅内感染。如果感染,花费巨大并可导致生命危险。老刘回家和家人商量后决定配合夏主任,争取这最后一线机会。
耗时10小时,挑战顽瘤
术前,全国著名神经外科专家、安徽省立医院南区院长傅先明教授和神经外科主任牛朝诗教授主持了全科室专家对病情进行大讨论,并制定了详细周密的手术方案。神经外科颅底及脑干肿瘤外科亚专科主任夏成雨博士主刀,成功将鼻腔及颅腔肿瘤的全部切除,同时进行了颅底重建,防止术后脑脊液漏。手术耗时长达10个小时。术后,小刘没有发生脑脊液漏,顺利度过脑水肿关、感染关,恢复良好。
夏成雨主任介绍说,小刘的肿瘤是嗅神经母细胞瘤,是少见的鼻腔、鼻窦恶性肿瘤,在嗅神经分布区均可发生。小刘的肿瘤是目前遇到过的病情最严重的病例,肿瘤长达10cm,截止目前,国内文献也未报告过如此巨大的此类肿瘤。对于小刘的肿瘤,采用手术+术后放疗治疗是最佳方案。由于肿瘤巨大,还长入了双侧多个鼻旁窦内,造成了前颅凹底的骨质缺损,而且侵犯双侧额、颞叶,将主要动脉包裹。同时,由于患者经过放疗治疗,周围脑组织水肿,与肿瘤粘连,加大了切除分离难度。在切除肿瘤后,因颅底缺损较大,需要人工修复颅底,但修复后仍然容易发生脑脊液漏、颅内感染,危及生命。以上种种都给手术增加了很大难度,手术风险极大。
在这次挑战大脑禁飞区过程中,依靠着医护人员精湛的医术和患者战胜疾病的信心,以及医患之间的相互信任、通力配合,最终共同战胜了病魔。

夏成雨主任接受采访
南区颅底及脑干肿瘤手术水平已达国内顶尖
据安徽省立医院南区院长傅先明教授介绍,为更好的服务患者,省医南区神经外科目前已设置颅脑创伤、脑胶质瘤、功能神经外科、癫痫外科、颅底及脑干肿瘤亚专科等5个亚专科。其中,颅底及脑干肿瘤亚专科治疗疾病主要包括垂体瘤、听神经瘤、鞍结节脑膜瘤等颅底肿瘤。自成立亚专科以来,该科已经成功完成多例像小刘这样的高难复杂手术。