新技术:近日聊城市第二人民医院华美院区综合介入科对两例前列腺增生患者成功实施前列腺动脉栓塞术,患者术前尿频、尿急、排尿困难等症状明显,药物保守治疗效果差,来聊城市第二人民医院华美院区综合介入科微创行双侧前列腺动脉栓塞术,术后效果明显,术后3-5拔除尿管,症状立刻缓解。介入微创治疗前列腺增生,住院5-7天可以出院,该项技术效果显著。





何为前列腺增生:
前列腺增生也称前列腺肥大,是引起中老年男性排尿困难的常见疾病。表现为尿急、尿频、排尿费力、排尿时间延长、排尿不尽感等症状,尤其夜间小便频繁,一夜如厕数10次,严重影响睡眠,对中老年人的生活产生了严重不良影响。如不及时治疗,导致尿潴留,患者膀胱过度充盈,令患者憋胀、难受。尿潴留还可继发肾脏损害、反复尿路感染、血尿等。
前列腺增生的治疗:
目前,主要有药物治疗、外科手术治疗及前列腺动脉介入栓塞治疗3种方法。近年来,国外学者均倾向采用微创的前列腺动脉栓塞术治疗前列腺增生。该手术最早用于治疗前列腺癌根治术后出血的患者,随着技术的成熟和经验的积累,国内外学者成功用于治疗前列腺增生。
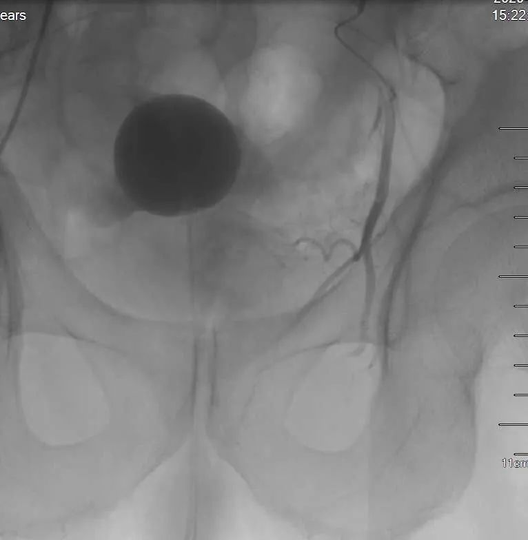
介入治疗操作流程:
患者在局部麻醉下经股动脉穿刺,引入导管至前列腺的供血动脉,注入栓塞微粒,阻断前列腺腺体的血液供应,使增生的前列腺因缺血萎缩而体积缩小,解除对尿道的压迫及下尿路梗阻,使排尿恢复顺畅。一般栓塞治疗 3 天左右即可拔除导尿管,恢复正常排尿。介入栓塞治疗具有创伤小、痛苦少、并发症少、恢复快等优点,且术前、术后饮食正常,穿刺点压迫 2 小时~4 小时即可下床自由活动。值得临床推广应用。