
分享人:周坚红、罗洁
编写及资料整理:黄晓绣、王欲、贾瀛娴
病例介绍
患者,女,33 岁,再婚,因“停经14+2周,阴道不规则流血10天,增多1天”于2019年4月11日入院。
该患平素月经规律,15岁初潮,4-6/28-30天,色量正常,痛经(-),血凝块(-),末次月经2019年01月01日。停经30+天自测尿妊娠试验(+),60+天当地医院行B超检查:宫内早孕、活胎。
患者于10天前无明显诱因下出现阴道流血,量少,色红,无腹痛、腹胀等不适,就诊当地医院,行NT检查(2019-04-05):1.宫内妊娠,单胎,胎儿存活,2.孕周13周大小,3.NT正常(0.2 cm),3.胎盘下缘完全覆盖宫颈内口,胎盘植入不能排除,4.孕母宫腔积血(8 * 6 * 3.3 cm),予中药保胎治疗(药物成分及剂量具体不详),治疗后仍有少量阴道流血。1天来患者阴道流血开始增多,血量多于平素月经量,共湿透7片卫生巾(昨日3片,今日4片),伴下腹部紧缩感。为求进一步治疗,遂就诊本院,B超检查提示:胎盘中央型前置状态伴植入考虑,宫腔积液,门诊拟“孕3产1孕14+2周,先兆流产,胎盘低置状态”收入住院。
既往史:10年前于外院行“剖宫产术”,余无特殊。
妇科检查:外阴见少许血迹;阴道见少许咖啡样液体;宫颈口未开,见暗红色血液流出,宫底位于脐耻之间,子宫轻压痛,腹软,无压痛及反跳痛。
辅助检查:
2019-04-11 B超:胎位:可变胎心:178次/分胎动:可及双顶径:2.3 cm股骨长:0.9 cm胎盘:前壁-后壁Gr0级,完全盖过宫颈内口,前壁上端与宫壁分离,见范围约4.7 * 3.5 * 2.1 cm絮状回声,胎盘实质内见多个暗区,较大一个2.6*1.7*1.2cm,与前壁下段肌层分界欠清,该处血流丰富,肌层菲薄,厚约0.1cm。羊水:中等量,备注:孕母宫腔上段见9.5 * 5.7 * 3.6 cm絮状回声。诊断结果:宫内孕,单活胎,胎盘中央型前置状态伴植入考虑,孕母宫腔积液。
入院后情况
入院后予患者绝对卧床休息,予以阿奇霉素预防感染,完善血常规、尿常规、肝肾功、凝血功能等入院后相关检查,进行MRI检查,了解子宫、胎盘及周围组织脏器位置关系,并行多学科讨论。
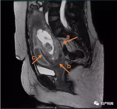
MRI检查:子宫增大,宫腔扩张,内见大量积血信号,孕囊位于后壁,胎盘位于后壁,与宫颈内口上方与宫壁分离,后壁胎盘附着处界限不清,部分呈齿状改变(图1)。诊断结果:考虑胎盘早剥伴植入,宫腔内大量积血。
诊断:难免性流产,胎盘前置状态,瘢痕子宫

图1,MRI检查:a.胎盘植入;b.胎盘覆盖宫颈内口;c.胎盘与子宫前壁剥离
因该患者为再婚后未孕,生育要求强烈,经充分术前谈话后,拟急诊行B超引导下人工流产钳刮术(备宫腔填塞术、备剖宫取胚术、备经腹子宫全切术)。
知识点1
孕28周前胎盘附着于子宫下段、其下缘甚至达到或覆盖宫颈内口, 位置低于胎先露部,称为胎盘前置状态。绝大多数学者认为胎盘前置状态的发生与下列几点密切相关:①既往有宫腔操作史者,如:诊断性刮宫、人工流产,尤其是有多次人流史者,发生胎盘前置的风险较高,原因与频繁宫腔操作损伤子宫,使其前壁变薄,胚胎发育过程中容易于较厚的后壁着床,随着孕周的增加,胎盘逐渐向子宫壁薄弱之处运动;②年龄35岁以上的高龄产妇:随着年龄、孕次的增长,机体胶原蛋白组不断取代子宫肌层动脉壁正常肌肉组织,而胶原蛋白弹性及扩张性低于肌肉成分,其血管壁损伤限制妊娠动脉管腔扩张,影响胎盘血供,从而增加前置胎盘发生风险;③进行辅助生殖技术:在胚胎移植过程中,患者自身的前列腺素容易受到刺激而大量释放,随着前列腺素水平的升高,机体发生宫缩反应而将胚胎种植于子宫下段部位,继而引发胎盘前置。胎盘前置状态会影响妊娠结局已经毋庸置疑,原因在于胎盘前置状态形成之后难以被逆转,随着孕周的逐渐增加而最终转变成为前置胎盘。
胎盘植入是指胎盘绒毛不同程度侵入子宫肌层,可分为胎盘粘连、胎盘植入及穿透性胎盘植入。其病因尚不清楚,子宫手术史、前置胎盘、高龄都被认为是高危因素,可导致产妇分娩时大出血,甚至危及生命。近年来随着剖宫产的普及,胎盘植入的发生率高达1/533,较前提升了20倍。该病初步诊断主要依靠超声检查、MRI等影像学资料,靠术中所见或术后病理确诊。目前,控制胎盘植入在分娩时、产后出血的方法包括:缝合出血点、宫腔填塞、Bakri球囊压迫、术前双侧髂内动脉球囊预置甚至腹主动脉球囊预置,术前/术后双侧子宫动脉栓塞,甚至髂内动脉栓塞,全子宫或次全子宫切除术等。据大量临床数据显示,患者既往有剖宫产史、完全性前置胎盘状态均为诱发紧急子宫切除的关键因素,在终止妊娠时大出血的发生率较大,从而增加了子宫切除的危险。此外,胎盘植入、胎盘粘连是产后出血的高危因素,也是导致紧急子宫切除的重要因素。因此,早期诊断和正确处理胎盘植入对孕产妇的预后意义重大。
知识点2
目前,对于中期妊娠合并完全性前置胎盘状态伴胎盘植入的孕妇,目前尚没有统一认可的安全、有效的引产方案。对前置胎盘状态孕妇,应了解其有无生育要求、是否有胎盘植入,根据其出血情况、胎盘前置类型认真评估出血风险后决定终止妊娠方式。完全性前置胎盘状态伴胎盘植入中期妊娠时,原则上选择行剖宫取胎,但剖宫取胎术对患者损伤较大,近、远期并发症较多。目前育龄产妇较前明显增多、再次妊娠渴望程度较高,剖宫取胎过程中可能因大量出血需行子宫切除,即使保留子宫,仍需长时间避孕;若单纯行药物引产术容易引起大量阴道流血,增加子宫切除风险。
分析1
本例患者,育龄期,再婚后未孕,再次妊娠渴望程度较高,B超及MRI诊断皆提示完全性胎盘前置状态伴胎盘植入,孕中期要求终止妊娠,详细告知B超引导下人工流产钳刮术与剖宫取胎的风险与利弊,知情选择B超引导下人工流产钳刮术,做好术前准备,一旦出血增多,迅速行剖宫取胎或子宫切除。
积极术前准备
(1)术前对患者病情进行全面评估,联系妇科、麻醉科、手术室、介入科、B超、输血科等多学科合作;
(2)估计术中出血量大于1000ml,术前备血4 U;
(3)联系介入科,术前行“双侧髂内动脉球囊置入术”,降低术中大出血、子宫切除风险;
(4)术前置入宫颈扩张硅胶棒。
知识点3
针对完全性前置胎盘状态伴胎盘植入中期妊娠,多学科诊疗协作包括:妇科、麻醉科、手术室、介入科、B超、输血科等。对子宫切除的控制率体现在以下几个方面:1.多学科协作诊疗模式进行讨论,拟定最佳手术方式B超引导下人工流产钳刮术(备宫腔填塞术、备剖宫取胚术、备经腹子宫全切术),降低了子宫切除的风险;2.介入科行双侧髂内动脉置入球囊置入术和子宫动脉栓塞术,减低术中出血量,降低了子宫切除的风险;3.超声科及影像科进行全面术前评估,确定胎盘位置及胎盘植入程度进行评估,指导手术过程中的针对性操作,避免子宫切除;4.多学科协作诊疗模式在中充分评估患者的出血量,输血可评估输血指证,纠正低血红蛋白,从而降低了术中因为严重贫血导致的难治性出血的发生,降低了子宫切除的风险。
手术过程
(1)B超引导下人工流产钳刮术+双侧髂内动脉球囊置入术+B超引导下宫腔球囊放置术:
遂于2019年4月12日在硬膜外麻醉下行“B超引导下人工流产钳刮术”,术中卵圆钳钳夹大部分胎儿及胎盘组织后,超声提示宫腔线清晰,子宫前壁瘢痕处及对应后壁宫颈内口处及子宫颈管内仍有少量妊娠物残留,予再次钳夹,钳夹后阴道流血增多,呈活动性出血,立即予以缩宫素20 U及卡贝100.00 μg促宫缩。介入科医师予以充盈髂内动脉球囊,出血明显减少。遂予7 - 6号吸管负压400 - 200 mmHg吸刮及刮匙搔刮妊娠物残留处,感胎盘组织与子宫后壁致密粘连,宫颈管腔及子宫峡部水平空洞感,质地极软。超声持续监视提示:妊娠物去除后残留较大腔隙,再次检查阴道出血情况,仍有活动性出血,立即停止钳夹。于B超定位下将宫腔球囊成功置于子宫峡部及颈管腔隙处,注入生理盐水80 ml,球囊压迫止血,观察15分钟。超声探查宫腔内无积血,观察宫颈外口无活动性出血,予以阴道塞纱2块。
术中出血量约1000 ml,术毕返回病房观察1小时,患者阴道少量活动性出血,双侧髂内动脉球囊再次充盈后无明显缓解,考虑“产后出血”,再次至手术室。
(2)阴道纱布取出+宫腔球囊取出+宫腔碘仿纱条填塞术
超声探查见宫腔球囊周围及宫底处有液性暗区,考虑创面未完全压迫止血,取出阴道纱布及宫腔球囊,一阵阴道流血约200 ml,予以欣母沛250.00 μg肌注促宫缩,予宫腔填塞碘仿纱条1条,完全填塞子宫峡部至颈管内创面腔隙,观察15分钟。超声探查宫腔内无积血,宫颈外口无活动性出血,术毕安返病房。
该患者两次手术共出血约1800ml,术后患者生命体征平稳,阴道少许流血,余无明显不适。
术后情况
根据术后复查血常规提示,HB:72 g/L,予输红细胞悬液3 U,拜复乐抗感染治疗,缩宫素促进子宫收缩。于2019-04-15 B超监视下取出宫腔碘仿纱布,出现宫腔活动性出血,出血汹涌,量约800 ml,予两侧髂内动脉球囊再次充盈,并予卡贝及欣母沛促宫缩,出血稍缓解。经再次沟通病情后,患者及家属保留生育意愿强烈,拒绝切除子宫。遂再次予宫腔碘仿纱布填塞术,并当即送介入室行子宫动脉栓塞术 + MTX动脉灌注化疗,手术顺利。根据术后复查血常规提示,HB:73 g/L,予输红细胞悬液3 U,继续予抗感染治疗,48小时后B超监测下取出宫腔碘仿纱条,阴道及宫颈未见明显出血,予2天后出院。
出院诊断:难免性流产,胎盘前置状态,胎盘植入,瘢痕子宫,产后出血,中度贫血
知识点4
当胎儿娩出后,胎盘前置状态的患者子宫下段肌组织菲薄,收缩力差,使附着的胎盘不能完全剥离,也不能使胎盘剥离面的血窦缩紧闭合,故导致难以控制的大出血。近年来,介入手术已被越来越多的应用于凶险型前置胎盘伴胎盘植入的治疗。多数研究发现,实施双侧髂内动脉球囊封堵术能够有效减少孕产妇术中出血量,降低产后出血、产褥感染等并发症。双侧髂内动脉置管是在剖宫产术前通过介入手段将球囊导管预先放置于双侧髂内动脉,从而达到术中暂时阻断髂内动脉血流而减少子宫血供的目的,当术中出现出血可及时阻断双侧髂内动脉;若未发生出血症状,只需将导管拔除并对其双下肢实施加压包扎即可。该种方法不仅可提供清晰的手术视野,而且显著减少术中出血量和降低产后大出血发生率,止血速度快。随着二十世纪子宫动脉栓塞术在产后出血中的成功应用,其在胎盘植入、子宫瘢痕妊娠等妇产科疾病中的应用逐渐得到推广。该操作能有效控制产后出血,操作简单,创伤小。有研究表明,子宫动脉栓塞治疗产后出血具有手术时间短、术中出血少的优势,尤其在有胎盘植入的情况下,子宫动脉栓塞的止血成功率更高。将选择性子宫动脉插管注射 MTX 后再栓塞的方法有以下优点:①经子宫动脉注入MTX,可提高局部药物浓度,最大限度地发挥MTX抑制滋养细胞生长的作用,减少全身反应;②直接栓塞子宫动脉,阻断子宫血液供应,减低子宫各血管内动脉压,使血流减慢甚至停止,血栓形成,进一步达到止血目的。
另外,研究表明,球囊导管术前封堵双侧髂内动脉联合术后血管栓塞术在完全性前置胎盘并植入患者行剖宫产术中及术后出血中的应用,能有效提高止血率,最大程度的保留子宫功能。球囊导管术前暂时封堵双侧髂内动脉,待胎儿娩出脐带结扎后充盈球囊可明显减少术中出血,缩短手术时间。同时,术后取出球囊导管并行子宫供血动脉栓塞术可显著预防术后隐匿性出血,降低并发症。
讨论2
本例患者进行双侧髂内动脉置入球囊导管临时封堵,在控制术中出血、降低子宫切除风险等方面取得了较好的疗效,但对于预防产后出血疗效较差。术后宫腔活动性出血减少,但未停止,而子宫动脉栓塞后,患者阴道活动性出血停止,该例患者止血疗效的评价表明,子宫动脉栓塞的止血成功率更高,止血疗效较球囊导管术好。
总结
随着剖宫产比例的增加和二胎政策的开放,胎盘前置的发病率逐渐升高。对于中期妊娠合并完全性前置胎盘状态进行引产的患者,有较高的出血风险,通常合并胎盘植入和胎盘粘连,出血风险更大。预防性子宫动脉栓塞和髂内动脉球囊置入术都明显减低术中出血量,降低了子宫切除的风险,且前者的止血效果更佳。多学科协作诊疗模式下对该类患者行B超引导下人工流产钳刮术安全可行,可最大限度上减少患者的损伤,有利于保留生育。所有处置措施,需要有效的术前评估、充足的术前准备、丰富的临床经验、足够的血液制品和密切合作的多学科团队。
【参考文献】
[1]丰有吉. 妇产科学.人民卫生出版社, 2005:84-87.
[2]中华医学会妇产科学分会产科学组. 产后出血预防与处理指南(2014). 中华妇产科杂志, 2014,49(9):641-646.
[3]Matsuzaki S, Matsuzaki S, Ueda Y, et al. A Case Report and Literature Review of Midtrimester Termination of Pregnancy Complicated by Placenta Previa and Placenta Accreta. AJP Rep, 2015, 5: e6-e11.
[4]Sentilhes L, Vayssiere C, Deneux-Tharaux C, et al. Postpartum hemorrhage: guidelines for clinical practice from the French College of Gynaecologists and Obstetricians (CNGOF): in collaboration with the French Society of Anesthesiology and Intensive Care (SFAR). Eur J Obstet Gynecol Reprod Biol, 2016, 198: 12-21.
[5]Paull JD, Smith J, Williams L, et al. Balloon occlusion of the abdominal aorta during caesarean hysterectomy for placenta percreta. Anaesth Intensive Care, 1995, 23: 731-734.
[6]罗方媛,陈锰,张力,等. 难治性产后出血的五种止血手术疗效的比较及止血失败原因分析. 中华妇产科杂志, 2012,47(9):641-645.
[7]Wu S, Kocherginsky M, Hibbard JU. Abnormal placentation: twenty-year analysis. Am J Obstet Gynecol. 2005. 192(5): 1458-61.
[8]蔡晓立. 双侧髂内动脉置管联合剖宫产术治疗对凶险性前置胎盘合并胎盘植入患者围术期指标、子宫切除率及母婴结局的影响. 中国妇幼保健. 2018. 33(12): 2843-2845.
[9]张博, 李军. 子宫动脉栓塞术用于终止胎盘前置状态妊娠的临床分析. 中国妇幼保健. 2014. 29(26): 4340-4341.
[10]周文杰, 吕朋华, 卢丹等. “一站式”双介入技术在凶险型前置胎盘并胎盘植入剖宫产中的应用. 中华介入放射学电子杂志. 2018. 6(01): 22-26.