春节前,发小14岁的闺女因腰背部疼痛半年余来诊,小姑娘不能久坐,不能过度活动,甚至夜间睡觉也会痛醒,掀开衣服一看,病因已然基本明确,小姑娘脊柱胸腰段呈C字形侧弯,影像学检查也证实了其“脊柱侧弯”的诊断,更严重的是,小姑娘腰1、2椎体侧缘呈先天性骨性融合,曾因先天性心脏病做过一次大手术的小姑娘,不得不又要面对一次大手术。幸运的是,手术很成功,春节期间再次见到的时候,她的腰背疼痛基本已经消失了。小姑娘的脊柱侧弯是先天性因素造成的吗?14岁之前怎么就没有发现呢? 引起脊柱侧弯的病因有哪些呢?一定都要手术治疗吗? 《腰弯成这样了,还有的治吗?》,我们本期来探讨脊柱侧弯的诊断与治疗。

小姑娘的腰是直了,但是付出的创伤也是巨大的。
脊柱侧弯又称脊柱侧凸,它是一种脊柱的三维畸形,包括冠状位、矢状位和轴位上的序列异常。正常人的脊柱从后面看应该是一条直线,并且躯干两侧对称,如果从正面看有双肩不等高或后面看到有后背左右不平,就应怀疑“脊柱侧弯”。当正位全脊柱X线片显示cobb角大于10度的侧方弯曲,即可诊断为脊柱侧弯。
脊柱侧弯是危害青少年和儿童的常见疾病,轻度的脊柱侧弯通常没有明显的不适,外观上也看不到明显的躯体畸形。但较重的脊柱侧弯则会影响婴幼儿及青少年的生长发育,使身体变形,常可表现为:双肩及髂前上棘高度不等,脊柱偏离中线,肩胛骨一高一低,一侧胸部出现皱褶皮纹,肋骨及胸部畸形,前弯时双侧背部不对称,剃刀背畸形等,引起局部的疼痛不适症状,严重者可以影响心肺功能、甚至累及脊髓,造成瘫痪。
脊柱侧弯不是青少年的专属病,老年人发病比例也很高,因脊柱承重功能明显下降,导致相应功能障碍,包括下肢、上肢临床症状在内的多种临床症状。只是病因有所不同,应尽可能的分清病因,针对性的采用治疗方法,使得治疗更为有效。
脊柱侧弯按照病因可以分为功能性或器质性两种,或称非结构性和结构性者。(一)非结构性脊柱侧弯常见病因包括:
1.姿势性侧弯;
2.腰椎不稳、椎间盘突出症、肿瘤等原因引起;
3.双下肢不等长引起;
4.髋关节挛缩引起;
5.炎症刺激(如阑尾炎);
6.癔症性侧弯。
非结构性脊柱侧凸是指某些原因引起的暂时性侧弯,一旦原因去除,即可恢复正常,但长期存在者,也可发展成结构性侧弯。一般这种病人在平卧时侧弯常可自行消失,拍摄X线片,脊柱骨均为正常。
(二)结构性脊柱侧弯
1.特发性
最常见,占总数的75%~85%,根据发病年龄不同,可分成三类。
(1)婴儿型(0~3岁) ①自然治愈型;②进行型。
(2)少年型(4~10岁)。
(3)青少年型(>10岁~骨骼发育成熟之间)。
上述三型中又以青少年型最为常见。
2.先天性
(1)形成不良型 ①先天性半椎体;②先天性楔形椎。
(2)分节不良型。
(3)混合型,同时合并上述两种类型。
先天性脊柱侧弯是由于脊柱在胚胎时期出现脊椎的分节不完全、一侧有骨桥或者一侧椎体发育不完全或者混合有上述两种因素,造成脊柱两侧生长不对称,从而引起脊柱侧弯。此类患者往往同时合并其他畸形,包括脊髓畸形、先天性心脏病、先天性泌尿系畸形等,开篇所述的病例就属于这种情况。
3.神经肌肉性
可分为神经源性和肌源性,是由于神经或肌肉方面的疾病导致肌力不平衡,特别是脊柱旁肌左右不对称所造成的侧弯。常见的原因有小儿麻痹后遗症、脑瘫、脊髓空洞症、进行性肌萎缩症等。
4.神经纤维瘤病合并脊柱侧弯。
5.间质病变所致脊柱侧弯。如马方综合征、先天性多关节挛缩症等。
6.后天获得性脊柱侧弯。如强直性脊柱炎、脊柱骨折、脊柱结核、脓胸及胸廓成形术等胸部手术引起的脊柱侧弯。
7.其他原因。如代谢性、营养性或内分泌原因引起的脊柱侧弯。
影像学检查是脊柱侧弯的重要诊断依据。
(1)X线片检查 最为重要,站立位的脊柱全长正侧位摄片可以区别侧弯的原因、分类以及弯度、部位、旋转、骨龄、代偿度等。
(2)CT扫描 可以很好的显示骨性畸形,尤其是脊柱三维重建CT可以很好显示先天椎体畸形。
(3)磁共振(MRI) 可以很好的显示脊髓病变。

扭曲的脊柱,不完美的人生。
诊断清楚了,接下来就是治疗了。脊柱侧弯的治疗分为两大类,即保守治疗和手术治疗。笔者不是手术医生,今日只谈保守治疗方案。
非结构性脊柱侧弯是保守治疗的主要人群,常见的保守治疗方法包括各种针具、手法、理疗、石膏、支具等。在大部分西医人眼中,甚至大部分西医学教材中,针具和手法等治疗方法都是靠后的,甚至只字不提,支具治疗是西医大夫认为的最主要和最可靠方法。不可否认,对于首诊30度~40度,或首诊不足20度,但每年加重超过5度的青少年特发性脊柱侧弯,尽早进行支具治疗。支具治疗对于青少年特发性脊柱侧弯效果较好,对于成人效果不佳,但就笔者的临床经验而言,各 种针具及手法的运用,消除、缓解临床症状还是比较可靠的,甚至部分结构性脊柱侧弯的临床症状的消除,都有很好的治疗效果。
通过临床观察,我们可以发现,脊柱在侧弯的同时都伴有有椎体的旋转,也就是说,脊柱侧弯的本质不是单纯的侧向弯曲,而是脊柱发生了螺旋扭曲。 在非结构性脊柱侧弯的患者人群中,如果把他们的脊柱椎骨单个分看,你会发现,其实每一块椎骨都是正常的,但摞在一起,就成了旋转侧弯的畸形改变了。
正如前文所述,脊柱侧弯的病因很复杂,但是肌肉软组织因素在脊柱侧弯的发病原因中,不应该被我们所忽视,而各种针具的治疗就是针对软组织因素的。举个例子,我们把手中的毛巾拧干,毛巾会出现扭曲,螺旋扭曲的脊柱何尝不是这样呢?把两头用力拧的手松开,毛巾也就顺直了,通过小针刀等把椎周软组织松解结合针灸治疗活血通络,舒缓经筋,手法理顺脊柱关节,很多非结构性的脊柱侧弯就能得到很好的治疗。即便是结构性的脊柱侧弯,出现了腰背的疼痛,也可以通过针具治疗,使椎周肌肉松弛,穿行其中的神经卡压牵拉得以解除,临床症状也就得到了缓解。

扭曲的毛巾,神似扭曲的脊柱。
脊柱侧弯还有一个重要原因就就是脊柱不稳定。 当人体出现椎体压缩性骨折等骨性改变、骨盆倾斜、椎间盘突出、肌肉韧带松弛、椎旁肌群的力平衡失调等病理因素时,人体为了保持稳定,就会通过各种方式进行代偿,当脊柱中的某块椎骨发生位移时,身体没有办法主动把它复位,只能采用各种方法来代偿,其中一种重要的代偿方法就是旋转椎骨,结果就出现了脊柱旋转侧弯。小时候我们经常玩一种摞象棋的游戏,比试谁摞的高,当摞到一定高度,棋子就会出现扭曲,我们只有通过反方向的调整,才能在保持稳定的同时,增加棋子的高度,其实都是一个道理。
这种情况在老年人群中尤其常见,但是我们是不是要把旋转侧弯的脊柱捋直了呢?在现实中,这类人群除了脊柱侧弯,往往还伴随着严重的骨质疏松、骨质增生、韧带钙化等病理状况,冒这么大风险去做手术治疗,几乎没有人会去尝试。没有手术机会,剩下的就是保守治疗,针具、中药、理疗等治疗手段就有了用武之地。举几个临床病例。

非结构性脊柱侧弯治疗前。
病例一,代某,男,35岁,因腰痛1月于2015-11-28来诊。患者自述10多年前曾从高处坠落,伤及腰部,未在意,平卧休息数日后痊愈。于1月前不慎扭伤腰部,当时即感腰部疼痛,屈伸转侧不利,翻身起床困难,无双下肢放射痛,曾经当地中医院行相关检查,诊断为“腰椎间盘突出症”,建议手术治疗,后行当地诊所推拿治疗及口服药物,病情无明显好转来诊。查体:患者双肩不等高,左低右高,脊柱呈S形侧弯,左腰方肌第12肋缘下、左髂缘腰3、4横突尖附着点压痛(+),腰4、5棘突尖压痛(+),左侧冈下三肌压痛(+),腰部CT检查提示腰4/5椎间盘向后膨出3mm,综合分析,基本排除”腰椎间盘突出症”诊断,考虑患者腰痛发作与腰方肌为主的椎周肌群痉挛损伤,病变肌群牵拉造成的腰椎小关节紊乱有关,行相关部位针刀松解,术后行美式整脊全脊柱整复,患者感疼痛明显减轻,继以身痛逐瘀汤加减内服,以善其后。
2015-11-29,患者电话告知,“腰部疼痛好了很多,身体感觉不斜了。”嘱其行左侧腰方肌拉伸锻炼。
2015-12-31,患者再次复诊,已无腰痛症状,脊柱形态恢复正常。

非结构性脊柱侧弯治疗后。

先天性结构性脊柱侧弯。
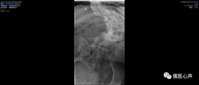
病例二,高某,女,39岁 ,工人,因“腰痛10余年,加重伴右膝痛2年”于2018-11-19以“1.腰椎间盘突出症2.脊柱侧弯3.脊髓灰质炎后遗症”收住入院。
专科检查:脊柱下胸段及腰段呈明显左凸侧弯畸形,腰椎活动度检查:前屈30°腰部疼痛(+),后伸10°疼痛(++),右侧屈25°疼痛(+),左侧屈25°,左右旋转30°,L3-5棘突间及椎旁右侧压痛(+),叩痛(-),右侧腰方肌肋缘、髂嵴附着点压痛(+),无明显放射痛,左下肢较右下肢短缩约3cm,左臀部及左下肢肌肉萎缩,肌力4级。
入院后结合症状、体征、影像、舌脉综合分析,该患者先天畸形所造成的器质性改变已无法纠正,该患者出现的一系列疼痛症状,与脊柱严重畸形造成椎周软组织慢性损伤有关,尤其是右侧腰方肌的扭曲牵拉,小针刀松解术通过对软组织的松解,相对纠正了力线失衡,解除了对相关神经的刺激,同时结合中药内服补益肝肾、活血通经;针灸治疗通阳理气、舒筋活络等治疗,患者腰痛症状基本消失,随访一年无复发。

老年结构性脊柱侧弯正位片。

老年结构性脊柱侧弯侧位片。
病例三,近日出院病人,邓某,女,78岁,因”腰背部疼痛3月“于2021.5.11来诊并入院。患者往有腰椎压缩性骨折病史,现感腰背部疼痛,不能久坐久行,查体:脊柱腰段呈右凸侧弯畸形,双侧腰方肌肋缘、髂嵴、腰2/3/4横突尖附着点压痛(+),胸9至腰4椎体两侧广泛性压痛(+)。行相关部位针刀松解,并辅以针灸、中药外敷内服,经半月治疗,患者腰背疼痛逐渐缓解。
以上三个病例,笔者均是从软组织入手,结合针药手法,最终达到了临床症状消失的目的。病例一属于非结构性脊柱侧弯,最终不仅临床症状消失,脊柱形态也得以恢复正常。病例二、三属于结构性脊柱侧弯,虽然畸形没有得到纠正,但是临床症状消失,也达到了治疗目的。但保守疗法只是能够解决一部分患者的病痛,开篇所述的那位小姑娘,因为存在先天畸形,且侧弯度数较大,临床症状较重,只能接受手术治疗了。
到今天为止,笔者结合临床实践及肤浅经验,将临床常见腰痛类疾病的病因、诊断、中西医治疗,以《腰痛缠绵难愈爱反复,必是腰中有妖在作妖之捉妖记》系列篇的形式逐一探讨,已分享24篇,其实,引起腰痛的病因还有很多,比如泌尿系结石、腰椎结核、恶性肿瘤、妇科炎性疾病等,将不再一一分解。老家有句俗话:“编筐编篓,重在收口”,在收口阶段,笔者将把常用的各种腰痛治疗手段, 分类汇总, 以”中药篇“、“毫针篇”、”艾灸篇“、”针刀篇“、”注射篇“、”手法篇“六篇分篇论述 !《腰痛缠绵难愈爱反复,必是腰中有妖在作妖之捉妖记------中药篇》,下回继续。
我是威海市中医院全科医生宋国政,我会根据临床实践,结合生动案例,用中西医两种思维来分析,用通俗易懂的语言来描述,希望能够在中西医融合、学术交流、心声流露等方面,为同行、朋友、民众提供一点点力所能及的帮助!码字不易,如果您赞同我的观点,请关注、点赞或转发,谢谢了!