
当胃黏膜细胞受到严重损伤后,本是同根生的胃肠黏膜上皮结构出现了一定改变,越长越像邻居肠黏膜家的孩子了。
作者丨阿杜
来源丨胃肠病
很多患者一拿到胃镜活检病理报告,看到“萎缩性胃炎伴肠化”、“中度萎缩伴轻度肠化”等字眼,就忧心忡忡,夜不能寐。
病人和家属都会愁肠百结,如临大敌,好像癌症明天就要来临。到处求医问药,多次重复检查,甚至求助于江湖“神医”、“保健神药”。这样精神焦虑紧张,莫名恐惧害怕,乱用药物,反而加重了病情。
那么,肠化到底是怎么回事?是不是就要癌变了?

1
什么是肠化?
肠上皮化生简称肠化,是指正常的胃黏膜上皮被肠型上皮所取代了。
简单地说,正常情况下,我们的器官各司其职,胃表面生长的是具有分泌胃酸功能的胃黏膜上皮细胞,肠道表面生长的是具有分泌和吸收功能的肠黏膜上皮细胞。
但当胃黏膜细胞受到比较严重的损伤后,本是同根生的胃肠黏膜上皮结构出现了一定改变,越长越像邻居家肠黏膜的孩子了。看上去,就像肠黏膜长错了地方,本该长在肠道上长的结构却出现在了胃黏膜上,就像一片草地长出了树木,树木就显得很突出。

肠上皮化生分为四种类型:
①完全性小肠化生;
②.不完全性小肠化生;
③.完全性结肠化生;
④.不完全性结肠化生。

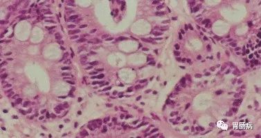
胃镜及活检病理
A.慢性浅表性胃炎(生理性); B,慢性浅表性胃炎(HP+);C,慢性萎缩性胃炎;D,肠上皮化生
2
肠化只是一个病理学名称,不必惊慌
在慢性胃炎中,胃粘膜肠上皮化生十分常见。根据胃镜检查活检病理检查结果统计,胃粘膜肠上皮化生的发生率10%~23.6%,而发生癌变的概率低于3-5%。
50年前当纤维胃镜未使用之前,医学书上是没有胃粘膜腺体“萎缩”“肠化”之类的词句的,随着胃镜检查的普遍开展和病例的积累,才逐渐出现了胃粘膜的萎缩性胃炎和胃粘膜腺体的肠化(肠上皮化生)这些名词。
只是由于在胃癌的标本检查中发现萎缩与肠化的比例较高,于是就提出了“胃粘膜萎缩与肠化是癌前病变”的观点,并写进教科书中。此后几十年内接受医学教育和培训的医生也就自然而然地告诉病人,“肠化、萎缩是癌前病变”,于是,慢慢地被大众接受了。
由于科普的不够,才使许多人杯弓蛇影,胆战心惊。
然而,随着时间的推移,几十年过去了,当初发现的萎缩、肠化的人群,在“忧心忡忡”中渐渐变老中并没有发生胃癌。这才使得人们重新审视“萎缩、肠化是癌前病变”的观点,仅仅是一种“假说”而已。
人们发现,与胃癌有密切关系的不是萎缩、肠化,而是一种被称为“异型增生”(又称“不典型增生”、“高级别上皮内瘤变”),也就是一种胃粘膜腺体细胞的异常增生性病变。
所以,现在的共识是,当你做完胃镜病理检查后,如果是萎缩性胃炎或/和肠化,大可不必再“忧心忡忡”,只有当发现有异常增生时,才需要高度重视,并积极进行治疗(内科、内镜、外科等)。
也就是说,100个慢性胃炎伴有肠化生的,只有不到3-5个病人会发生不好的变化。所以要克服“恐癌”现象。但如果肠化生进一步发展为“不典型增生”时,其概率就一下子提高到25%或40%(根据病理改变严重程度)。
所以一般单纯肠化生,不必过于紧张,胃镜复查一年一次,发现进展才需要积极干预。有报道称,通过中医辩证治疗,也可以逆转。
3
肠化到底会不会癌变?
教科书上一般认为, 肠上皮化生是在慢性萎缩性胃炎基础上发生的, 肠上皮化生的下一步便是朝恶性方向发展的异型增生(不典型增生)阶段。
而且,在慢性浅表性胃炎或萎缩性胃炎阶段根除幽门螺杆菌,胃粘膜尚可完全恢复正常或可能部分恢复,而在肠上皮化生阶段才根除幽门螺杆菌,肠上皮化生是无法或者很难逆转的。
这个理论,给胃粘膜肠上皮化生的患者带来不小的心理负担。

一般地说,小肠型化生或完全性肠上皮化生,上皮分化好,见于各种良性胃病,尤其多见于慢性胃炎,且化生随炎症发展而加重,认为该型化生可能属于炎症反应性质,与胃癌关系不大。
而大肠型化生或不完全性肠上皮化生,上皮分化差,在良性胃病中检出率较低,但在肠型胃癌旁黏膜中检出率较高,说明该型化生与胃癌的发生有一定关系。仅仅是有一定关系!
可能因为了解的不多,或者医生解释的不够,不少患者会以为肠上皮化生必然往胃癌发展,其实不然。
胃癌确实有一定可能由肠上皮化生发展而来,但肠上皮化生离胃癌还有很漫长的一段距离。不要因为检查出肠化生就背上思想包袱,焦急忧虑,增加不必要的负担。
胃黏膜上皮细胞癌变并非一朝一夕的事情,并非由正常细胞一跃成为癌细胞,而是一个慢性渐进的过程,在发展成恶性肿瘤之前,肠经历多年持续的癌前变化。若能及早识别和及早干预,也是一种防止癌变的有效途径。
实际上,胃粘膜的肠上皮化生临床很常见,原因多种、类型多样、本身也不会引起任何不适感。即便是幽门螺杆菌感染或自身免疫损伤引起者,它与萎缩仍然同属一个生物学阶段,多数停滞不前,仅极个别最终发展成胃癌。
临床只需根除幽门螺杆菌,对全胃有明显萎缩的肠上皮化生患者进行定期胃镜随访,即可防患于未然,对于急于逆转的患者,也可以选择中医药治疗,效果也比较乐观。
所以,对于报告中的肠化生描述,以及网上“癌前病变”的说法,大可不必整天提心吊胆,草木皆兵。
4
肠化需要治疗吗?
医学上较少提到治疗肠上皮化生,但需要关注的是病理结果。
对于完全性肠上皮化生或小肠型化生,不必过分惊慌,但对于中、重度不完全性肠上皮化生或大肠型化生应高度重视,密切随访,建议每6~12个月随访一次胃镜检查,以监测病情变化。一旦进展为不典型增生,才建议手术或者镜下干预治疗。
一般肠上皮化生都是和萎缩性胃炎相伴相行,若萎缩性胃炎治疗后好转,肠化生的现象也会随着减少。因此治疗萎缩性胃炎就是治疗肠上皮化生。
肠上皮化生是继发于慢性炎症的基础上的,所以我们首先要把炎症治好,平时也要注意不要让你的胃长期处于慢性炎症状态。
如果有幽门螺杆菌感染,必须积极根除;要养成良好的生活习惯,比如不要吃刺激性食物和不新鲜的食物、不要饥饱无常等等。
专门针对肠上皮化生的药物基本没有,西药可以用一些保护胃粘膜的药,如施维舒、麦滋林等,有胆汁反流可以选择达喜。
中医药治疗还是有一定的优势,治疗原则和方法都与萎缩性胃炎类似,所以常常在治疗萎缩性胃炎的同时也对肠上皮化生有疗效。有报道称,摩罗丹联合羔羊胃提取物维生素B12对肠化逆转疗效不错。
不过,肠上皮化生的治疗需要较长的时间,换句话说,就是比较不容易消失。
总之,了解了以上的知识,我们不要因为胃镜报告有肠上皮化生过于紧张,注意治疗慢性胃炎,定期复查,同时结合中药治疗,完全可以保你无虞。