患者男,7岁,江苏省徐州市人。
一、李小勇脑脊液科入院前病史
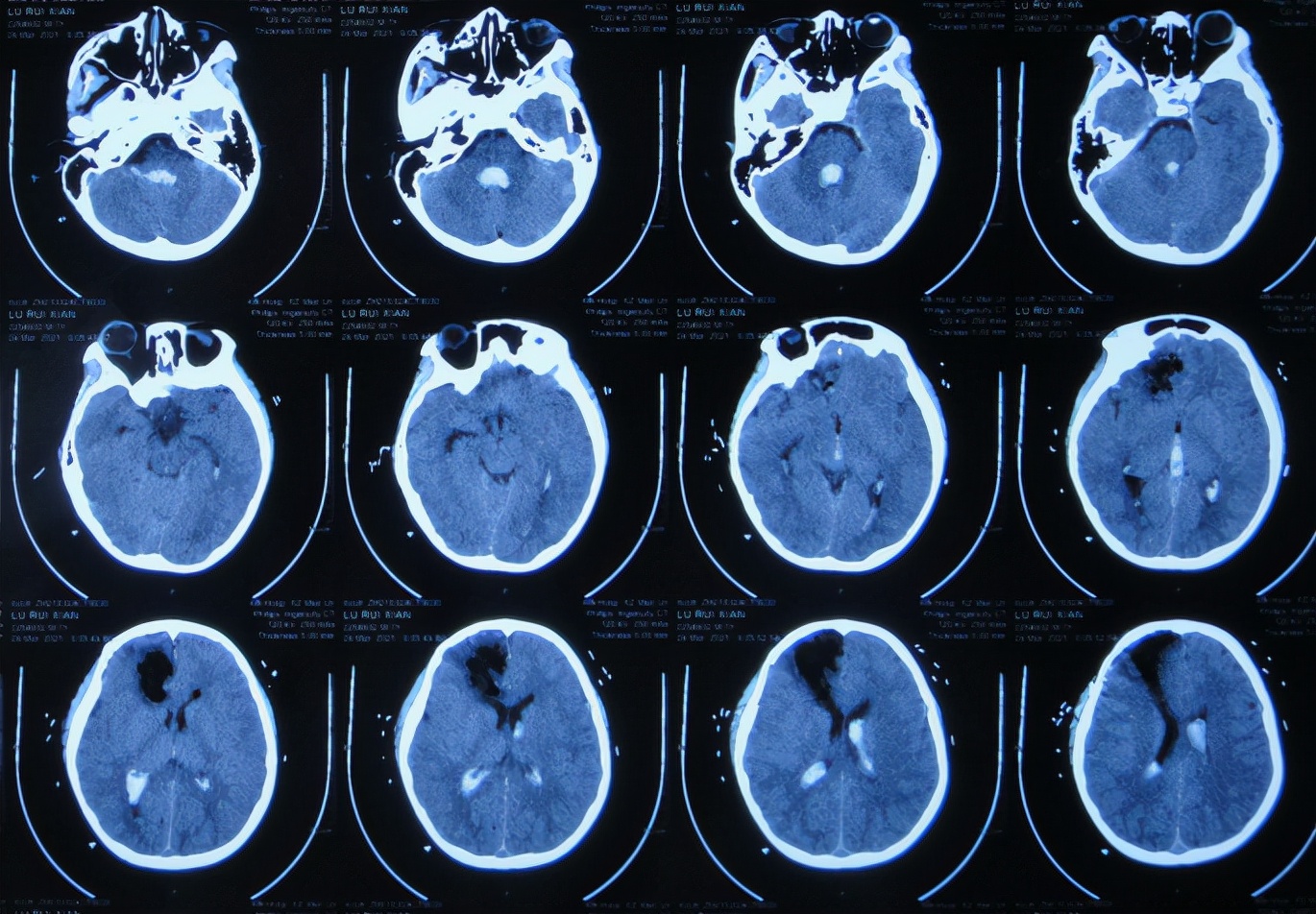
患者2021年3月23日早起突发头痛,意识不清,急送至江苏省徐州市睢宁县某医院,查脑CT示脑出血( 图-1 );既往史有癫痫病史。

图-1: 2021年3月23日脑CT
查脑CT后当天转至上级的江苏省徐州市某著名三甲医院,查脑血管造影( 图-2 )示未见明显异常,给予腰穿相关治疗;但当天出现发热,最高达37.7℃。

图-2: 2021年3月23日脑血管造影
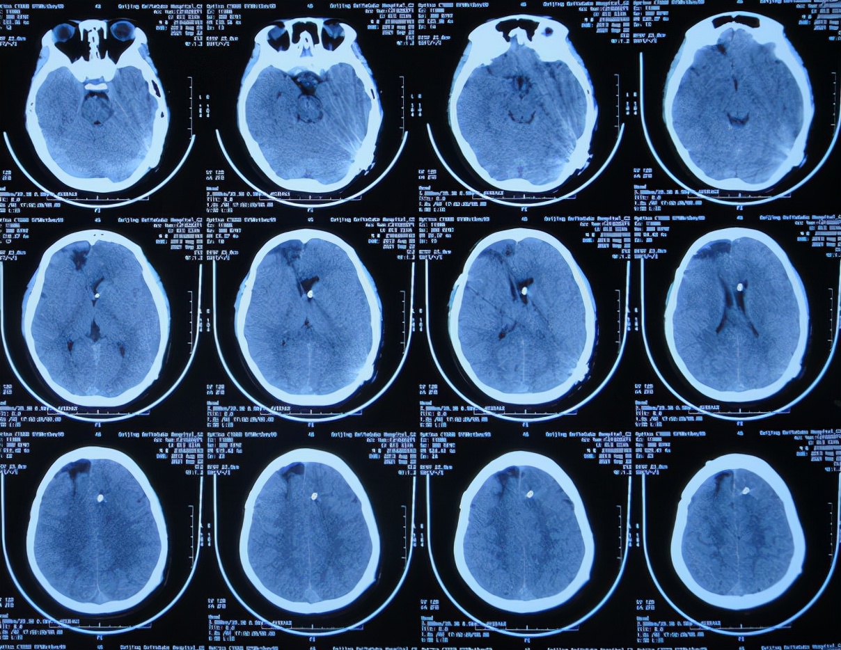
次日即2021年3月24日,转入该院的神经外科,仍发热体温高达38.0-39.0℃,查脑CT示出现水肿,仍有出血( 图-3 ),给予抗感染治疗。

图-3: 2021年3月24日脑CT
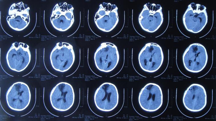
脑出血后7天即2021年3月30日即抗感染治疗1周,仍持续发热,复查CT示脑室扩张,水肿加重(片子丢失),给予腰大池引流术;考虑为颅内感染留取脑脊液化验。
腰大池引流术后3天即2021年4月2日,脑脊液白细胞仍高,患者仍持续发热,查脑CT示仍有积水和水肿( 图-4 )。

图-4: 2021年4月2日脑CT
腰大池引流术后7天即2021年4月6日,体温降低至37.6℃,查脑CT示脑室缩小( 图-5 );遂拔除了腰大池引流管。

图-5: 2021年4月6日脑CT
但拔除腰大池引流管次日即2021年4月7日,体温又变高热达39.0℃,第2次给予腰大池引流术。
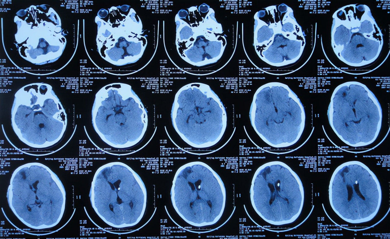
但第2次腰大池引流术后2天即2021年4月9日,体温仍未下降(持续在38.6-39.0℃波动),查脑CT示脑室再次扩张( 图-6 );且脑脊液化验白细胞反而升更高,脑脊液逐渐浑浊,给予更改抗生素。

图-6: 2021年4月9日脑CT
第2次腰大池引流术后继续治疗半个月(期间更换过引流管),但体温仍高,期间2021年4月24日和2021年4月25日,给予鞘内注射万古霉素两次后体温仍为37.5-38.0℃,但脑脊液浑浊较前好转。
为治疗脑出血后持续高热,家属通过网上查询后于2021年4月27日(脑出血后35天即第2次腰大池引流术后20天,持续发热30余天),转入北京北亚骨科医院的李小勇脑脊液科。
二、在李小勇脑脊液科治疗过程和结果
2021年4月27日(脑出血后35天即第2次腰大池引流术后20天,持续发热30余天),住入李小勇脑脊液科。入院时:头痛,体温仍低热37.5℃(脑出血后持续发热30余天),携带外院腰穿引流袋,引流出的脑脊液有大块的白色絮状物;睡觉时小便*禁失**( 图-7 )。

图-7: 2021年4月27日入院时
入院当天查脑CT示脑室扩张,硬膜下水肿( 图-8 )。

图-8: 2021年4月27日入院时脑CT
入院当天进行了拔除了原外院腰大池引流管+脑室外引流术( 图-9 )。

图-9: 2021年4月27日术后脑CT
脑室外引流术后次日即2021年4月27日,患者病情稳定,引流出淡红色脑脊液。
脑室外引流术后9天即2021年5月6日,病情好转:头痛完全消失,睡眠时小便*禁失**变正常,脑脊液变清亮但脑脊液蛋白仍高( 图-10 );查脑CT示脑室较入院时缩小,硬膜下水肿也有减轻( 图-11 )。

图-10: 2021年5月6日

图-11: 2021年5月6日脑CT
2021年5月24日(入院治疗27天),体温变基本正常,变得能正常的下地走路,还可以单腿站立( 图-12 )。

图-12: 2021年5月24日
2021年7月29日(入院治疗3个月),体温连续一个月正常,脑CT示仍有少量水肿( 图-13 ),但 身体未见异常。

图-13: 2021年7月29日脑CT
2021年8月19日(入院治疗3个月零22天),在中国医师节这天,患者跟同病房的小美女患者一起为李小勇脑脊液科的医护人员表演了节目:歌曲《听我说谢谢你》( 图-14 )。

图-14: 2021年8月19日
2021年9月10日(入院治疗4月半),脑脊液各项指标均正常后按计划进行了脑室腹腔分流术( 图-15 )。

图-15: 2021年9月10日脑CT
2021年9月22日(住院治疗近5月)康复出院。出院时( 图-17 )肢体活动灵活,身体无异常;脑CT示无异常。


图-17: 2021年9月22日出院时
(完)