大家听到急性心肌梗死就会谈虎色变,因为急性心肌梗死致死率及致残率很高,心脏有三个大血管,右侧一个右冠,左侧两个前降支和回旋支。堵死一根,心脏还能正常工作吗?

堵塞一个到底心脏能不能正常工作,这和堵在什么地方,堵多长时间有着密切的关系。
第一、部位
我们先假设堵死的时间相同,只是堵塞部位不同,那么三个血管相对来说,前降支最大,风险最高,死亡率最高;右冠和回旋支相对要风险低一些。也就是堵了前降支心脏不能正常运转可能性大,堵了别的两个相对会正常运转。

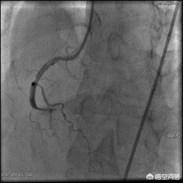
(右冠堵塞)


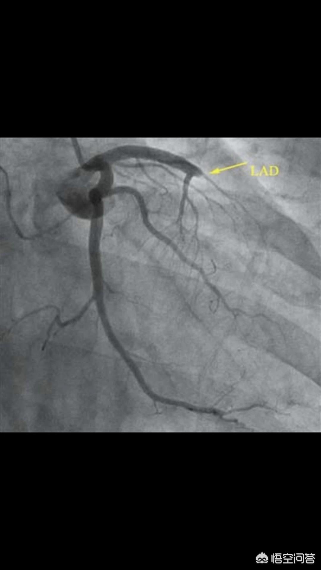
(前降支堵塞)
但这里面还有一个问题,堵在血管根部的还是末梢,堵在根本都会有生命危险,堵在末梢,即使在前降支也不会影响正常运转。还有就是特殊性,每个人血管大小不一样,并不是每个人前降支都最大,供血都最多。
第二、时间
比如血管堵死了,三十分钟开通,和十个小时开通效果完全不一样。我们假设同一个血管堵塞,都是前降支。一个人三十分钟开通,那么不但会救命而且以后和正常人一样,也不会心衰。如果十个小时开通,(假设还能活十个小时)那么就算救活,心衰的可能性几乎百分百。
所以,心脏虽然有三个血管,堵塞一个,还有两个,但每一个血管都是非常非常重要的,是无可替代的。心脏就如同自己拳头那么大,要永不停歇的工作满足全身的需要,一旦血管堵塞,必定有心肌坏死,即使能够存活,也必定或多或少影响正常功能。
即使堵塞一个,有两个可以运转,但也不是正常工作,因为已经影响了寿命,必定影响心脏功能。
所以发生胸痛持续不缓解,第一时间拨打120!