支原体是一类没有细胞壁、可用人工培养基培养增殖的最小的原核生物。

“煎蛋样”外观。图自:Parker Hannifin
对猫致病的支原体主要分成嗜血和非嗜血两大类:
猫的非嗜血的支原体主要黏附于黏膜,如结膜、呼吸道、滑膜关节和乳腺。
另一大类为嗜血支原体(Hemoplasmosis),曾称为猫血巴尔通体病(Feline Hemobartonellosis)。

图自:catspro
支原体是结膜炎的主要罪魁祸首?
巴尔通体可导致猫的传染性贫血?
健康的家养猫身上也能分离到支原体?支原体该如何预防?

支原体感染,有哪些症状表现?
根据所感染的支原体种类不同,会引起不同的疾病及表现不同的临床症状。
结膜炎
支原体是猫结膜炎的主要致病菌之一,16-25%的猫结膜炎是由支原体感染导致的。
结膜炎的患猫通常表现为眼分泌物增多、结膜充血肿胀。

图自:catcode
上呼吸道疾病
上呼吸道疾病的典型症状为鼻分泌物增多和打喷嚏。

图自:Tenor
无论是在健康猫还是在具有上呼吸道症状的猫中,都可分离到支原体。
多种病原都与上呼吸道疾病有关,如FHV-1、FCV和博代氏菌等。支原体并不是上呼吸道疾病的主要病原体,但被认为是继发因素。
也有研究表明,支原体感染和猫慢性鼻窦炎有关,但由于样本量太少,不具有统计学意义。
下呼吸道疾病
下呼吸道疾病的症状为咳嗽、呼吸急促和呼吸困难。

图自:猫研所社群
区分呕吐:
有腹部抽动,脖子用力前身,“前摇读条”的动作。

很多研究都证实支原体感染和下呼吸道疾病有关:

猫支原体肺炎的主要症状包括:流鼻涕、打喷嚏、眼部分泌物增多、咳嗽、呼吸急促、呼吸困难、发热等。此外,肺脓肿和脓胸也和支原体感染有关。
猫传染性贫血
临床症状取决于疾病的发展阶段、贫血的发展速度。
急性感染嗜血支原体的猫可能在短短几日内出现一系列症状,如虚弱、脱水、黏膜苍白或者黄染、呼吸急促及肝脾肿大。

图自:vetnetinfo
严重的病例可能在数日内死亡。而慢性病例表现为体重下降和间歇性发热。
支原体引起黏膜上皮细胞死亡的机制
支原体通过黏附于黏膜上皮细胞的附着细胞器(Attachment Organelle, AO)释放毒素或过氧化物,使纤毛功能丧失、细胞氧化损伤、剥夺细胞营养等;或者进入到细胞内,引起慢性感染。


疑似支原体感染,需做哪些检查?
结膜炎或呼吸道疾病
对疑似支原体感染的患猫使用鼻拭子或口咽拭子采集细胞学样本。
采集到的样本,可以进行细胞学检查、细菌培养和PCR检测。临床上推荐使用PCR检测,因为细胞学检查容易漏诊。

猫传染性贫血
对疑似猫传染性贫血的患猫,应详细确认是否定期驱虫、是否曾外出活动。
➤ PCR检测确诊。
另外可辅助其他检查如下:
➤ 血常规:贫血(红细胞、PCV和血红蛋白下降);
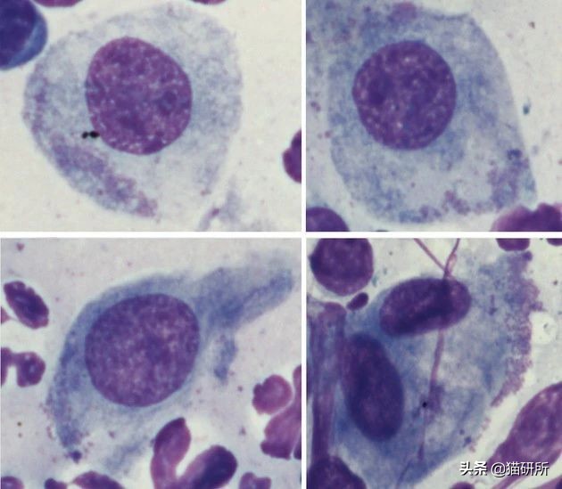
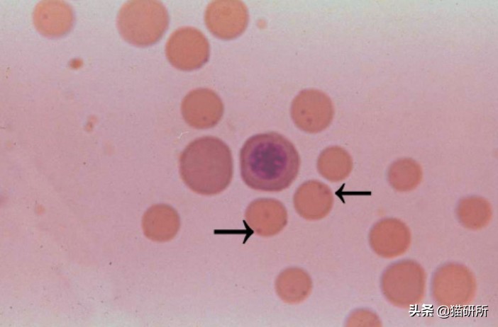
➤ 血涂片染色镜检:网织红细胞增多,以及有可能在红细胞上发现单个或者簇状排列的支原体。

➤ FIV/FeLV检测:有研究显示FIV和(或)FeLV和猫传染性贫血有明显相关性。

治疗原则
抗生素疗法
支原体对四环素类和氟喹诺酮类抗生素敏感。
依据不同的临床症状,局部或全身使用抗生素。

图自:catspro
支持疗法
根据具体症状,选择适当的支持疗法,如:
➤ 为保持良好的水合状态,采用输液治疗;
➤ 对于眼鼻分泌物多的患猫,要时常清洁;
➤ 对于下呼吸道症状明显的患猫,可能需要配合使用支气管扩张剂;
➤ 对于红细胞压积小于15%的患猫,要及时输血治疗。

图自:iheartcats
糖皮质激素
糖皮质激素可以减少炎症反应,也可用于减少噬红细胞效应及促进食欲。
但是糖皮质激素也会下调免疫,从而导致细菌增殖。因此糖皮质激素的使用,应具体结合临床表现而定。

如何预防支原体感染?
➤ 对于非嗜血性的支原体的预防,猫咪主人需要注意的是:
1、若发现有打喷嚏、流鼻涕的猫咪,及时就诊,避免发生继发支原体感染;

图自:perthcathospital
2、幼猫由于免疫力较弱,应注意营养和环境温度适宜;

图自:oshiprint
3、多猫家庭,发现有呼吸道症状或者结膜红肿的猫,应与健康猫隔离开;
4、由于支原体存在于上呼吸道通常不会引起症状,引起携带病原但无症状的猫咪可能成为潜在的传染源,若家中有免疫功能不全的猫,需要注意隔离;
5、哮喘 患猫应排查支原体感染;
6、虽然没有预防支原体的疫苗,但按时接种疫苗可以预防FCV感染引起的继发性支原体感染。

猫抓柱~图自:staging.uniquelycats
➤ 而对于嗜血性支原体,按时进行体外驱虫是有效的预防手段。

【本期所长互动】
你家猫时常咳嗽吗?
//////////
资料来源:
[1] Little S E . August's Consultations in Feline Internal Medicine[M]. 2015.
[2] Tan R: Susceptibility of kittens to Mycoplasma felis infection[J]. Jpn J Exp Med 44:235–240, 1974.
[3] Lee-Fowler, T. Feline respiratory disease: What is the role of Mycoplasma species?[J]. Journal of Feline Medicine and Surgery, 2014, 16(7):563-571.
[4] Baker E M. Update on Feline Hemoplasmosis[J]. Vet Clin Small Anim, 2019.
[5] Johnson L, Foley JE, de Cock HE, et al. Assessment of infectious organisms associated with chronic rhinosinusitis in cats. J Am Vet Med Assoc 227:579–585, 2005.
[6] Foster, S. Lower respiratory tract infections in cats: 21 cases (1995–2000)[J]. Journal of Feline Medicine & Surgery, 2004, 6(3):167-180.
[7] Randolph J F , Moise N S , Scarlett J M , et al. Prevalence of mycoplasmal and ureaplasmal recovery from tracheobronchial lavages and of mycoplasmal recovery from pharyngeal swab specimens in cats with or without pulmonary disease.[J]. American Journal of Veterinary Research, 1993, 54(3):387-391.
[8] Reed N , Simpson K , Ayling R , et al. Mycoplasma species in cats with lower airway disease: improved detection and species identification using a polymerase chain reaction assay[J]. Journal of Feline Medicine and Surgery, 2012, 14(12):833-840.
[9] Malik R, Love D, Hunt G, et al: Pyothorax associated with a Mycoplasma species in a kitten. J Small Anim Pract 32:31–34, 1991.
[10] Day M J, Mackin A, Littlewood J D. BSAVA Manual of Canine and Feline Haematology and Transfusion Medicine[M], 2000.
[11] Hillstrom A, Tvedten H, Kallberg M, et al. Evaluation of cytologic findings in feline conjunctivitis[J]. Veterinary Clinical Pathology, 2012, 41(2):283-290.
[12] Gary D. Norsworthy, Sharon Fooshee Grace, Mitchell A. Crystal and Larry P. Tilley, The Feline Patient[M], 2011.

本文为猫研所原创,谢绝任意转载
欢迎关注 【猫研所】get更多科学养猫技能√