点击「神经介入在线」可快速关注

导读
颅内动脉慢性闭塞常系颅内动脉粥样硬化狭窄病变进展所致,其临床症状的轻重与侧支代偿的好坏密切相关。血管内介入治疗作为干预手段之一,近期国内外文献都有报道,但目前在适应征的定夺、操作技术手段的应用和器械的选择方面还处在探索阶段。本周我们汇报的是一例右椎动脉V4段慢性闭塞介入开通的病例,具体如下。
病例详情
病情信息
男性,61岁。主因眩晕、视物不清伴饮水呛咳1月入院。
病后就诊当地医院,予以双抗+积极控制危险因素治疗,但症状持续无缓解,就诊期间核磁检查提示右延髓新近脑梗死,MRA示双椎及基底动脉显示欠佳(图1)。

图1
同期行DSA提示右椎动脉V4段发出右PICA后未见顺行显影(图2),左椎动脉V4段-基底动脉汇合处重度狭窄(图3),前循环向后循环的未见明显代偿(图4)。

图2

图3

图4
患者为进一步治疗收入我科。
既往高血压病、脂代谢紊乱、冠心病及吸烟史。
入院后继续给予双联抗血小板治疗(拜阿司匹林100 mg 1/日+波立维 75 mg 1/日)及降脂(阿托伐他汀钙 20 mg 1/日)。
血栓弹力图检查:AA抑制率98.2%、ADP抑制率47.7%。颅内CTA及后循环CT灌注检查提示:右椎动脉V4段未见显影,左椎动脉与基底动脉汇合处重度狭窄,右椎动脉V4段在汇合点以下有显影(图5);双侧小脑半球低灌注,右侧为著(图6)。

图5

图6
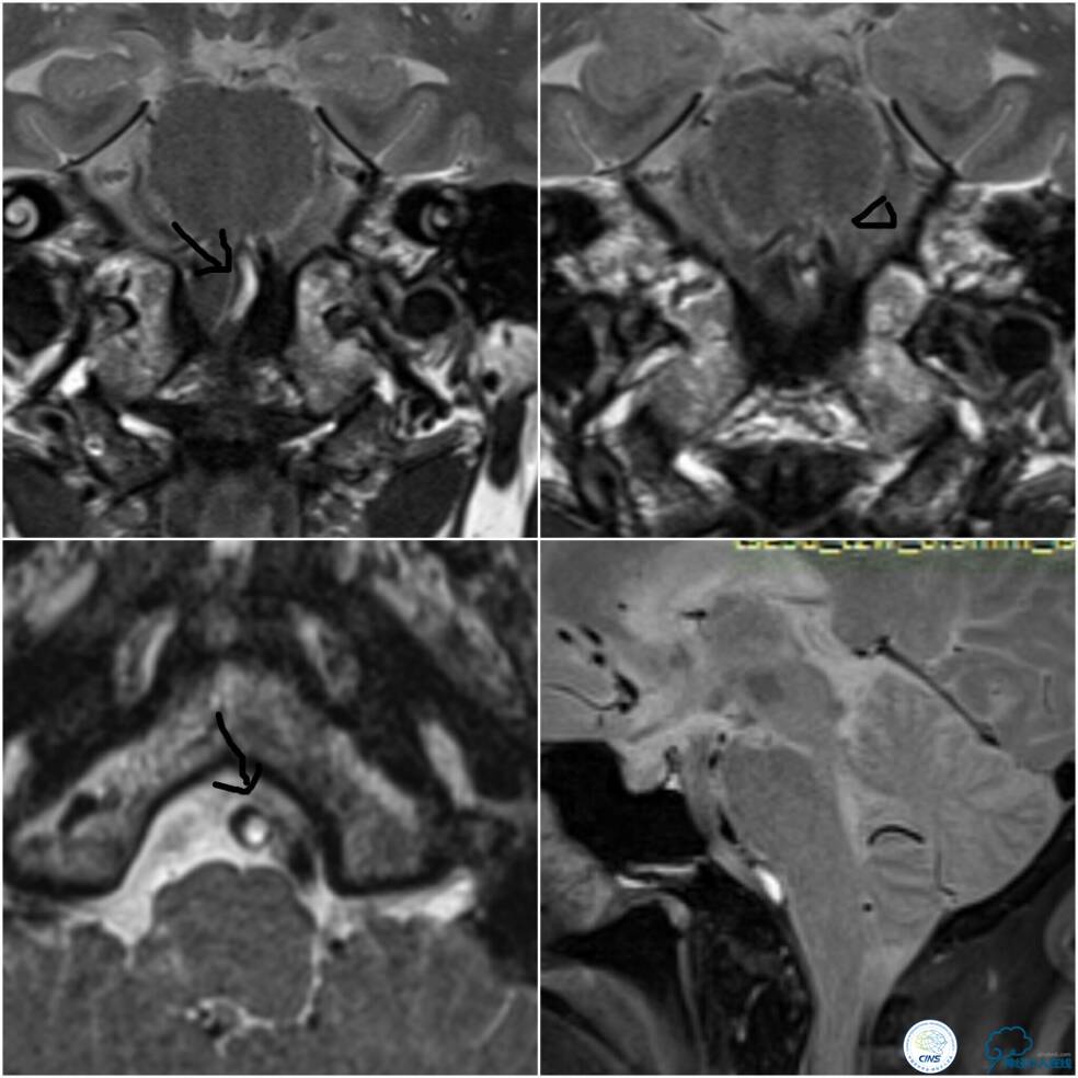
椎基底动脉高分辨核磁提示右椎动脉V4段闭塞,闭塞段管腔内可见高信号(箭头),考虑血栓,左椎动脉V4段至基底汇合处见向心性斑块(三角)(图7)。

图7
术前讨论
1. 患者后循环症状反复发作,内科药物治疗无效。结合多个近期影像学检查结果(提示:基底动脉供血区域侧支代偿差,存在明显低灌注),考虑有血管内干预指征。
2. 治疗入路未考虑左椎动脉入路,理由包括:左椎动脉为非优势椎动脉;右AICA起至右椎动脉V4远端残端与基底动脉汇合处,左椎动脉V4-基底动脉支架置入后,有可能影响向右椎动脉V4段及右AICA的逆向血供。但选择右椎入路,面临的最大困难是闭塞段相对较长,穿越病变时操作相关风险较高;高分辨核磁提示闭塞段远段为血栓成分,微导丝通过血栓可能较为容易,但亦有发生开通后血栓顺血流栓塞基底动脉尖的可能。
治疗过程
全麻下双股动脉穿刺,分别置入6F及5F动脉鞘。6F导引导管置于右椎动脉V2段,Traxcess 微导丝与Echelon 10微导管同轴,经多次尝试后送达基底动脉(图8);操作过程中见微导丝头端打折变向,此时手控导丝有阻力感,考虑是闭塞病变的近心端(图8箭头),当微导丝越过闭塞段进入血栓,此时微导丝及微管前行无明显阻力。

图8
微导管造影证实在基底动脉真腔后,交换技术送入Transend微导丝(0.014″300 cm)至左侧大脑后动脉P1段,送入Gateway球囊(2.0 mm×9.0 mm)从闭塞段远端向近心端扩张4次,扩张完造影示右椎动脉V4段无再通(图9)。

图9
此时经6F导引导管和放置在左椎动脉V1段的5F椎动脉造影导管行双路径图,以显示椎基底动脉系统。选用Apollo球囊扩张支架(2.5 mm×13 mm 3枚,3.0×8 mm 1枚)自闭塞远端至近端依次释放支架,两个支架间重叠约2 mm(图10)。

图10
支架释放过程中给予替罗非班3 ml/h静脉持续泵入,以预防急性血栓形成。最后一枚支架释放完毕后造影显示右椎动脉V4段再通,支架贴壁良好,前向血流TICI分级3级,左椎动脉V4段逆向显影(箭头)(图11)。

图11
小结
1.适于开通的颅内动脉慢性闭塞病变一般具有三个特点:
》a.闭塞远端有正常血管床;
》b.闭塞病因考虑系动脉粥样硬化;
》c.有影像学资料证实或者根据临床症状推断闭塞时间较短(数个月)。
2.穿越病变均采用微导丝与微导管同轴技术。
3.一般需要先球囊预扩张,再放置球囊扩张支架(可能比自膨支架更好将血栓成分贴壁)。
4.已经开展这项工作的同行们也许有和我们不同的经验和体会,对于本例治疗策略也有不同的考量和见解。
5. 需要强调的是,颅内动脉慢性闭塞的血管内介入再通治疗目前仍处在探索阶段,考虑到操作的高风险以及远期疗效不确切,我们应该更审慎的开展临床运用。