病例特点:39岁女性,因“间断上腹部隐痛不适1月”就诊于我科。
W62kg H 160cm S 1.62M2 ECOG 0分
NRS:1分,KPS评分:90分
现病史:
患者于1月前无明显诱因下,突然出现轻微上腹部隐痛,伴腹胀、反酸、嗳气,无咳嗽、腹泻、呕血、黑便、血尿等症状,起病后病情间歇性发作,1天前患者至当地医院就诊,行CT检查,CT(2022-1-12):1.右侧腹膜后肿块,脂肪肉瘤?畸胎瘤?2.盆腔少量积液。未行进一步检查及治疗来诊,拟为“右侧腹膜后占位”收入我科。自患病以来精神状态良好,食欲食量良好,睡眠情况良好,体重无明显变化,大便正常,小便正常。
既往史:
2021-4因外阴囊肿至当地医院行手术治疗,术后恢复可。
2019年及2013年行剖宫产手术
诊断:1.腹膜后肿瘤 2.剖宫产个人史 3.外阴囊肿术后
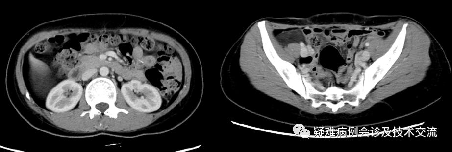
本例患者CT提示肿瘤上下界:

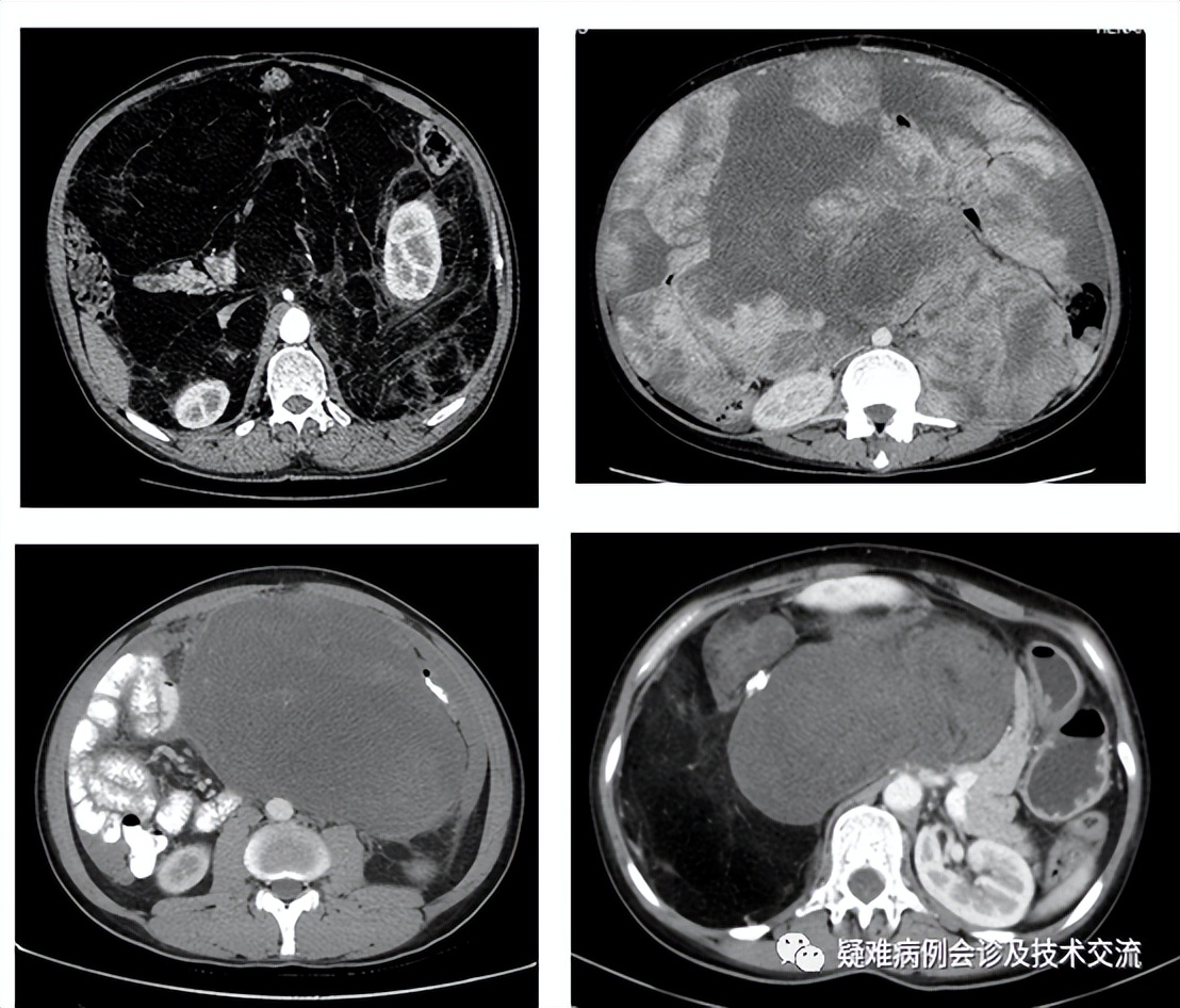
本例患者术前动态CT:
,时长 00:18
不同亚型脂肪肉瘤的CT表现

高分化:CT提示低密度,脂肪成分为主
多形性:CT密度值混杂不均,整个肿块不均匀强化
粘液性:CT提示肿瘤呈现水样密度,组织内含液性成分为主
去分化:CT提示肌肉样密度与脂肪样密度混合存在
分析:
本例特点:肿瘤位于右侧腹膜后,与十二指肠间隙清晰,主体右侧肾脏前方,判断为右侧肾前脂肪囊来源,CT值提示脂肪样密度,据此考虑为高分化脂肪肉瘤。此类肿瘤特点:包膜完整,质地柔软,一般不分叶存在,周围膜间隙清晰完整。

术中见: 无腹水。盆腔、肝胆、大网膜、腹膜无转移结节,肿块位于右侧腹膜后,升结肠后方,大小约15*12*18cm,肝胃间及胃小弯未见肿大淋巴结。
手术过程及整体流程:
1、取上腹旁正中切口,依次切开腹壁各层进腹。
2、打开右侧侧腹膜,上至结肠肝曲与肝脏粘连处,下至回盲部尾侧腹膜,打开右侧Todlt筋膜,将升结肠向内侧翻起,注意保护十二指肠前壁。显露肿瘤前壁,在右侧肾前筋膜间隙分离肿瘤后壁,逐步将肿瘤完全游离。注意保护肿瘤包膜完整及右侧性腺血管及输尿管,将肿瘤移除腹腔。创面止血,放管关腹。



来源:疑难病例会诊及技术交流