“医生,盆腔积液可怕吗?严重吗?盆腔积液就是盆腔炎吗?盆腔积液要吃抗生素吗?”绝大多数女性在看到超声报告中的盆腔积液都会发出上述的各种疑问。今天就来简单跟大家聊一聊盆腔积液这个问题。

图片来自于互联网
盆腔积液的诊断主要依靠妇科超声检查。超声诊断方式具有操作简便,能够清楚地显示患者的积液部位,能够测量出积液的深度范围,再充分结合患者的病史和声像图像特征,临床医师便可以准确判断出积液的性质和原因,且诊断过程不会给患者造成创伤,被患者广泛接受。

图片来自于互联网
正常情况下,盆腔内的积液深度不超过10mm。也就是说,如果盆腔内液体深度在10mm以下,属于正常的生理现象,无需接受特殊治疗。但是如果盆腔积液深度在10mm以上,则需要引起我们的重视,及时诊断、必要时采取治疗。因为较多的盆腔积液往往提示可能存在某种疾病,很多时候会给广大女性的生命健康和生活质量产生较大的影响,因此需要医生对患者进行及时、有效得诊断和治疗。
盆腔积液按发生的原因分为生理性盆腔积液(见图一)和病理性盆腔积液(见图二)。生理性盆腔积液——因为盆腔是腹腔在全身最低的部位,当有渗出液或漏出液时都会流至盆腔,从而形成盆腔积液。部分正常女性在月经期或排卵期会有少量血液聚集在盆腔从而形成盆腔积液。这类女性往往没有任何临床症状,不需要特殊治疗积液可以自行消失。因此当碰到少量盆腔积液时,我们完全不必过分紧张,只需要继续观察。

图一 生理性盆腔积液,特点:量少,透声好

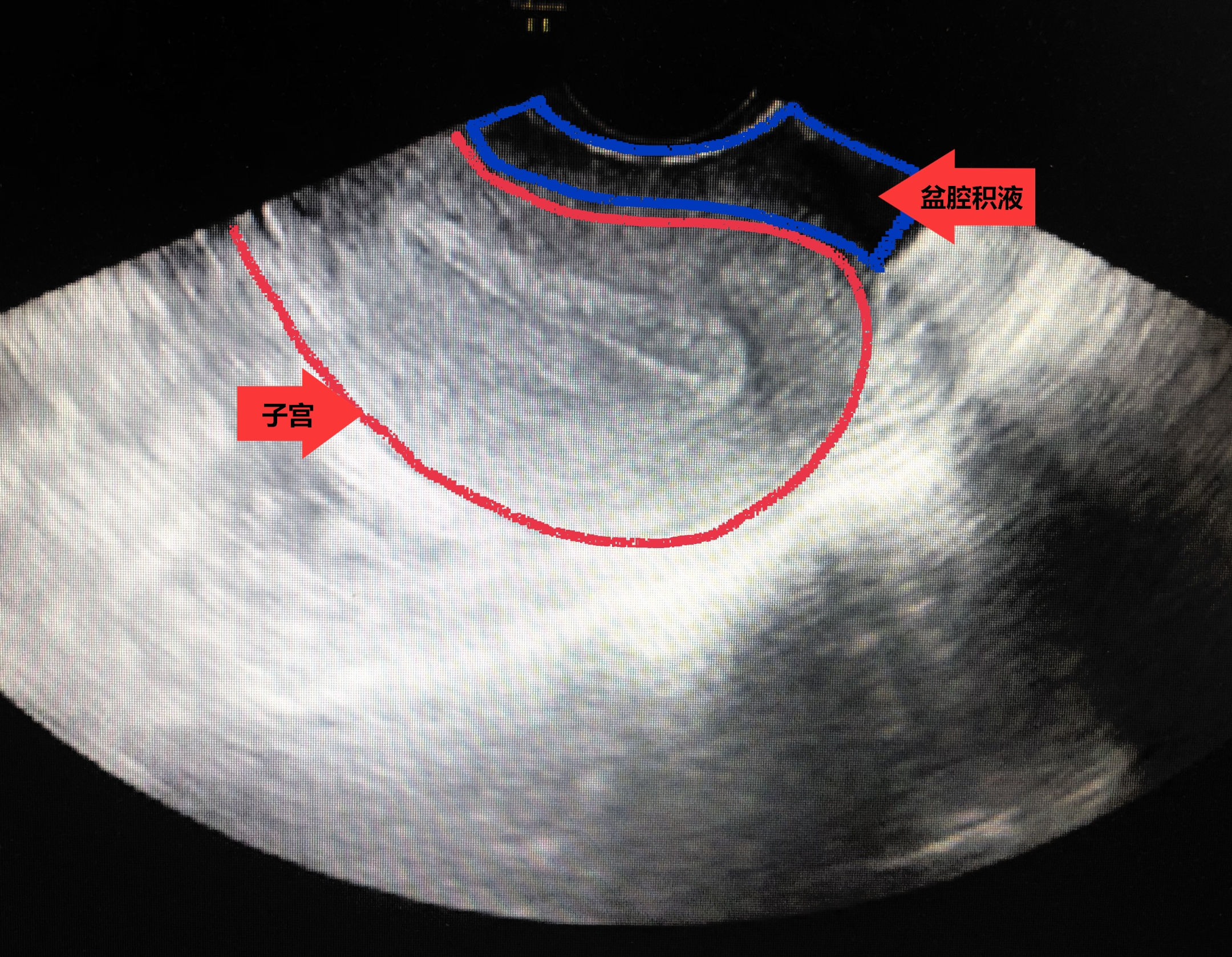
图二 病理性盆腔积液,特点:量多,透声欠佳
病理性盆腔积液——在临床上大部分女性的盆腔积液是由于炎症引起的,是盆腔存在炎性渗出物,病理性盆腔积液最常见的原因是盆腔炎、附件炎或者子宫内膜异位症引起的,少数有可能由结核、肿瘤或者宫外孕破裂、黄体破裂引起。这类女性大部分都有症状,比如下腹痛、下腹坠胀、腰骶部酸痛、月经失调、白带增多等。值得一提的是,除了妇科疾病,当患者出现肾衰、肝硬化、慢性心功能不全等心、肝、肾疾病时,也可能出现盆腔积液的情况。这时候就需要医生进行正确的判断,积极治疗患者的原发疾病。
必须强调一点,超声描述中盆腔积液的特点只能给予我们临床医生一定的提示,我们必须充分结合患者的病史特点及体格检查等对患者的病情进行正确的判断。下面跟大家简单介绍一下各类疾病引起盆腔积液的超声影像表现:1、宫外孕破裂:子宫旁发现混合性包块,包块周围可见不规则液性暗区,透声差,出血量不同时积液量可能为大、中、小不等。2、盆腔炎性渗出:宫旁积液量增多,透声差,有时伴有絮状高回声漂浮。3、黄体破裂:一侧卵巢增大,边缘可发现裂口样改变,暗区透声欠佳。4、结核性包裹性积液:暗区透声尚可,暗区可见絮带状强回声源浮,输卵管或子宫包裹在液性暗区中,盆腔积液量增多。5、巧克力囊肿破裂:附件区内可见弱光点回声,内壁粗糙、表面不光滑、伴不规则液性暗区,透声差。6、盆腔脓肿:可发现边界模糊,有包裹现象,一侧或双侧附件区或宫后方发现多量液性暗区或不规则混合性低回声团。 7、正常排卵:未在双侧或子宫附件区发现异常,透声良好,子宫直肠凹陷处可发现少量液性暗区。
那么如果出现了盆腔积液,应该怎么治疗呢?

图片来自于互联网
首先,如果有明确原发疾病的盆腔积液需要积极治疗原发病,其次,可以选择药物治疗(比如抗生素)、物理治疗、中医治疗或其他治疗等。严重的盆腔积液可能伴有休克时,甚至可能选择手术治疗。
盆腔积液是妇科临床上非常常见的一种临床表现,近年来,随着妇科超声的普及以及超声诊断水平的提高,盆腔积液的发现率逐年递增。但是并不是所有盆腔积液都需要治疗的,少量盆腔积液完全可以继续观察。当积液量较多或者超声影像中显示积液透声差时,则需要引起临床医生的重视。介于很多盆腔积液患者的早期症状不明显,或有轻微症状,不容易被发现,往往会导致最佳的治疗时机被延误。运用妇科超声诊断盆腔积液可获得较好的效果,诊断准确率相对较高,同时可以明确盆腔疾病的具体类型,以方便制定治疗方案,提升患者的生存质量。
作者: 纪晓宁 吴婷婷 杨永彬 上海市第一人民医院妇产科