牙齿敏感是一种常见的口腔问题,虽然牙齿敏感并不像牙髓炎那样,会产生让人难以忍受的剧烈疼痛,但嘴巴里的牙齿每每受到冷热酸甜等外界刺激,那种尖锐而短暂的疼痛便会给你当头一棒,浇灭你对各种美食的幻想。
牙齿敏感虽然有确切的临床症状,但它并不是一种独立的牙齿疾病,它是多种牙齿疾病的一种口腔表现,如牙齿外伤隐裂、牙釉质磨损(楔状缺损)、牙周病导致的牙根暴露、深龋等均会导致牙齿敏感。
既然题主问的是补牙后牙齿敏感怎么办,那今天我就着重讲一讲为什么补牙后牙齿会敏感,以及补牙后牙齿处理的方法。

1、牙齿敏感的本质是牙釉质完整性被破坏和牙本质的暴露。
牙齿的结构大致分为三层:牙釉质、牙本质、牙髓。
*牙釉质在牙齿的最外层,坚硬致密,既能咬碎研磨食物,又能保护牙齿本身的完整性。
*牙本质在牙釉质层的下面,其硬度低于牙釉质,空管结构,向内保护牙髓、向外支持表面的牙釉质。
*牙髓是一种特殊的结缔组织,位于牙齿内部的髓腔内,其主要包含神经、血管,淋巴等,对外界的刺激特别敏感。

外界的刺激可通过牙本质小管传递给牙髓,从而产生疼痛感,因此一旦牙釉质受损变的不完整,或者牙龈萎缩导致无牙釉质包裹的牙根外露,那牙齿敏感便会接踵而至。
虽然牙齿过敏症确切的发病机理尚不十分清楚,但临床上已经广泛运用并取得确切效果的的操作,就是尽量封闭暴露的牙本质小管,或者通过钾离子作用于牙本质小管的神经末梢,降低神经纤维的兴奋性,缓解牙本质敏感的症状。像我们平时使用的各种抗敏感牙膏,抗敏感漱口水等产品都是运用这个原理。
2、为什么补牙后牙齿还会敏感
若是补牙后短时间内便开始出现牙齿敏感,可能是以下几种情况导致:
(1)深龋充填后牙齿敏感。

*操作方面:
由于龋洞较深,深达牙本质中深层,洞底距离牙髓比较近,这时任何操作都可能激惹牙髓,比如持续不间断的磨牙,对牙齿的刺激就非常大,磨牙齿时高速手机喷水过少,钻头和牙齿摩擦产生的热量也会刺激牙髓。
深龋洞,补光固化树脂之前,用酸蚀剂酸蚀牙齿极易出现术后牙齿敏感,酸蚀时间过长,酸蚀后残留的酸蚀剂没有冲洗干净,或者光固化粘接剂固化不彻底……这些补牙时易忽略的细节,都易激惹牙髓,导致牙髓充血,进而出现术后牙齿敏感,这种敏感症状大部分会在持续一段时间后自愈,也有少数人会发展成不可逆的牙髓炎。
*补牙材料方面:
若是深龋近髓,应该用垫底材料先在洞底垫一层,用来隔绝温度和补牙材料对牙髓的刺激,垫底后,再充填树脂材料,是补深龋洞的常规操作。若深龋洞没有垫底就直接补树脂材料,大概率会出现牙齿敏感。
(2)楔状缺损和邻面龋充填后牙齿敏感。

牙齿出现楔状缺损,意味着牙颈部的牙釉质已经受损,也意味着这种牙齿更容易敏感,很多来补楔状缺损的患者,主诉大多是冷热刺激不适。
很多严重的楔状缺损,龈方的洞缘都或多或少地被牙龈覆盖,若是不通过排龈线排龈,图省事儿直接充填,那楔状缺损的下缘就很难被补牙材料补到,而遗漏的这个没有被充填到的边缘,会因外界刺激而产生持续性的牙齿敏感!(若是牙龈覆盖过多,需要用电刀切除增生的牙龈)

除了深龋以外,充填后最容易出现牙齿敏感的就属楔状缺损和邻面龋了,邻面龋受限于视野和操作空间,一是充填物容易和牙齿之间出现没有补到的缝隙,进而出现充填后冷热刺激痛,二是充填物易突出牙面,形成悬凸或磨除龋坏的牙体组织时,伤及相邻的牙齿,这都会破坏邻间隙,产生一个塞牙的牙缝,大量的食物嵌塞,会导致牙龈红肿出血、胀痛、甚至冷热刺激不适。
(3)继发龋导致的牙齿敏感。
补牙后,当时没事,过了很长一段时间,才开始出现牙齿敏感,那大概率是充填过后的牙齿出现了继发龋,为什么会出现继发龋呢?

原因很多,说两个主要的。
*若是第一次补牙时,腐质没有去干净就充填了,这时牙齿表面虽然没有龋洞了,但是牙洞内残留的细菌还是会继续悄悄地腐蚀你的牙齿,不过的牙齿可能不会再引起人们的关注,直到这颗牙齿再出现更严重的问题。
*任何材料本身都具有微小的收缩或膨胀性质,充填物在口内反复的承受咬合力和冷热温度刺激,也会和牙齿之间产生微小的缝隙,若是医生补牙时,不了解补牙材料的性能,那不合格的操作,会使充填物和牙齿之间更容易出现细微的缝隙,虽然缝隙很小,但是细菌本身也不大,一点点的缝隙,加上不良的口腔卫生条件,牙齿产生继发龋是早晚的事儿。
3、补牙后牙齿敏感及常规牙齿敏感的处理办法。
(1)最常见的处理方式,就是复诊,让医生检查一下补牙材料的完整性,看看是不是有明显的未充填到的地方,顺便检查咬合是不是高了,要是颌面充填物太厚,咬合升高,也会导致咬合不适,进而刺激牙根或导致牙髓充血敏感。
(2)若是深龋充填后,短时间内冷热刺激敏感,可联系医生说明情况,若是补牙垫底了,操作也没有问题,那就用脱敏牙膏刷刷,不要吃太冷太热的刺激牙齿,观察一段时间后,大多数牙齿的敏感症状都会消失或者改善。若是观察期间出现冷热刺激痛,自发性疼痛或者夜间疼痛,那大概率是牙髓发炎了,可能需要根管治疗。
若是观察一段时间后,敏感症状既没有消失,也没有发展成牙髓炎,那可能需要去牙科咨询口腔医生查明导致敏感的原因,看看是否换一种充填材料重新对牙齿进行充填。(一般补树脂敏感就换成玻璃离子试一试)
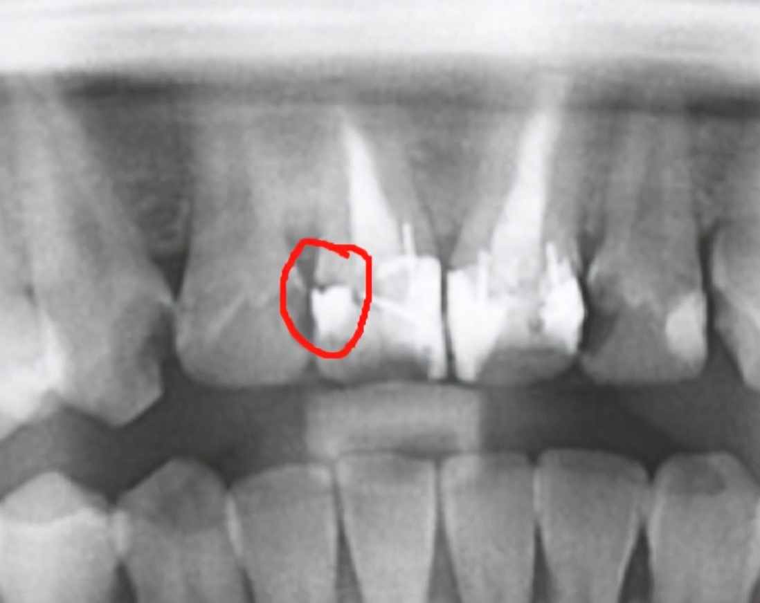
(3)邻面龋充填后敏感,可拍摄患牙区的小牙片,看看是否有相邻区域的牙齿还有未发现的龋坏,也可顺便检查一下充填物是否有悬凸或者未充填到位的地方,若有,及时处理便可解决问题。
若是充填物完好,查不出牙齿敏感的原因,那可以试试具有脱敏功效的漱口水,漱口水可以轻易通过牙刷无法刷到的牙缝缝,既能预防继发龋,又能缓解牙齿敏感。