牙周病是引起成年人牙齿丧失的首要原因,也是危害人类牙齿和全身健康的主要口腔疾病。西安市红会医院口腔科主任高艾玲给大家讲讲牙周病的那些事。
什么是牙周病?

牙周疾病是一种细菌感染性疾病。牙周病最大的危险之处就在于疾病早期患者完全没有感觉,直到疾病后期出现口臭、出血、牙根暴露直至牙松动脱落才意识到该疾病的可怕。
牙周病的病因是什么?

牙周病的病因复杂,一般由多种因素协同所导致,概括起来分为全身因素和局部因素两种。在局部因素中菌斑细菌及其产物是牙周病的主要病因,而口腔中的牙石,口腔卫生不良等是局部促进因子。内分泌功能不良代谢紊乱等是牙周病的全身性因素。
牙周病有哪些临床症状?

1、刷牙出血、咬物出血和晨起唾液中带血。
2、口腔异味、食物嵌塞,大多数的口腔异味均来自刷牙不到位导致菌斑及食物残屑堆积,加之牙龈炎症出血的血腥味等的混合型异味。
3、出现咬物无力、牙齿松动、牙缝变大和牙齿变长等症状,则提示牙周疾病已经到了比较重的程度。
牙周病的危害有哪些?
1、 局部危害 :早期出现牙龈充血、水肿、牙龈出血、口腔异味等。晚期会出现牙周组织破坏、牙龈萎缩、牙槽骨吸收、牙根暴露、牙齿松动、脱落等。

2、 全身危害
①糖尿病患者易患牙周疾病,并且患牙周炎后其症状和程度较无糖尿病患者要严重,常伴发牙周肿胀、溢脓。
②有大量科学研究表明,牙周病是心血管疾病的重要危险因素。
③妊娠期女性原有的牙龈炎症加重,甚至会出现牙龈增生,形成妊娠期龈瘤。孕妇未控制的牙周炎可能会引起早产,出血多和肿物较大会影响孕妇进食,造成生活不便和心理紧张。
④牙周炎还可以引起感染性心内膜炎、关节炎、虹膜炎等。
针对牙周病的局部刺激因素,我们完全可以人为干预,如正确刷牙、漱口、充分咀嚼比较粗糙而富有纤维性的食物,通过使用牙线消除或减轻食物嵌塞,其中最主要且行而有效的早期预防牙周病方法就是定期洁治。
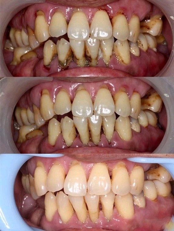
西安市红会医院口腔科开展超声洁治术(洗牙)、龈下刮治术、根面平整术、脓肿切开引流术、龈瘤切除术、冠延长术等牙周手术治疗。需要强调的是,即使口腔内没有任何症状,也应每半年到一年定期进行口腔和牙周检查,预防牙周疾病要做到未雨绸缪!如经常而又及时、彻底的去除口腔污物,去除龈上菌斑洁石,就可有效地预防大多数的牙周疾病。

西安市红会医院口腔科概况:现有医务人员13名,西安市红会医院6名,阎良院区7名。其中,副主任医师2名,主治医师5名,医师5名,护师1名,分别毕业于各大院校,且进修学习于第四军医大学及西安交通大学等各个口腔专业医院。
科室现拥有各种先进口腔医疗设备,种植机,根管测量仪,光固化机,洁牙机,喷砂机等仪器。引进了口腔CT及X线数字成像系统,在口腔内就可拍摄医学影像资料。口腔科器械消毒符合国家标准,保证“一人一机”,有效杜绝医源*交性**叉感染的发生。一流的消毒设备,严格的消毒程序,可靠的消毒效果是您放心就诊的安全保证。
科室诊疗范围:口腔内科,口腔颌面外科,口腔修复,口腔正畸,口腔种植等业务(包括牙体牙髓治疗,全瓷冠修复,烤瓷冠修复,各类可摘局部义齿修复,桩核冠修复,全口吸附性义齿,牙周龈下刮治,成人及青少年牙齿固定及隐形矫正,儿童成长发育期错颌畸形功能矫治等)。