近日,75岁的谈大爷因右侧肢体活动障碍长达20小时,来到 芜湖广济医院 就诊。
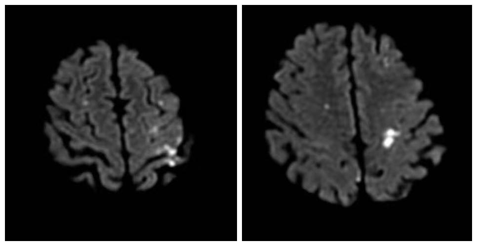
经过磁共振检查, 神经内科季新发主任 诊断:老人患有多发性脑梗死。进一步头颈部CTA检查,发现老人双侧椎动脉闭塞、颈动脉重度狭窄。

磁共振检查图:白色明亮处为脑梗处
多发性脑梗死是指脑部有两个以上的脑梗塞灶。如果堵塞的血管比较大,会导致大脑突然缺血,威胁病人的生命安全。
并且,脑梗发病 4.5个小时 内,越早接受溶栓治疗,发生坏死的神经细胞越少,残疾风险也会越低。
而谈大爷脑梗发生已经20个小时,加之老人情绪消极,甚至有了放弃治疗的想法,这对下一步治疗很不利。

双侧椎动脉起始段闭塞(局部),右图含侧支代偿

双侧颈动脉C1段狭窄(局部)
住院期间,季主任经常 陪老人聊天 ,安抚老人的情绪。温情打动了老人及其子女,谈大爷决心治疗!
季主任建议:病情稳定三周后,尽快进行数字减影血管造影(DSA)介入治疗。

季主任在查房
DSA介入治疗
血管球囊扩张成形术和血管内支架植入成型术已经成为治疗脑缺血、脑梗塞十分重要的手段。
手术操作时,在DSA监控下,将导引管经主动脉插到颈动脉或椎动脉(供应颅脑的血管)内,再置放支架,达到扩开狭窄段血管、顺行性血流再建的目的。

DSA介入治疗手术中
芜湖广济医院DSA介入治疗中心,在技术及硬件条件支持下,实现特殊情况下低剂量高清成像,强大高效的临床应用功能助力于各类复杂临床介入手术。
住院治疗三个星期后,谈大爷的身体状况符合 DSA介入治疗的指征 。手术过程很顺利,术后恢复情况良好,目前谈大爷已康复出院。

右颈C1支架置入术前(左)术后(右)

左颈C1支架置入术前(左)术后(右)
医生建议
暑期高温,老人中风的可能性更大。
★适当地调整空调温度,避免室内外温差过大;
★多喝水,应少量多次;
★饮食清淡,以素食为主,多吃蔬菜瓜果,五谷杂粮;
★适当运动,挑选室外凉爽时散步;
★劳逸结合,保证睡眠充足。

季主任在查房