#非常病例##乳腺癌##肺癌#
作者:北京协和医院乳腺外科 沈松杰
2018年10月的一个周二上午,我提前10分钟达到诊室,发现一位中年女性已经焦灼地等在诊室门口了。她跟在我后头进了诊室,并急切地说她就是今天的1号,她布满血丝的双眼告诉我,已经好几天都没休息好了。

我一边翻看病例,一边赶紧招呼她和家属坐下,详细询问病情。
病人开口便说:“沈大夫,我这晚期乳腺癌还能治吗?”
然后就泣不成声了,只好由家属来描述她之前的诊疗过程。

病人姓张,45岁,5个月前,张女士洗澡时自己摸到左侧乳房内侧有一个肿物,大约鹌鹑蛋那么大,按着不疼,挤压乳头也没有溢液,于是她并没有太重视。但张女士时不时还是忍不住会担心,该不会是肿瘤吧?为了安全起见,她决定去当地医院挂号检查一下。

按照当地医生的安排做了乳腺超声,结果发现左乳内侧一个大小约2.0×1.8×1.3cm肿物,内部可以看到钙化及血流信号,考虑BI-RADS 5类。于是又查了乳腺钼靶,也发现左乳内下象限一个大小约1.7×1.6cm稍高密度肿物,考虑BI-RADS 4C类。
这可怎么办?

张女士一下便慌了神,两个检查结果都提示恶性可能性大,不会真的是乳腺癌吧?
当地医生建议做个肿物粗针穿刺活检看看。张女士心想,还是早些确定肿瘤性质了好,不然接下来肯定每天都会因为这件事提心吊胆。于是心一横便同意了。
煎熬的几天时间过去了,终于等到了病理报告。

“乳腺浸润性导管癌”!拿到报告的时候,张女士的手一直在抖。天哪,真的是恶性肿瘤。张女士哭着来到乳腺外科,希望医生能告诉他报告是错的。
“你这个肿物还不算特别大,但也有可能发生转移,最好再完善一个全身检查,”医生说。
果不其然,胸部CT又发现左肺上叶有个直径约1.1cm的结节,边缘还有毛刺,影像科的医生看到这个片子也判断恶性肿瘤的可能性大。正电子发射断层显像/计算机体层成像(PET/CT)提示左乳腺和左肺结节都考虑恶性病变。

乳腺癌晚期肺转移?张女士的心态彻底崩溃了。
于是病人便从外地千里迢迢来到了我的门诊。我看了肺CT,的确形态看着不太好,但与转移癌又有点不太像。之前也碰见过多例乳腺癌患者同时合并肺内可疑恶性结节,结果是肺良性结节或肺早期原发癌的病例。
“您很可能不是晚期乳腺癌,而是早期乳腺癌和早期肺癌。”
我安慰好病人,并马上安排了我院的多学科协作团队(MDT)进行会诊讨论。

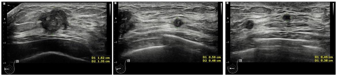
超声科大夫复查了超声(图1),结果发现左乳除了之前提示的内象限9点结节外,旁边还有两个可疑恶性的结节。幸运的是,淋巴结没有看到可疑的转移征象。

图1 乳腺超声提示左侧乳腺多发可疑恶性肿物
左侧图像为之前穿刺的恶性结节,中间和右侧图像为穿刺结节旁肿物 。
放射科大夫认为肺内结节恶性可能性大,并分析了肺内原发癌与转移癌在CT影像学表现上的差异。肺内原发癌目前以腺癌最为常见,可有各种密度,包括磨玻璃样改变、部分实性或实性,常有分叶、毛刺和血管集束征,可有空泡征或细支气管充气征,也可因为血供不足、坏死形成空洞。肺单发转移瘤以实性转移多见,偶可有磨玻璃结节,以下肺多见,边界光整,可有分叶,密度多均匀,转移瘤形成空洞的几率低。
本例患者胸部CT提示左肺上叶结节影,内见空洞形成,邻近气管走行迂曲,壁薄光滑,病变边缘可见毛刺,从CT影像学(图2)考虑肺原发癌可能性大,但有时原发癌和转移癌不好区分,最终还需要病理证实。

图2 .肺部CT示左肺上叶结节(箭头所示) 图2 肺部CT示左肺上叶结节(箭头所示)
胸外科大夫鉴于患者肺内病灶是原发性肺癌可能性大,术前评估无远处转移,临床分期Ia2,具备手术指征。该患者临床分期偏早期,预期进展相对较慢,由于病变部位原因,可行左肺上叶切除。
我把多学科讨论的结果告诉张女士后,她这次是喜极而泣了。

由于乳腺内是多发病灶,可惜无法进行保乳手术,张女士没有进行即刻乳房重建的想法,于是做了左侧乳房切除+左侧腋窝前哨淋巴结活检手术。很幸运,淋巴结没有转移,于是也无需进行淋巴结清扫,更好地保留了上肢的功能和感觉。随后在胸外科进行了胸腔镜左肺上叶切除和纵隔淋巴结清扫术。
最终的病理证实了我之前的推断,乳腺和肺内的病灶都是早期的,都没有淋巴结转移。张女士很快回归了工作和生活,现在还是当地武术协会的骨干。上周刚刚完成了2年半的复查,一切正常。就像张女士说的,“现在活的比以前更好了!”

由于乳腺结节和肺结节在女性中都很常见,因此两者合并存在的概率是很大的。在临床中,乳腺癌合并肺结节误诊为乳腺癌肺转移癌的发生率很高。目前样本量最大的一项研究是国内学者对1286例乳腺癌患者影像学提示肺内孤立性结节的病人进行的研究,在142例进行肺结节切除手术的患者中,20例(14.1%)病理证实为良性,70例(49.3%)为原发性肺癌,52例(36.6%)为转移癌。原发性肺癌患者的3年生存率为94.9%,显著优于乳腺癌肺转移的患者(75.0%)。
从目前报道的研究结果来看,乳腺癌患者出现肺内孤立性可疑恶性结节中,原发性肺癌的比例比转移癌更大。由于乳腺癌患者术后定期随访会对肺内结节进行筛查,因此原发性肺癌以早期为主,通常预后优于乳腺癌肺转移患者。因此,乳腺科医生对于乳腺癌合并肺结节一定要做好鉴别诊断。

乳腺癌已经成为女性最常见的恶性肿瘤,广大女性朋友一定要定期进行乳房自检和体检。早期发现乳腺癌不但可以提高保乳率,也可以提高生存率,就像我经常说的,“早期乳腺癌既不影响外形,也不影响生存”。对于可疑转移病灶,不要轻易放弃,要配合医生进行必要的检查和诊断,有可能是虚惊一场。
参考文献:
[1] Song Z, Ye T, Ma L, et al. Surgical outcomes of isolated malignant pulmonary nodules in patients with a history of breast cancer. Ann Surg Oncol, 2017,24:3748-3753.
作者简介:

沈松杰
北京协和医院乳腺外科主任助理,医学博士,副主任医师,副教授,硕士研究生导师。2013年通过北京协和医院“百人计划”作为访问学者公派至哈佛医学院 Dana-Farber癌症中心及哈佛大学公共卫生学院学习。
专业方向:乳腺良恶性疾病的手术治疗及综合治疗。擅长乳腺癌保乳、保腋窝、乳腺癌根治及即刻再造术,良性肿瘤美容切除。
主要学术兼职:北京乳腺病防治学会青委会主任委员,北京乳腺病防治学会理事,中国研究型医院学会乳腺专业委员会常委,北京乳腺病防治学会健康管理专业委员会常委,《中华乳腺病杂志(电子版)》中青年编委,《协和医学杂志》青年编委,健康科普行动专栏主创。