
X光照片,是利用X光线来拍摄人体内部的特殊照片,借此诊断疾病。X光线和光波、声波一样,是一种看不见的能量波。它的能量很强,可以像光穿过玻璃一样穿过肉体。射到一种特殊的摄影底片上,使它变黑。
1、这是一名患有痴呆症的病人,通过对其腹部进行X光后,才发现她吞下了一根刮胡刀以及几片刀片!

2、这张有色的X光片的主人,他的肠道里有一个勺子和一个刀片。

3、下图不多解释了!振动棒深陷“菊花”弄不出来,然后患者试图用沙拉钳来抓振动棒,结果因为沙拉钳太大被卡住了……

4、安徽合肥,一名建筑工人从2.4米高的脚手架上不幸失足落下,从臀部到胸口被一根钢筋穿透,生命垂危。他的工友们立即将他送到医院救治,他后来被抢救了过来,大难不死。

5、这张胸部透视片上可以看到这名患者的脖子到胸腔位置有一个电锯的锯链。当时患者正和同事们一同在伐木,突然电锯的链条断裂并反弹回来,切穿了患者的胸腔。

6、这把*首匕**扎入了一名仅有10岁大的阿富汗小男孩的头部,经过手术之后被取出,并在医院接受后续治疗。

7、这名不幸的患者被一根撬棍刺穿头部。

8、一名中国的69岁老人被人送往医院,X光片显示他的头顶被钉入了3根钉子。医生紧急手术将钉子取出。这位老人住院了3个月并最终康复出院。

9、这名仅有2岁大的幼童不小心跌倒,手里拿着的铅笔扎进了右眼,并刺入脑部。万幸的是它错过了眼球。医生取出了铅笔,并且奇迹般的是,这个孩子逐渐恢复,他的眼睛和大脑都没有显示后遗症的迹象。

10、X射线图像显示这名患者吞下了包括叉子,牙刷和圆珠笔等异物:

11、这名患者的X光图像显示明显的创伤,他是在与一名持刀袭击者的搏斗中受伤的:

12、这张有色的X光片的主人,她的食道里有一枚别针。

13、这张有色的X光片显示,这个7岁的男孩吞下了一枚钥匙。

14、这是一个士兵足部的X光片,显示了他的枪伤。*弹子**没有损伤任何骨骼,但由于长期穿着军靴和步行,这颗*弹子**改变了骨骼的形状。

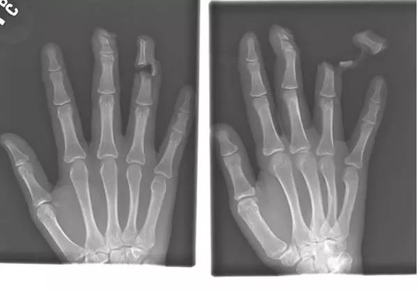
15、这张X光片上,这个成年男性的中指被一根钉子穿透。

16、这张X光片显示,这位可怜的病人的右脚被叉子扎伤了。

来源:搜狐网
更
多
精
彩
请猛戳右边二维码
中国气象科普
qxkpw2014