相信大家都看过影视剧里这样的场景:打仗时,士兵们小心翼翼地向前行进,突然听到“咔嚓”一声,一名士兵踩在地雷上,不敢挪动半分,接下来就是争分夺秒地排雷了。其实,脑动脉瘤的介入栓塞手术,也是如此。脑动脉瘤就相当于一颗“不定时*弹炸**”,随时危及患者的生命,手术的过程就是“排雷”的过程,要求术者技艺精湛,成熟稳重,能应对突发情况。一枚脑动脉瘤就如此惊险了,那要有3枚呢?

大概一周前的一天,快到半夜12点的时候,钱阿姨(化名)还在和家人闲聊,话刚说到一半,突然倒地,意识不清。这可吓坏了一家人,赶紧打120送往西北大学附属医院·西安市第三医院,后转入神经外科。
虽然已是凌晨,但神经外科的医护人员迅速集合起来。时间就是生命,钱阿姨情况危急,神志嗜睡,精神差,唤醒睁眼,可回答简单问题,自诉有头疼……结合患者病史,详细的查体及头颅CTA显示,考虑钱阿姨为前交通动脉瘤破裂出血,需要紧急手术。
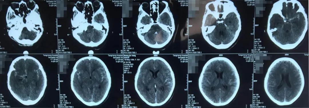
术前CT:

行脑动脉造影后发现,除了破裂的前交通动脉瘤,右侧C6段还有两个动脉瘤!↓↓↓

有一个动脉瘤已经很危险,钱阿姨的大脑里边居然藏有3个,危险指数和手术难度更是可想而知。而且钱阿姨的情况不能等,随时都有生命危险。就在这样危急的情况下,神经外科张世荣主任组织专家团队进行反复详细的讨论后,决定一次手术解决3个动脉瘤,为钱阿姨进行“支架辅助右侧颈内颈内动脉C6段动脉瘤介入栓塞术+前交通动脉瘤介入栓塞术”。
完善术前检查后,钱阿姨立马被推进手术室。张世荣主任凭着丰富的临床经验和精湛的操作技术,精细操作,把微导管送入前交通动脉瘤腔内,并置入弹簧圈,致密地填塞了动脉瘤。其后,用支架辅助结合弹簧圈,将右侧颈内动脉C6段的2个动脉瘤也完美栓塞。手术耗时5个小时,术中无动脉瘤破裂出血,一次手术将颅内的3颗“*弹炸**”终于全部排除!
3枚动脉瘤全部栓塞成功:



术后,钱阿姨情况好转,神志清楚,生命体征正常,四肢活动良好。
介入栓塞术是怎样治疗脑动脉瘤?
给钱阿姨采用的介入栓塞术是一种微创手术,无需开颅,也是现在临床应用常见的动脉瘤治疗手段。当然,也是我院神经外科的常规手术、特色技术,对这种手术有着丰富的经验。介入栓塞术成功率非常高,创伤较小,术后病人恢复较快。
