颅内动脉瘤系指脑动脉壁的异常膨出部分,是引起自发性蛛网膜下腔出血的最常见原因。颅内动脉瘤是一种非常危险的疾病,它平常消无声息地藏在脑袋里,当用力活动,咳嗽,用力大便,酒后,情绪激动,忧虑,*生活性**时就可能破裂,导致蛛网膜下腔出血或者脑实质内血肿,所以被誉为脑袋里的“不定时*弹炸**”。颅内动脉瘤人群发病率约为7-8%,经常头痛患者的发病率约为25%。颅内动脉瘤虽不是真正的“肿瘤”,但它和肿瘤、*弹炸**一样危险。
颅内动脉瘤一旦破裂出血,轻者表现为剧烈头痛,恶心呕吐,肢体活动障碍,颅神经麻痹,严重者直接导致昏迷、瘫痪等,甚至危及生命。
2019年6月份,我院神经外科共收治6例颅内动脉瘤患者,均采取显微外科颅内动脉瘤夹闭术。我科李晓东主任带领团队独立成功完成5例动脉瘤的夹闭手术,分别为颈内后交通动脉瘤、大脑中动脉动脉瘤、前交通动脉瘤、左侧后交通动脉瘤开颅探查夹闭术。其中,1例少量蛛网膜下腔出血患者由我市外院请陆军总院教授开颅手术治疗后转来我科系统治疗。
Case1 左侧颈内动脉末端囊状动脉瘤




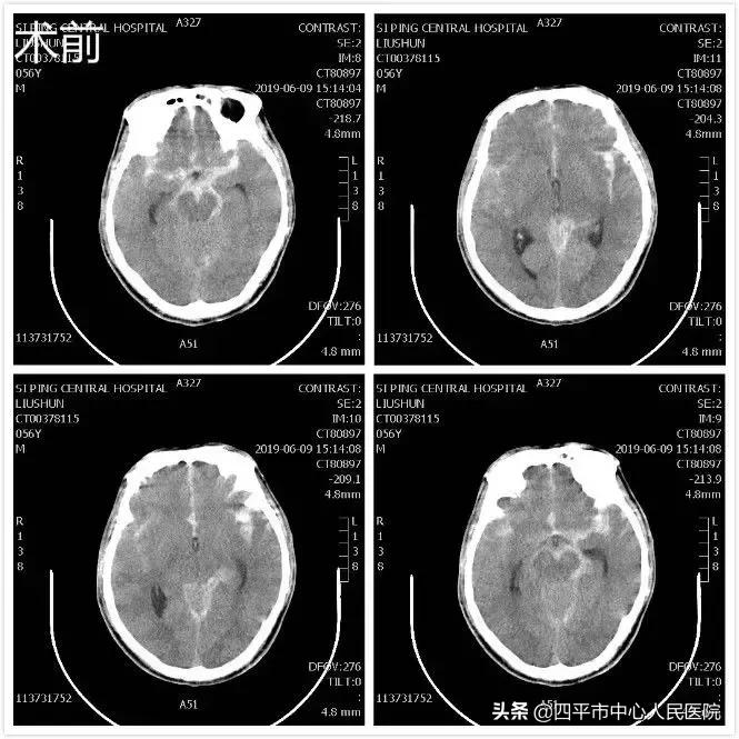
患者刘XX,缘于入院前2小时无明显诱因在劳动时突发意识不清,从2米高处坠落,既往身体健康,入院头部CT提示蛛网膜下腔出血,李晓东主任阅头部CT片后指示该患者应该是先脑出血而后摔倒,不能除外动脉瘤破裂,入院后完善头部CTA检查,提示1.左侧颈内动脉末端动脉瘤。2.左侧大脑中动脉闭塞。3.双侧颈内动脉颅内段轻度狭窄。4.脑内动脉粥样硬化改变。5.右侧胚胎型大脑后动脉。李晓东主任带领孙庆华急诊全麻下行左侧颈内动脉末端动脉瘤夹闭术,术中注意避免误夹后交通动脉,否则造成的后果是灾难性的,经术中仔细操作,确切夹闭动脉瘤,术中顺利,术后患者病情逐渐好转,出院时神清语明,四肢肌力5级,送来锦旗表示感谢。
Case2 右侧大脑中动脉动脉瘤



患者李XX,于入院前4天无诱因突发头痛伴恶心未呕吐,考虑为“感冒”在家中诊所予以对症用药治疗,用药后患者头痛症状未见明显缓解,来我院行头CT示脑出血,既往此类患者我们均按照脑出血治疗,李晓东主任医师查房后考虑患者出血部位不典型,且患者有少量蛛网膜下腔出血,不能排除大脑中动脉瘤,完善头CTA检查后,结果回报右侧大脑中动脉M1、M2交界处见瘤样突起,大小约5.6*4.3*5.0mm,瘤颈直径约3.8mm。李晓东主任带领王野全麻下行右侧大脑动脉瘤夹闭术,术中确切夹闭动脉瘤,避免大脑中动脉远端狭窄,术后患者逐渐恢复,出院时神清语明,四肢活动自如,无任何功能障碍。
Case3 前交通动脉瘤和左侧脉络膜前动脉动脉瘤




患者李XX,于入院前3小时无明显诱因突发剧烈头痛,以双侧颞部为著,恶心、呕吐数次,呕吐物为胃内容物,发病后急被家属送至双辽市中心医院,急行头部CT发现蛛网膜下腔出血,经治疗头痛未见缓解,考虑动脉瘤破裂出血,夜间转到我院后行头部CTA检查示前交通动脉瘤及左侧脉络膜前动脉动脉瘤。李晓东主任带领王野凌晨急诊全麻下经左侧翼点入路行前交通动脉瘤及脉络膜前动脉动脉瘤夹闭术,先夹闭责任病灶--前交通动脉瘤,保护穿支血管,然后,仔细解剖夹闭脉络膜前动脉动脉瘤,保护脉络膜动脉避免误夹,术后患者恢复良好,神清语明,四肢活动自如。该例颅内多发动脉瘤患者病情重,难度系数较高,术后未遗留任何神经功能障碍,家属送锦旗表达谢意。
Case4 大量蛛网膜下腔出血颅内动脉瘤开颅探查术




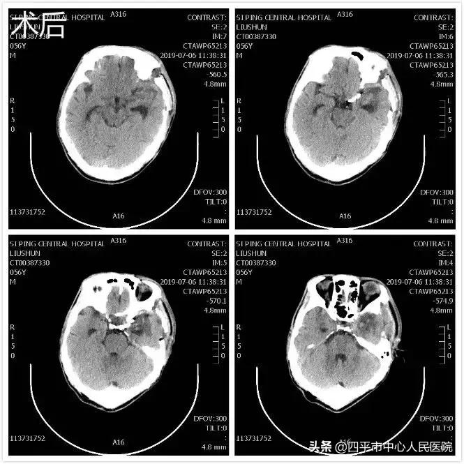
患者张XX,于入院前2小时突发神志不清,伴恶心呕吐,呕吐物为胃内容物,四肢不动,伴尿*禁失**,无抽搐。由家属送至梨树县医院,行头CT检查提示脑出血,为求进一步治疗转送至我院,我院神经内科给予复查头CT提示大量蛛网膜下腔出血,首先颅内动脉瘤破裂所致,由于患者到我院时深度昏迷状态,呼吸微弱,HUNT-HESS分级5级,不适合行头部CTA检查及介入栓塞治疗,家属强烈要求手术治疗,请麻醉科行气管插管后入手术室,李晓东主任带领马龙急诊全麻下经左侧扩大翼点入路行右侧脑室外引流术及颅内动脉瘤探查术,术中探查患者左侧后交通动脉巨大瘤,临时阻断颈内动脉后给予确切夹闭,术中动脉瘤没再次有破裂出血。术后第1天,患者呈浅昏迷状态,刺痛可定位,四肢可自主活动。复查头部CT满意,查头部CTA见左侧后交通动脉瘤夹闭确切。但患者于术后第3天,出现迟发性脑内血肿,考虑到预后不好,家属放弃治疗出院,临出院时对我科李晓东主任及马龙医生的积极救治表示感谢。
Case 5 左侧脑出血,发现左侧后交通动脉未破裂动脉瘤




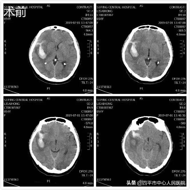
患者孙XX,入院前约21小时无明显诱因突发言语不清伴右侧肢体活动不灵,表现为肢体瘫痪,既往高血压病史约10年,最高可达180mmHg,不规律服用降压药物急被家属送至我院就诊,急送我院急诊给予查头部CT后,示脑出血。患者入院后病情呈进行性加重,患者符合手术指征,行头部CT定位见出血量增加,头部CTA示相当于左侧后交通动脉起始部小动脉瘤,李晓东主任带领马龙医生在清除脑出血的同时将动脉瘤夹闭,出院时,患者病情平稳,预后较好。
Case 6 前交通动脉瘤夹闭术后


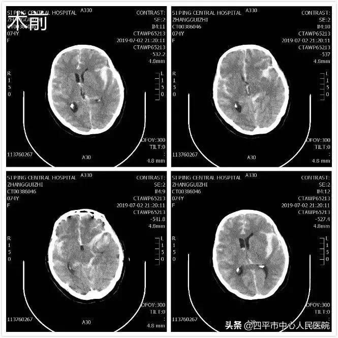
患者张XX,入院前2天活动过程中无明显诱因出现头颈部疼痛,无恶心、呕吐,无发热,当时患者神清语明,自行走到我市某院检查头部CT后,诊断为蛛网膜下腔出血,进一步DSA检查提示:前交通动脉动脉瘤、左侧颈内动脉闭塞。当时,该院建议或者到长春治疗,或者请教授到该院手术治疗。经家属协商后决定在贵院请陆军总医院教授行大脑开颅前交通动脉瘤夹闭术,由于术后昏迷不清,躁动,发热,于术后第2天转到我院系统规范治疗,病程中患者出现肺炎,脑血管痉挛,脑积水。脑血管痉挛经治疗改善,脑积水行脑室腹腔分流手术,现患者神志清楚,运动性失语,可配合指令动作,四肢可动。
目前车祸外伤逐渐减少,人口老龄化日渐严重,脑血管的发病率会越来越高。我科6月份迎来动脉瘤患者高峰,目前我科开颅手术显微镜下夹闭颅内前循环动脉瘤水平成熟。我院神经外科自2018年6月份李晓东主任全面负责神经外科工作以来,已经分别加入吉林省医师协会第三届神经外科分会神经内镜专业组、北京*013院医**“脑出血微创手术治疗国家十三五项目”、北京天坛医院神经系统疾病专科联盟医院,成功开展大量的3、4级手术,近日开展全脑血管造影技术、颅内动脉介入栓塞技术、颅内外动脉搭桥手术(By-pass)等。
神经外科专家

李晓东 ,神经外科主任 ,主任医师 ,*共中***党**员 ,中国医师协会授予神经外科专科医师 ,中国医科大学神经外科专业学位硕士研究生(全日制),四平市医学会神经外科学分会主任委员,四平市医学会神经外科分会优秀干部,四平市优秀*党**员,2019四平市医德标兵。
从事神经外科工作20年,擅长于各种颅脑损伤,脑出血,大面积脑梗死,颈动脉狭窄,脑积水,小脑扁桃体下疝畸形,脊髓拴系综合征,颅内动脉瘤,脑血管畸形,脑胶质瘤,脑膜瘤,垂体腺瘤,听神经鞘瘤,血管网织细胞瘤,海绵状血管瘤等脑肿瘤及颈腰椎管狭窄等脊髓脊柱疾病的显微手术治疗。特别提倡以患者为中心,用“精准微创”的最新理念指导神经外科的一切工作,以患者最大获益为根本目的。
研究方向:各种颅内肿瘤和脑动脉瘤的微创手术治疗,尤其是神经内镜下经鼻蝶窦入路微创手术治疗垂体腺瘤等鞍区肿瘤,神经内镜下微创治疗脑出血,颈动脉内膜剥脱术(CEA),颈腰椎管狭窄等脊髓脊柱疾病的显微手术治疗。