“手术后,我终于能正常走路了。”4月7日,佛山市第二人民医院骨一科住院部传来阵阵的欢笑声。
43岁的张女士(化名)把一副写有“医术精湛,医德高尚”的锦旗,送给骨一科的医生和护士,并激动地说道:“感谢医生的治疗,我现在感觉好多了。”

左髋关节痛了10 多年
疼痛严重不能行走
前一段时间,在骨一科病房外,43岁的张女士一瘸一拐地行走着。

为什么会一瘸一拐地走路呢?张女士说,皆因她的左髋关节痛了10 多年,无法正常行走,特别是负重行走和活动的时候,疼痛最为明显,有时候痛到无法正常行走。由于害怕手术,张女士10多年来一直选择保守治疗。

而近日,张女士左髋疼痛症状加重,严重影响正常的工作的生活。

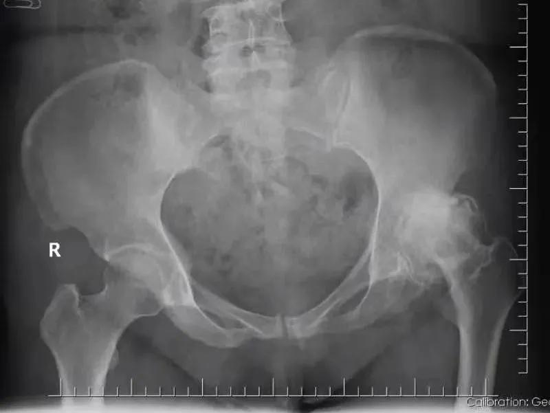
“间歇性疼痛,吃了很多止痛药,就没那么痛,没过多久又疼了,实在太难受了。”面对日益恶化的病情,张女士心急如焚。于是,张女士来到 佛山市第二人民医院骨一科 进一步诊治,通过骨盆X光片显示, 张女士左侧股骨头缺血性坏死 。


髋关节置换手术“赶走”病痛
患者赞誉有加!
据 骨一科副主任医师黄思聪 介绍,张女士目前的情况,如果再次选择保守治疗,无法从根本上解决她髋关节痛疼的问题,需手术治疗。眼见病情恶化,张女士也同意了手术。
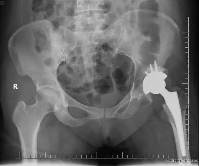
骨一科刘学东主任、黄思聪副主任医师组成手术团队共同为张女士完成了左侧全髋关节置换术、髋关节滑膜切除和髋关节松解术。


髋关节是人体最大的承重关节,对于人的站立、行走、蹲坐等日常活动都非常重要。髋关节置换术被誉为现代关节外科最成功的手术之一,为广大患者提供了最佳的治疗方法。

手术十分顺利!术后,张女士在助行器的帮助下,缓慢行走,原本疼痛的髋关节,也终于不再痛了。 张女士对手术效果十分满意。

“真的太感谢您们了,10多年的疼痛,终于按下暂停键!”4月7日,张女士和丈夫带上锦旗来到骨一科病房,夫妻两脸上露出了灿烂的笑容,他们对佛山市第二人民医院骨一科医护团队高尚医德及高超医术,表示由衷的赞美。
科普延伸
股骨头缺血性坏死病因很多,主要有激素、酒精、髋部外伤等。 上述因素作用之后,会使股骨头中血管所承受的阻力水平异常增加,使骨髓的内压水平升高,导致股骨头处于缺血状态,使骨细胞发生变异性肿胀,股骨头的髓内压力进一步增加,从而形成一种恶性循环。 病变早期主要为细胞坏死,中晚期则表现为细胞坏死与修复反应并存。




股骨头缺血坏死的Ficat分期:
I期 X线平片无异常或见小的异常;
II期 X线平片显示股骨头内的囊变或硬化区域,股骨头轮廓正常;
III期 股骨头外形改变,髋关节间隙正常;
IV期 股骨头塌陷,扁平,关节间隙减小,髋臼退行性变,骨性关节炎。
股骨头缺血坏死的治疗仍是骨科一大难题,对于晚期出现塌陷、重度髋关节炎患者,髋关节置换是缓解疼痛、改善功能的最佳治疗方案。
为此,针对股骨头缺血坏死患者:
01
早确诊早治疗,分期越早,股骨头坏死、水肿范围和程度越低,效果越好。这就要求我们对有易感因素人群(如酗酒、激素服用者、髋部外伤者等)提高警惕,争取早发现。
02
对每个早期股骨头坏死患者,参考患病因素、患者体质、全身和髋部血管情况、下肢现存负重力线情况;分析骨坏死的范围、部位,骨水肿的范围、程度,髋关节积液情况;专科医生要熟悉各种手术方式的优缺点,个性化的选择治疗方案。
03
目前各种保髋治疗技术没有重大突破,多数早期股骨头坏死患者经过保髋手术治疗后骨坏死仍可能继续进展恶化。即使在选择了合适的手术方案的前提下,仍需要长期配合健康教育和辅以适当的非手术治疗。如术后保护性负重,使用二磷酸盐、降脂抗凝、抗炎止痛、抗骨质疏松、血管扩张剂等西药,补肝肾、强筋骨等中成药,配合高压氧、体外冲击波、电刺激、脉冲电磁场等物理治疗。


