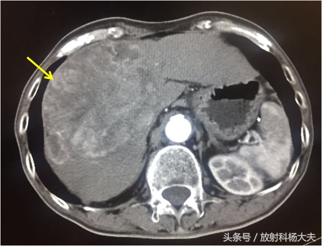
最近医院迎来了一波体检小高峰,体检结果也是几家欢喜几家愁。这是我碰到一位患者,男性,65岁,有乙肝病史。今年体检,查肿瘤标记物时发现AFP(甲胎蛋白)明显升高,做了增强CT,发现肝脏上了一个瘤子,通过影像学分析,可以肯定是肝癌!

黄箭为肝脏肿块,影像学为典型的肝癌
AFP是一个什么指标?为什么AFP升高大夫会建议查肝脏?
这些都要从人类伟大的发现说起,早在1846年,医学界就开始了对肿瘤标记物的研究,医学发展至今,越来越多的肿瘤标记物被发现,有些有特异性,有些没有。AFP就是一种比较早被发现的肿瘤标记物,甲胎蛋白应该在一个胎儿出生后约两周从血液中消失,成年人血清中AFP的含量应该少于20微克每升,而AFP的异常升高,可提示肝脏病变或生殖细胞肿瘤可能大。
比如大约80%的肝癌患者血清AFP会升高,但这不是说,所有肝癌都会有AFP升高,因为有多达40%的小肝癌(HCC)患者,其血清AFP浓度在正常范围内,而大多数肝纤维板层癌(HCC的一种变异型,多数无慢性肝病史,多见于青年人)患者的AFP水平正常。也不是说只要AFP升高就有肝癌。因为在其他胃肠道肿瘤、生殖细胞肿瘤及肝硬化患者亦可出现不同程度的升高。
我国是乙肝大国,乙肝、肝硬化、肝癌被我们称为肝癌三部曲,所以存在高危因素的人更应该注意防范,及早发现,现在医疗技术发达,越是早期发现的肝癌预后越好,甚至可借助微创的方法,比如介入,射频等得到治愈。像这位患者可能已经发现的太晚。

同AFP一样,其他肿瘤标记物的升高也不意味着一定得了癌症,大家不要过于惊慌,不要纠结于检验单上那1、2个单位的异常,遵医嘱并配合检查是最明智的选择。大家查肿瘤标记物时,可能非
医学专业的人并不能看明白检验单上异常的指标,提供给大家一张图,轻松看懂各脏器对应的肿瘤标记物,但也要注意,查体的结果,要请专业的医生解读。

(文:铭鸿 部分图片来自网络)