脑水肿的影像表现。
脑水肿分为血管源性脑水肿、细胞性水肿和间质性脑水肿。三种脑水肿不是独立存在的,即各有特点,又可同时存在,相互演变。
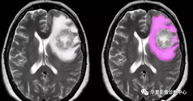
血管源性脑水肿
好发于脑肿瘤,出血,创伤或炎症等。多分布于脑白质区域。
主要机制是:当毛细血管内皮细胞受损,血管屏障发生障碍或新生毛细血管未生成血脑屏障时,血管通透性增加,血液中富含蛋白质的血浆大量渗入细胞外间隙。
MR表现:常呈手指状分布,长T1长T2信号,DWI不呈高信号,ADC常高于正常脑组织。

水肿呈长T2信号,肿瘤周缘水肿局限于白质,灰质未明显累及。
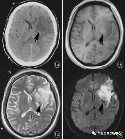
细胞毒性脑水肿
好发于急性期缺血性脑血管病,多累及灰白质。
主要机制是:不同的致病因素,使细胞内外环境改变,脑组织缺氧,细胞代谢障碍,ATP生成减少,钠-钾泵异常,钠在细胞内潴留,细胞内渗透压升高,细胞外间隙的水分子进入细胞内,造成细胞肿胀,细胞外间隙狭窄。
MR表现:脑沟变窄,脑回肿胀,模糊,FLAIR序列皮质高信号。DWI高信号,ADC明显降低。

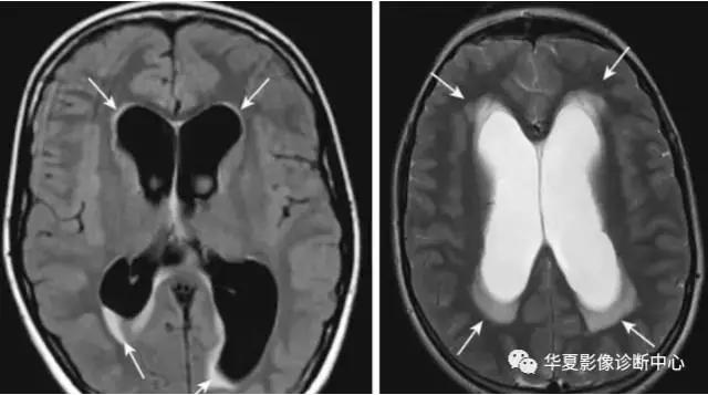
间质性脑水肿
常见于脑积水,多分布侧脑室周围的白质或第三脑室。
主要机制:脑积水造成脑室内压力升高,形成压力梯度,脑脊液透过室管膜进入脑室内的周围的白质。
MR表现:稍长T1,稍高于脑脊液信号,长T2信号,为较高信号。DWI不表现为高信号,ADC常轻度升高。

脑积水患儿,脑室周围条带状边界清楚的低密度灶。

来源丨华夏影像诊断中心
【版权声明】本平台属公益学习平台,转载系出于传递更多学习信息之目的,且已标明作者和出处,如不希望被传播的老师可与我们联系删除