早期肺癌往往没有特别的症状,而当出现明显的咯血、胸闷气急的症状时,病情已经进入进展期,这使得不少人容易对这种恶性肿瘤掉以轻心。
最近,宁波市呼吸系统疾病诊疗中心(宁波市第二医院胸科中心)就收治了一位50出头的肺癌患者,以往身体健康的她因为头痛入院,一查竟发现是肺癌作祟!
剧烈头痛、恶心干呕,她怎么都没想到竟会是肺癌
10天前,张女士突然出现头痛的症状,一开始她没放在心上,没想到之后头痛越来越厉害,越来越频繁。剧烈头痛、恶心干呕,使得张女士不得不到医院就诊。
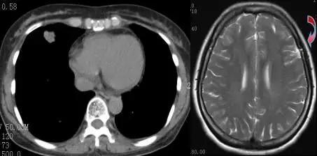
结果显示,张女士颅脑增强核磁共振提示为左侧软脑膜瘤,通过进一步的检查,竟在她的肺部发现了肿瘤病灶!

宁波市第二医院呼吸内科赵伟和主任说,张女士右中肺确定为周围型肺癌,同时伴随两肺、纵隔淋巴结、多发骨转移。导致她剧烈头痛的直接原因是脑瘤,但真正作祟的还是肺部的肿瘤。晚期肺癌、多发转移……家属怎么都想不到情况会如此严重。而张女士的症状仍在加重,剧烈的干呕症状,使得患者直呼难受。
分秒必争!快速明确病理诊断
多发转移,尤其是已发生软脑膜转移,需要尽快明确病理诊断,以便治疗、延长生命,时间上要分秒必争!但张女士的脑瘤导致她频繁呕吐,这给治疗带来了巨大挑战:大幅度的躯体屈曲,膈肌升降,使得有创检查面临巨大风险!
在药物治疗症状缓解有限的情况下,呼吸内科与神经内科专家设计了“先行腰穿引*脑流**脊液,待颅高压症状改善后再行CT引导下肺穿刺活检”的治疗方案。通过脑脊液引流后,张女士的呕吐症状有明显改善。两天后,病理结果显示肺腺癌,脑脊液中也找到腺癌细胞。
早期发现肺癌,一定要重视定期体检
检查发现,张女士肺部肿瘤仅2厘米左右,但已出现了颅脑转移,这在临床上较为少见。虽然小病灶、大转移并不多见,但影像检查中,她肺部的病灶已呈现高密度影。“在影像学上,病灶最初为半透明的磨玻璃样,一般需要半年至一年时间,病情逐渐进展才会呈实质性病灶。”赵伟和主任提到。
据了解,张女士平时并没有定期体检的习惯。如果能够通过体检发现早期病灶,并进行定期随访,肿瘤可能就不会进展到晚期,多发转移从而失去手术根治的机会。“所以临床上医生会建议广大市民,定期进行胸部低剂量CT筛查,特别是40岁以上的高危人群,以便早期发现、及时治疗!”赵伟和主任建议。

关于肺癌,你需要知道这些
预防:肺癌是被“气”出来的
从某种程度上讲,肺癌是被“气”出来的。
烟气
众所周知,吸烟是导致肺癌的“头号杀手”。吸烟不仅可致病,还影响治疗,比如靶向治疗和化疗。
医生在临床上发现,很多诊断出肺癌的患者,都曾经特别劳累、工作压力很大,睡眠不好、熬夜,还有其他不良生活习惯,比如重度抽烟。别太累了,该休息休息,病了再后悔就来不及了。
▲对策:没有别的,戒烟戒熬夜吧。
毒气
室内房屋装修中产生的游离甲醛、厨房油烟、北方地区煤的取暖以及燃气所产生的“毒气”也会导致肺癌。世界卫生组织已正式对外发布,除吸烟外,装修房间时产生的污染被列为“第二大杀手”。
▲对策:装修建议选择绿色环保材料;烹饪少油炸煎炒、多蒸炖;保证厨房通风,减少厨房油烟。

废气
汽车尾气和工业废气含有很多致癌物质,已成为城市的公害。随着PM2.5值的升高,空气中的可吸入肺部的有害粉尘越来越多。
▲对策:不建议在马路、临街等地方锻炼,尽量选择僻静、空气流通好的地方。
闷气
除客观原因,爱生闷气的“癌症性格”也会影响肺癌的发生发展,甚至影响到后续治疗。“癌症性格”的特征是内向、爱生闷气、抑郁、疑心重、躁狂,这种性格会影响人发挥自身机体免疫作用。
▲对策:遇事莫焦躁,要放宽心,不生气,多运动,充分做好情绪疏导。
征兆:刺激性干咳要小心
临床上,有些肺癌患者往往只出现刺激性干咳,没有咯血、胸闷、胸痛、发热等其他肺癌症状,这种咳嗽吃止咳药无效,一定要到医院就诊。
另外,肺癌的临床表现常常并非都有肺部症状,不能仅通过肺部典型症状判断是否是得了肺癌。
比如有些病人突然讲话不清,需要排除可能是肺癌转移到纵膈,或是肺癌转移到脑部侵犯了语言中枢等。
还有些病人腰痛,最后一检查竟然是肺癌转移到了腰椎。

体检:45岁以上要做低剂量CT
《2017中国肿瘤登记年报》的统计显示,中国肺癌发病率、死亡率双率第一。定期体检非常重要,尤其是40岁以上人群,每年做一个低剂量CT,能够帮助发现早期肺癌,而手术治疗早期肺癌预后非常好,大多数不需要化疗。
( 来源:钱江晚报)