根管治疗,对于某些曾经历过的朋友来说,或多或少都有印象,部分人也许还通过各种途径深入了解过,最终结果可能还是一知半解。

根管治疗的原理
根管治疗是针对牙齿、牙髓、根尖病变的一个治疗过程。通过清除根管内的坏死物质,进行适当的消毒,充填根管,以去除根管内容物对根尖周围组织的不良刺激,防止发生根尖周病变或促进根尖周病变愈合的一种治疗方法。
根管治疗的步骤
1、术前拍摄X线片
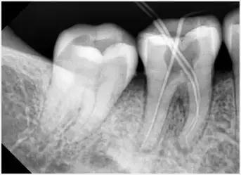
在根管治疗过程中,在根管治疗术前拍X线片,以帮助诊断,了解髓室的位置和根管数目及形态,测量根管工作长度及日后随访和评价疗效提供对比的依据。

2、揭开髓腔
去净腐质和原有充填物、揭净随顶,看到整个髓底解剖结构以便后续治疗顺利进行。

3、确定根管工作长度
应用平行投照X线方法、根管长度测量仪确定根管度,最好插针拍X片。

4、根管预备
根管清理成形的目的是去净根管壁上的感染物,通过根管器械的切削作用去除感染的牙本质并清理根管壁细菌以利于根管充填。

5、根管冲洗、消毒
根管冲洗的目的是清除微生物、冲掉残渣,润滑根管器械和溶解有机残渣。然后,再进行根管消毒,使根管内达到无菌状态。

6、根管充填
封闭整个根管系统、堵塞主根管和侧副根管出口、防止微生物和液体的渗漏。无论是侧方加压法还是垂直加压法,应做到根管充填致密,根管充填后X线片上无根管腔隙,也不能超出根尖孔。

7、根管打桩
因牙体缺损过多,导致牙的强度(承受力量的性能)大幅度下降,不能很好地承受咀嚼力量。打桩的目的是增加牙根及牙冠的强度,增加患牙的稳固。
8、完成牙体修复
X线片显示根管充填完好,行暂时或永久牙体修复,带上牙冠,保护患牙。至此根管治疗才可算完成,同时根管治疗后还需复诊,一般周期可为3个月、半年、1年、2年或更长。

患者疑问:不过,怎样才能算根管治疗成功呢?
牙医介绍说,根管治疗后,一般从患者自觉症状、到医院拍X片,检查是可以确定是否成功的。
自觉症状:无不适,咀嚼功能正常,对治疗结果、过程、患牙功能、外形满意。
X片:牙周膜间隙正常或轻度增厚,原有根尖病变缩小或消失;根尖未发育完全者,术后3—6个月逐渐形成;根管三维充填,根充物距根尖0.5—2.0mm。
临床检查:无叩痛、无窦道或窦道在治疗后1—2周内闭合。