不知道说到兔子,你们会想到什么。
一开始,我满脑子都是:

然后,我痴痴地爱上了这一款兔兔。

我们都是种花兔,一起守护种花家!

燃爆!超热血!我的少男心炸裂!

直到我看到了这个新闻,才发现原来也还是有我不能接受,无法喜欢的兔兔。

有这么一群人,她们用催吐这种极端方式来减肥,自称“兔子”,取自“吐”的谐音。
兔子们极度怕胖,自我评价体系完全建立在身材和体重变化上。

成立了专属的贴吧,已有5万关注,她们会在里面分享各种催吐技巧,交流体重和身材,直播自己暴食之后又催吐的过程。
“吃玉米打底,用温水或者有气泡的饮料送食物”;
“中途喝的水越多越好吐,但会溅得到处都是”;
“面条要咬的很碎,雪糕要再最后吃这样食物才滑得出来;”
甚至她们有她们独特的饮食标准,不是好不好吃,而是好不好吐。

吧友之间互相鼓励,结伴催吐,颇有苦苦钻研又惺惺相惜的意味。

但我并不认为她们就是彼此黑暗里的光,她们更像一起迷失在浓雾中,彻底失去了方向。
其实一直都想找机会和大家讲一讲催吐,这次看到了一位粉丝@世界上最理智的梅粉 的分享,觉得那是必须要讲一讲了,刻不容缓。

这位小姐姐吃食谱,一个半月瘦了12斤,算是瘦的比较快的了。
从一开始的不习惯,到现在已经慢慢适应,也算是平稳过渡了。
但我寻思着,不应该啊,不应该会那么饿呀。

基础代谢减肥法最重要的是吃够自己的代谢,所以能做到吃饱不饿健康的减肥。
那为什么有人会吃的很撑,又有像小姐姐一样,饿到睡不着呢?
每个人的体质不同,饮食习惯各异,如果你曾无肉不欢,辣椒拌饭,即使你开始改变结构健康饮食,少盐少油少糖,但你的胃和脑子依然对以往的饮食习惯有记忆残留,就会因为没摄入多肉多辣,而让你有一种没有吃饱的感觉,正确来说,应该是没有吃尽兴。

所以,需要给自己一点时间去调整,在健康饮食的前提下,尽量把减肥的每一餐做的更符合自己口味一些。
然后小姐姐在分享中又提到了欺骗餐。
捂脸,小姐姐骚操作,一周一次欺骗餐,吃完就催吐,所以觉得自己吃完欺骗餐也不会反弹。

我是该庆幸她只是一周催吐一次,还是应该被气哭,在尝试健康饮食减重的同时,竟然还能手动添加完全无视健康的“催吐buff"?

在此,我要强调!
催吐,本质是和节食*药嗑**一样,本末倒置,近乎自残的“催命”减肥法!
不要催吐!不要催吐!不要催吐!
催吐到底有多可怕?
所谓催吐减肥,是人为造成胃排空,多次诱导干呕后让胃内容被强力排除,以减少能量和营养物质的吸收。
催吐这种习惯,对身体的伤害比大家想象得更大。
(1)改变体质
你以为把吃进去的东西吐出来,不经过消化自然不会发胖,也许你吐完体重真的轻了,但是不知道的是催吐,首先改变的就是你的体质。
暴饮暴食会胖,但你一狠起来把吃的全部吐出来,根本就是从一个极端走到另一个极端。
经常催吐会使得身体无法获取所需的营养物质,比如蛋白质和维生素。当身体缺乏蛋白质时,肌肉含量会逐渐下降,还会影响基础代谢,让人更容易发胖。而缺乏维生素等营养物质会使体内的能量代谢无法正常进行,脂肪更容易囤积在体内。
梦想着易瘦体质的你,吐多几次,可能就前功尽弃了。

(2)很!伤!胃!
大吃大喝之后再催吐,对胃的伤害非常大。
呕吐时,食道会承受很大的压力,胃部也有可能造成痉挛。严重时,催吐还会造成食道灼伤导致出血。十二指肠内的食物逆流,消化液有很大的几率进入胰管和胆管。严重会造成胰管堵塞,导致重症胰腺炎。重症胰腺炎基本无力回天,医疗费用甚至追平癌症,治愈率却比很多癌症还要低。
一吐就要把自己吐进医院还可能出不来的节奏。
胃到底做错了什么...

(3)心律不齐
催吐严重影响人体中的含水量和电解质,而体内电解质失衡,容易引发低血钾,从而导致心律不齐,有猝死的风险。
不是开玩笑的,真的很严肃。

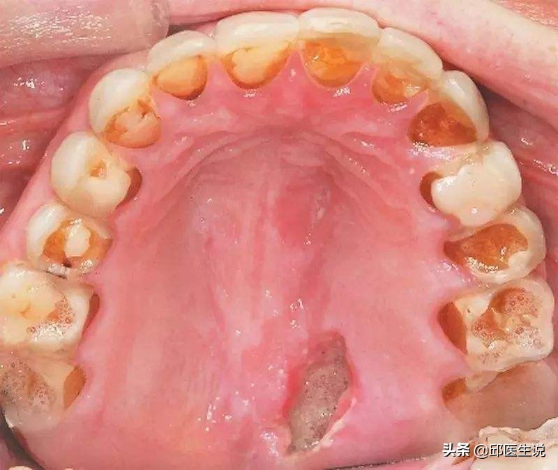
(4)破喉烂牙
胃酸的腐蚀性较强,催吐时,食物和胃酸沿着食道和口腔流出,反复腐蚀经过之处。
就连牙齿,作为人体最坚固的部位之一,都不能幸免。
若长期催吐,牙齿被胃酸反复腐蚀,就会造成不可修复的严重牙齿损伤,而且就算催吐后刷牙也无济于事。另外胃酸和扣喉都会伤害到喉咙,经常催吐的人常常会觉得喉咙疼痛无力,声音嘶哑,若是被指甲刮损出现创面,极易感染。

我也不想放的
(5)脸会大大大
催吐会导致唾液腺肿胀,让脸更大。
催吐会直接刺激到口腔中的唾液腺,导致它逐渐胀大,增加唾液分泌的量。体现在外貌上,就是脸变得愈发肿胀。
所以催吐,也不能保证,你会看起来更瘦。

(6)心理问题
长期大吃之后催吐,会形成一种习惯,甚至变成条件反射。
只要一吃饱就有呕吐的冲动,或抵触进食,或是持续暴食。
长此以往容易引起厌食症或者抑郁症,体重不正常地上升或下降,内分泌紊乱,各个器官的正常运转都受到影响。严重的厌食症或抑郁症将会危及生命。

我就问你,看完你还敢乱吐吗?
催吐并不是减肥的外挂,因为减肥,不走捷径,也不走极端。
生而为人,首先应当珍惜自己。
也永远别忘了,减肥的初心,是为了健康。