
脑和脊髓蛛网膜下腔、脑室以外的部位出现脑脊液均是不正常的。CSF漏根据位置的不同,可分为脑脊液鼻漏(rhinorrhea)、脑脊液耳漏(otorrhea)。根据病因的不同,可分为先天性和获得性脑脊液漏,获得性脑脊液漏包括创伤和医源性CSF漏。外伤性脑脊液漏通常继发于蝶窦(sphenoid sinus)、筛板(cribriform plate)或筛骨顶部(ethmoid roof)的骨折。医源性脑脊液漏见于颅底手术或内镜经鼻蝶术后。
本文主要就颅底正常影像解剖、颅底骨折和脑脊液漏的影像诊断做如下小结。

1. 颅底骨性解剖和正常CT影像解剖
1.1 颅底骨性解剖

图1:颅底骨性解剖。A为上面观;B为下面观

图2:颅骨侧面观(上)、前面观(中)和后面观(下)
1.2颅底CT骨窗影像解剖





图3:颅底CT骨性横断面影像解剖





图4:颅底CT骨性冠状面影像解剖



图5:颅底CT骨性矢状面影像解剖

2. 颅底骨折和脑脊液漏影像诊断
文献报道颅骨骨折发生于3.5%至24%的头部损伤患者。在面部创伤患者中,颅底创伤的总发生率为25%。在上颈椎创伤的患者中,23%也会有颅底骨折。 因此,脊柱或颌面部创伤往往预示着颅底骨折的可能性更高。 CT是诊断颅骨骨折的最主要手段,对颅底骨折的诊断,往往需要高分辨率颅脑横断位、冠状位和矢状位扫描图像。MRI对颅底骨折的诊断作用有限,但T2WI有助于诊断脑脊液漏,另外MRI有助于协诊弥漫性轴索损伤、脑干损伤、脊髓损伤和小的皮层挫伤。详见图6-13。

图6:筛骨骨折 。A,冠状位CT示右侧筛窦顶板(白色箭头)骨折;B,冠状位CT示双侧筛窦骨折(白色箭头)与双侧内侧眶壁骨折(白色短箭头),筛板无异常(黑色箭头);C,高分辨率T2WI示CSF漏(黑色箭头),表现为骨折线两侧的脑脊液T2高信号

图7:蝶窦骨折 。A,横断位CT示右侧蝶窦后壁骨折,延伸至邻近颈动脉管前壁(箭头),额外的颌面部损伤存在;B,同一层面的CT血管造影示右颈内动脉轻度狭窄(箭头)

图8:前颅底骨折伴眼眶受累。 A,CT示额窦内、外侧骨折(箭头),并有颅内积气;B,冠状位示额窦骨折延伸到右眶顶(箭头),合并有上颌窦骨折、左眶积气

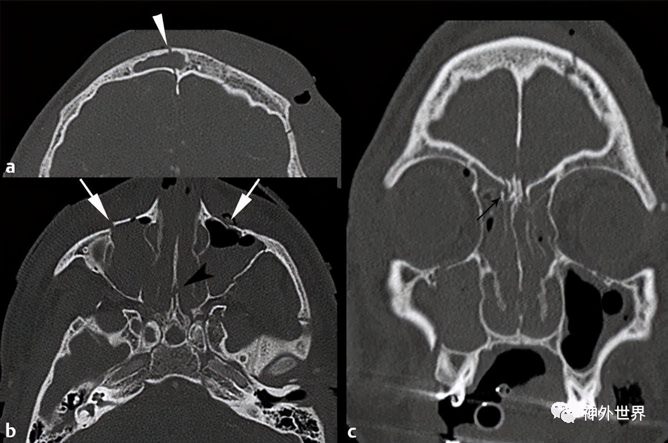
图9:复杂的前颅底骨折。 A,CT示额骨骨折,累及额窦内外面;B,累及双侧眶部(长箭头)和鼻中隔(黑箭头);C,冠状位CT示右侧筛板骨折线(黑色箭头)

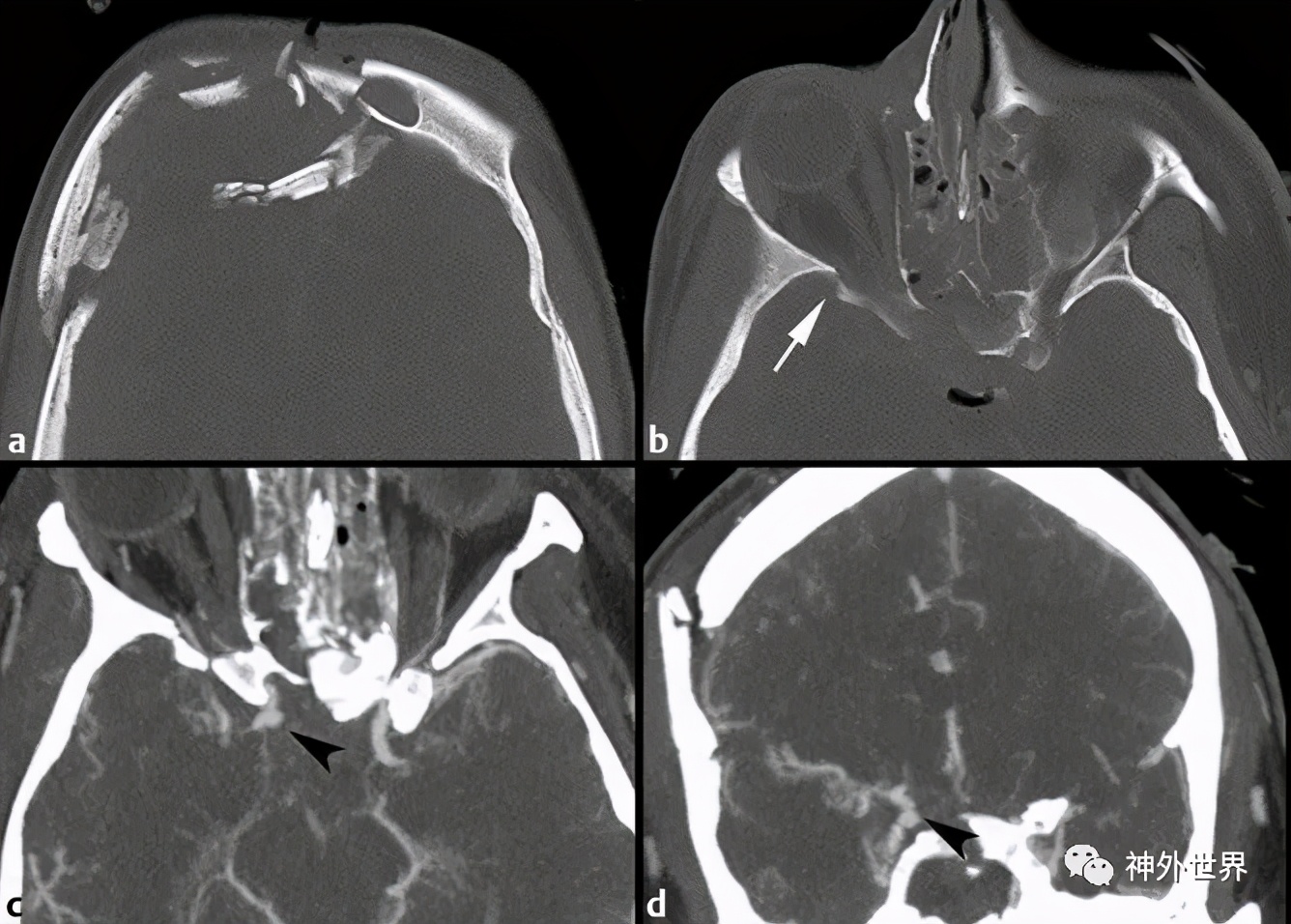
图10:前颅底骨折合并血管损伤。A, CT示右侧额骨严重粉碎性骨折;B,骨折延伸到蝶骨大翼(箭头),累及筛窦和蝶窦壁;C,CT血管造影(C)和冠状动脉重建(D)示创伤性右颈内动脉假性动脉瘤(黑箭头)

图11:斜坡骨折 。CT示斜坡非移位性斜行骨折(箭头)。合并右翼突 内测 板、右颧弓和右上颌窦壁骨折

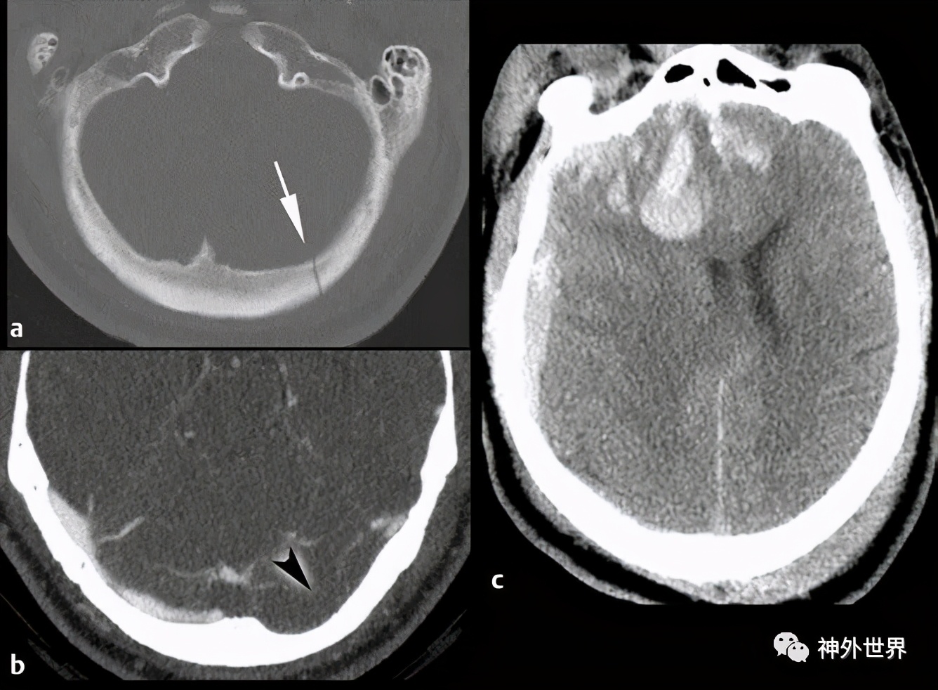
图12:枕骨骨折合并额颞叶对冲伤 。A,CT示左枕骨无移位骨折(箭头);B,CT增强示左侧横窦血栓形成(箭头);C,枕骨骨折对侧额叶挫裂伤并血肿形成和急性右额颞部硬膜下出血

图13:复杂颅骨骨折合并CSF漏2例。 A,冠状位CT重建示严重的颅面创伤,包括右顶骨、右眶顶、筛骨、上颌窦和上颌骨;B-D,轴位示颅底骨折,累及右侧卵圆孔(B)、双侧视神经管(C,箭头), 右侧眼球破裂(D); 患者鼻漏 ,E示颅内积气;F,冠状位T2WI证实脑脊液漏,表现为脑脊液强度信号通过前颅底缺损并延伸(*); 在第二例持续性脑脊液漏患者中 ,G,冠状位CT示右前颅窝表现出持续性缺损(箭头);H示CT造影剂泄漏,证实脑脊液漏
以上便是“颅底骨性解剖和常见骨折、脑脊液漏影像诊断”相关内容。笔记内容存在错误的,请批评指正。感谢阅读!(liuzh_neurosurgery@163.com)
参考文献:
[1] 王忠诚. 王忠诚神经外科学. 武汉: 湖北科学技术出版社, 2013:665-696.
[2] Mark S. Greenberg. Handbook of Neurosurgery (Eighth Edition). New York: Thieme, 2016.
[3]. Osborn, Anne G. Osborn's Brain: Imaging, Pathology, and Anatomy (Second edition). Lippincott Williams & Wilkins, 2018.
[4]. Zuckerman JD, DelGaudio JM. Utility of preoperative high-resolution CT and intraoperative image guidance in identification of cerebrospinal fluid leaks for endoscopic repair. Am J Rhinol 2008 Mar-Apr;222(2).
[5]. Yoshimi Anzai. Imaging of Traumatic Brain Injury. Thieme. 2014.