
这是 达医晓护的第2138 篇文章

众所周知,艾滋病是一种死亡率很高的传染性疾病,是机体感染人类免疫缺陷病毒(HIV)的自然结局。HIV具有破坏机体免疫系统的能力,可以导致机体继发很多种类的感染。因为目前尚无有效的治疗药物和治疗方法,感染者终有一日会“毒发身亡”。
艾滋病可以累及很多系统和器官,而口腔很可能成为“重灾区”之一。甚至有些患者,正是因口腔疾病就诊而被发现的。
那么,究竟有些哪些口腔疾病可以帮助我们识别可疑的艾滋病患者?这些口腔疾病又会有怎样的特别之处?
与“众”不同的口腔疾病
2种“斑”
与艾滋病密切相关的2种“斑”,即毛状白斑及牙龈线形红斑。
毛状白斑
主要发生在双侧舌缘,也可能累及舌背和舌腹。虽然名为斑,却并不平整,表面有褶皱。褶皱走向与舌侧缘垂直,过度增生时呈茸毛状。毛状白斑与艾滋病高度相关,常见于男性患者。这种斑本质上是病毒感染性疾病,病变部位常可以检测到疱疹病毒等。与口腔白斑病不同,毛状白斑的病变部位很少看到上皮异常增生。

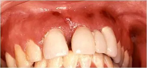
牙龈线形红斑
特征性的表现是沿着牙龈边缘分布的界限清晰的火红色改变,看起来很像 “纹”出来的“牙龈线”,实为牙龈充血。与一般牙龈炎症导致的牙龈充血不同,它的病因并非牙菌斑,患者通常口腔卫生状况良好,很少甚至没有牙菌斑。

2种“瘤”
与艾滋病密切相关的2种“瘤”,则分别为卡波济肉瘤及非霍奇金淋巴瘤。
卡波济肉瘤
是一种罕见的血管恶性肿瘤,是艾滋病患者最常见的口腔肿瘤,常见于男性患者。好发于腭部和牙龈,呈单个或多个褐色、红色、蓝色或紫色的斑块或结节。

非霍奇金淋巴瘤
以无痛的颈、锁骨上淋巴结肿大为首要病情,常见部位为软腭、牙龈和舌根,表现为固定而有弹性的红色或紫色肿块。该肿瘤是确诊艾滋病的指征之一。
“不寻常”的寻常口腔疾病
有些口腔疾病,并不是艾滋病患者特有的表现。但与非艾滋病患者相比,艾滋病患者相同疾病的病情更为严重。
口腔白色念珠菌病
该病属于真菌感染性疾病,可作为艾滋病患者的早期口腔表现出现。虽然非艾滋病患者也可能患该病,但在艾滋病患者中该病具有不寻常的特征:
①无诱因,即患者无放疗史、化疗史、长期用激素或抗生素史以及其他免疫功能低下的病史;
②较严重,病情严重或易反复。有红斑型或假膜型2种。
③发病部位,即发生在附着龈(即和骨头黏连的牙龈)和口腔后部(咽、软腭和悬雍垂)的假膜型口腔白色念珠菌病和发生在颊部的红斑型口腔白色念珠菌病。
上述3个特征若具备其一,就应该引起高度重视了。
口腔单纯疱疹
口腔单纯疱疹属于常见口腔黏膜病,具有复发性和自限性。非艾滋病患者愈合时间为1~2周;艾滋病患者病程通常超过一个月。
艾滋病相关牙周炎
与通常的由牙菌斑引起的慢性牙周炎不同,这种牙周炎牙周袋不深,但牙周软硬组织破坏较为迅速,牙齿更易松动和脱落。
复发性阿弗他口疮
非艾滋病患者的复发性口疮以轻型为主,艾滋病患者的口疮则以重型和疱疹型为主。
不论是“与众不同”的口腔疾病,还是“不寻常”的寻常口腔疾病,都与HIV感染密切相关。这些“艾”情,是诊断艾滋病的重要指征。
牙医,尤其是口腔黏膜病医生,能够慧眼识 “艾”情,并非只是传说。不过话又说回来,等到牙医发现的时候,为时已晚。面对艾滋病,预防永远是第一位的!
作者:上海市卫生和健康发展研究中心
富饶
“小鲜肉”受欢迎,连牙齿里都有?
蛀牙治疗有原则,您误解过吗?

部分图片摘自网络,如有侵权请告知,予以删除。
所有人名和地名均为化名,如有雷同,纯属巧合。