
近日,枣庄市立医院脊柱外科为一例齿状突骨折合并严重胸腰椎后凸畸形患者完成齿状突骨折后路切开复位C1、2椎弓根钉棒系统固定手术,开创了我市上颈椎损伤手术的先例。
上颈(寰枢)椎区域,即通常所说的后脑勺,医学称延髓脑干区,是人体呼吸、心血管节律中枢,故被称为人体生命中枢,曾长时间被业内公认为 “手术禁区”或“生命禁区”。上颈椎不稳,是医学上典型的“高危颈椎”之一。这种伤患,在一次急刹车或一次跌倒过程中,即可造成患区的完全、严重脱位,从而损伤颈髓,导致患者轻则高危截瘫,重则呼吸心跳骤停、患者即刻死亡的严重后果。因此,它是一类严重威胁患者生命安全和躯体功能的 “杀手型”疾患。
上颈(寰枢)椎手术,因在极其特殊区域实施手术操作,难度高、风险巨大,与脊柱侧(后)凸矫形术一样,为骨科学界难度最高手术,被并称为“脊柱骨科学上最璀璨的两颗明珠”,是名符其实的“刀尖上舞蹈”。此类手术,各地均仅限少数省级医院或医学院附院的极少数人员开展。
病例
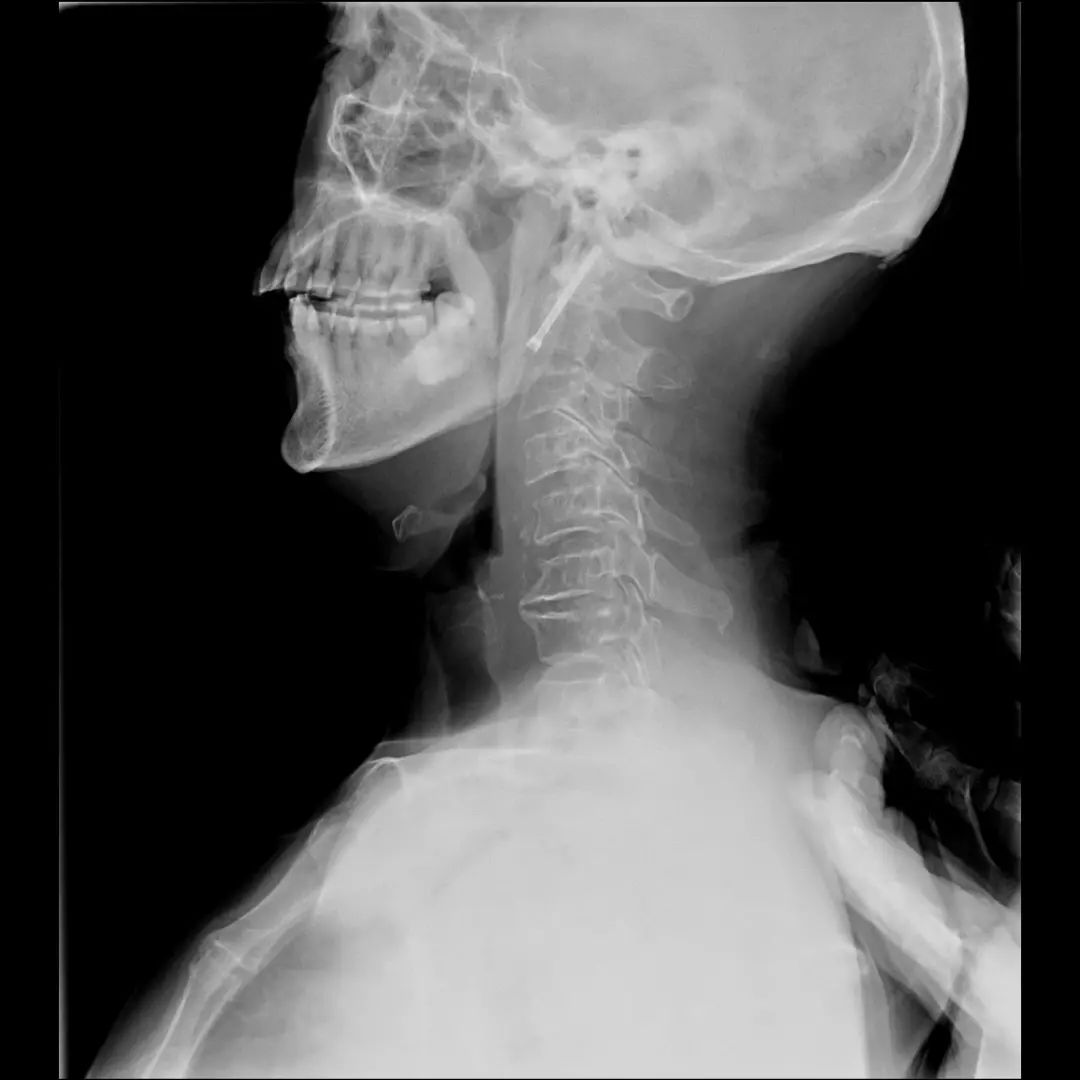
患者,男性,75岁,因外伤致颈部疼痛伴活动受限7天入院。患者入院前在当地医院确诊为:枢椎齿状突骨折Anderson-D’Alonzo分型Ⅱ型。

对于本患者来说,齿状突骨折后导致寰枢椎不稳,极易引起延髓或椎动脉损伤,严重者当场死亡。但患者同时合并严重胸腰椎后凸畸形,颈部后伸受限,不具备前路手术条件,这就给其治疗更增加了额外的困难。而由于手术部位延髓及椎动脉等血管神经密布,手术难度高、风险极大,稍有不慎,患者就会有生命危险。而患者家属在了解到手术的危险性后,曾自行到上级医院咨询专家,上级医院专家考虑围手术期死亡的风险,对于本例患者亦不愿提供手术治疗的机会。
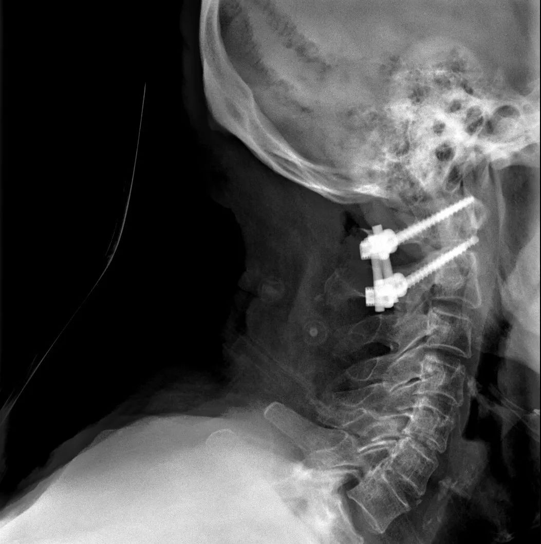
患者经充分咨询了解,选择了枣庄市立医院脊柱外科主任王存平为其治疗。面对患者和家属期盼的目光,王存平明白这是患者最后的希望,故而没有胆怯和退缩,大胆提出了齿状突骨折后路切开复位C1、2椎弓根钉棒系统固定的手术方案。由于患者年龄较大,存在脊柱严重后凸畸形,俯卧位极度困难,全麻插管难度大,麻醉风险极大。麻醉科李传东和宓云飞医师克服重重困难,成功完成麻醉。在他们得力的麻醉和监护下,王存平仔细分离、细心操作,每一步都确保动作稳稳完成,最终成功实施了手术。

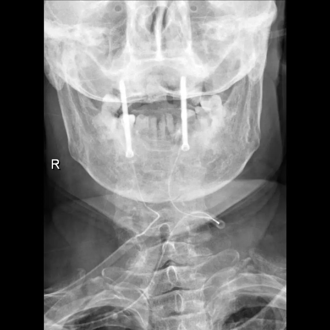
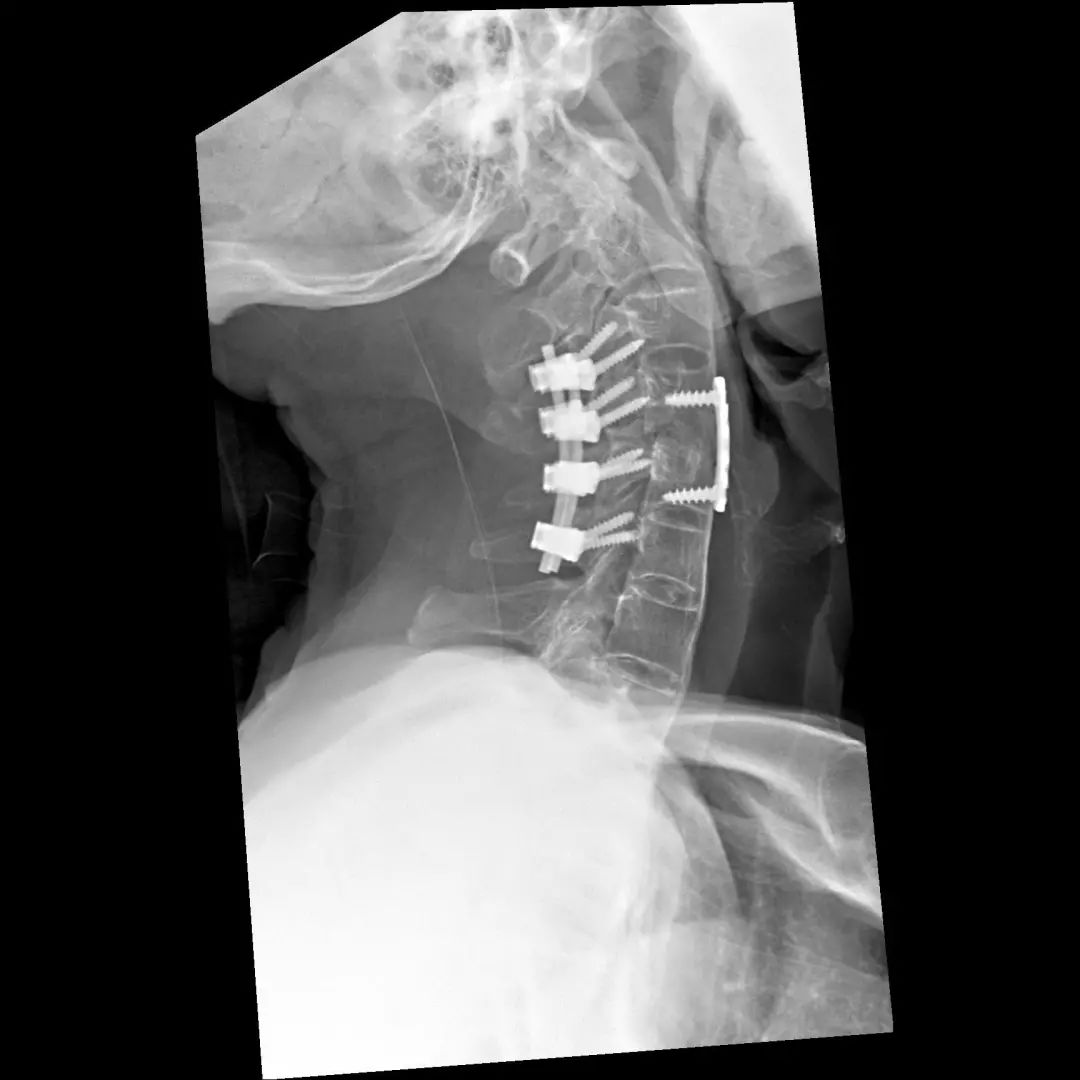
经过全程监护和系统治疗,患者术后恢复良好,骨折解剖复位,复查X线及CT显示固定位置佳,术后3天下地行走,术后4天即出院回家休养。

该手术为我市首例完成C1、2椎弓根钉棒系统固定手术,填补了枣庄在上颈椎外伤手术史上的空白,展现了枣庄市立医院脊柱外科不怕困难、勇于突破、积极向上的精神面貌,也是王存平主任技术高超、胆大心细的具体体现。
“宝剑锋从磨砺出,梅花香自苦寒来。”目前,枣庄市立医院脊柱外科在上颈椎损伤治疗方面取得长足发展,对于枢椎齿状突骨折,已能独立开展前路空心螺钉固定、后路Margerl手术、后路椎弓根钉棒固定术,在上颈椎外伤治疗方面处于省内领先。

枢椎齿状突骨折前路空心螺钉固定术

枢椎齿状突骨折后路Margerl手术
枕颈融合术

颈椎骨折脱位前后联合减压固定术
“技术可教,刚毅难学。”枣庄市立医院凭着担当作为、坚韧不拔的精神,不断攻坚克难,突破技术瓶颈,变不可能为可能,完成了一例又一例高难度手术,使枣庄市立医院骨科享誉鲁南,为广大人民生命健康做出了积极贡献。

图文丨脊柱外科
编辑丨张秀娟
审核丨王 涛
妙手仁心的医者模样,好看!