[导语]卵巢囊肿是女性生殖器常见肿瘤,在早期并无明显的临床表现,妇科B超进行卵巢囊肿检查则可帮助观察卵巢囊肿大小、形态、性质等。
正常卵巢
卵巢大多位于子宫体两侧外上方,但位置多变。成年妇女卵巢大小为4cm×3cm×1cm,并可按简化的椭球体公式,即(长×宽×高)/2,正常为6cm3,2岁以前小于1cm3,12岁以前为2cm3。
月经周期中卵巢的大小可有变化,主要由于卵泡的发育、排卵、黄体形成所致。
卵巢外形呈扁椭圆形,边界稍有凹凸,中央部为髓质,回声略高。周围区为皮质,回声略低,其内可显示大小不等、边清壁薄的圆形液性暗区为卵泡回声(见图1)。

图1 正常卵巢(箭头所指)
卵巢囊肿
1.卵泡囊肿
丘脑-垂体-卵巢轴功能紊乱或卵巢白膜增厚,致成熟的卵泡不能破裂,卵泡液积聚,卵泡扩张而形成囊肿(图2)。
B超图像特征:
(1)多呈圆形;
(2)大小多为2-3cm;
(3)囊壁薄而光滑;
(4)囊液清亮;
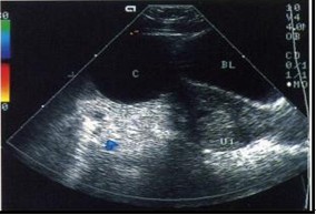
(5)囊肿多位于子宫一侧或侧后方,多为单侧

图2 子宫左侧一圆形囊肿,壁薄光滑,囊液清亮
2.黄体囊肿
黄体囊肿多见于子宫内膜分泌期或妊娠早期,多可自行吸收,个别黄体囊肿可破裂出血而出现急腹症(图3,图4)。
B超图像特征:
(1)多呈圆形;
(2)大小多为2-3cm或更大;
(3)壁光滑;
(4)囊液清亮;
(5)位于子宫一侧或侧后方。

图3黄体囊肿
B超见子宫饱满,宫腔内含胎物(不全流产),子宫上方见一圆形囊肿,壁薄光滑,囊液清亮,张力较大。

图4妊娠合并黄体囊肿
子宫增大,内见胎囊,子宫右侧见圆形囊肿,壁薄,囊液清亮
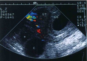
3.黄素囊肿
体内绒毛膜促性腺激素水平异常增高,刺激卵巢皮质的闭锁卵泡增大,导致卵泡内颗粒细胞和卵泡膜细胞发生黄素化,分泌多量液体形成囊肿即为黄素囊肿(图5)。
B超图像特征:
(1)囊肿较大;
(2)呈不规则形、叶状;
(3)内部可有分隔,呈车轮状;
(4)壁薄而光滑;
(5)隔壁上可显示血流信号。

图5黄素囊肿,类圆形,壁薄,内含车轮状分隔,隔上有血流,囊液清
4.多囊卵巢
由于神经-体液调节功能紊乱,下丘脑对垂体调节产生障碍,导致促性腺激素分泌旺盛,使促卵泡激素与促黄体生成素分泌比例失调,排卵及黄体生成均有不同程度的障碍,且使雌激素及雄激素分泌过多,多囊卵巢临床表现常伴有月经异常、不孕、多毛及肥胖等(图6)。
B超图像特征:
(1)双侧卵巢均匀增大,形态规整;
(2)壁厚光滑,回声增强;
(3)显示卵巢内有10多个甚至数十个直径约0.2-0.6cm的小囊泡,边界清晰;
(4)子宫较小;
(5)卵巢动脉血流阻力升高。

图6 多囊卵巢,子宫较小,两侧卵巢增大,包膜厚,回声强,薄膜内排列多个卵泡。
子宫切除对卵巢功能的影响

1、卵巢血供
卵巢的血管里面绝大多数是由子宫动脉卵巢支的血液供应,占50%-70%。而且有10%人群卵巢血供完全靠子宫动脉供应。子宫切除可能有很大一部分病人卵巢的血供会受到影响,因此卵巢将来的内分泌功能,也就是卵巢分泌的雌孕激素会受到影响,会提早进入绝经状态。
2、内分泌功能破坏
子宫是性激素作用的靶器官,月经的来潮,子宫内膜本身的内分泌功能和全身的人体是一个有机结合,子宫切除后里面的平衡会受到破坏,患者的分泌功能受到破坏。
3、术后粘连
子宫切除术后可能会引起术后粘连,这种粘连也会影响卵巢的分泌功能。

子宫切除后绝经年龄提前的数据
子宫切除术后,由于导致卵巢功能提早衰退,导致女性性激素水平下降,会女性近期、远期的影响严重影响了生活质量、生理健康、家庭和谐。
也许很多医生会说,进行子宫切除术保留双侧卵巢对内分泌功能是没有影响的。但通过数据来看是显而易见的。子宫切除本身、手术创伤、以及手术以后导致女性提前绝经的三重打击会严重影响此阶段女性的身心健康,因此对于患有良性的子宫肌瘤、腺肌病良性子宫疾病,有条件保留子宫的,建议采用伤害更小的超声消融进行治疗。