要问谁没有经历过牙疼,估计很少人吧?
通常每个人大大小小都接受过“牙疼”的折磨! 但是有一种牙疼,连止痛药都不管用,吃饭都困难,夜不能寐:就是牙髓炎!

经历过的人都懂,牙髓炎的痛是很难受的,尤其是夜间,疼起来觉都不用睡了。那究竟这折磨人的牙髓炎是怎么导致的 ?
还不是因为牙齿有蛀牙了、小牙洞了,但是没有在意,久而久之拖成了牙髓炎了!
所谓小洞不补,大洞吃苦
蛀牙是我们口腔健康的天敌,很多人从幼儿时期就开始蛀牙。若不及时处理会,会把我们的牙齿整个龋坏,从浅入深的龋坏至我们的牙髓,形成深深的牙洞!这时候牙疼的感觉就会很明显。
牙齿分为三层,最外层是坚硬的牙釉质,不会感觉到疼痛;中间的牙本质可以感受到疼痛;最里层也是最敏感的牙神经,一受刺激便会疼痛难忍。

蛀牙是一个慢性的发展过程,根据不同程度的龋坏,应该怎么去治疗?
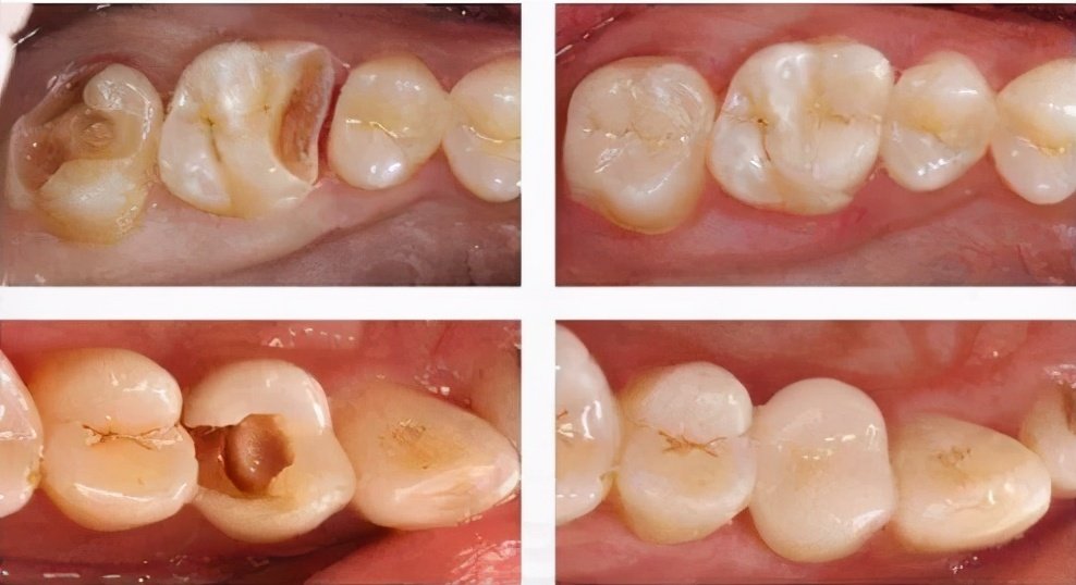
1、补牙
症状:当蛀牙初期,龋坏了一点,面积不大且没有伤及牙神经,没有自发疼痛的感觉。
应对方法:简单的补牙

2、根管治疗+补牙
症状:当龋坏到一定的程度,牙冠缺损面积较大;并有自发痛,刺激痛;说明已经龋坏至牙神经,牙神经出现感染性发炎。
应对方法:这种情况单靠简单的补牙已经无法挽回,需要进行根管治疗+补牙。

3、根管治疗+打桩+牙冠或拔除+种植修复
症状:龋坏很深,牙冠缺损占一半以上或者全部缺损,这时候要拍牙片检查牙根情况才能判断是进行治疗还是直接拔除。
应对方法:如果是有保留价值,需根管治疗+打桩+牙冠;如果检查牙根已经无保留价值,需要把患牙拔掉,然后进行种植牙修复。

所以为什么很多人都觉得看牙贵,那是因为从小问题是没有及时地去治疗,拖成大问题!治疗更复杂了,那么价格自然也更贵。
发现蛀牙后越早治疗,费用就会越低;如果等牙齿发展到需要进行根管治疗,甚至拔除做种植牙的阶段,那付出的费用肯定是比初期治疗的费用要高数十倍不止。

牙好,胃口好,身体才健康!所以,有牙齿问题的朋友,一定要重视。