养犬困扰多,还看磁石说~
前言
“各位养犬的小伙伴,你会天天刷牙吗?”
“你埋汰谁呢,谁不刷牙啊,都说洗脸刷牙、洗脸刷牙,洗了脸那肯定会刷牙啊!你这什么人啊不好好写文章一天天瞎问。”
“这位观众朋友您先别着急,那么我再问您们,你们会天天给自己的狗狗刷牙么?或者说,你们给狗狗刷过牙么?”

“上次你说狗狗要洗耳朵我懂,这次咋的又要刷牙了?狗咋刷牙啊,你不怕它咬你嘛?”
没错,其实狗狗也需要刷牙,因为狗狗的饮食比较复杂,所以狗狗的口腔环境比较混乱所以需要刷牙来清洁口腔,否则就会有口臭的困扰甚至引起疾病呢!

“这么一说确实是,我家的狗四岁多了嘴巴特别臭,我都一直怀疑是不是它在外面吃了粑粑呢。”
口臭是不少养犬人都会遇到的问题, 那么究竟是什么原因引起的口臭呢?
那么今天磁石联盟就带大家一起来探讨,狗狗为什么会口臭?该怎么解决。
口腔疾病的因素
其实很多养犬人对于狗狗的日常保养已经做得很好了,但是有一个地方往往是人们所忽略的,那就是口腔护理。
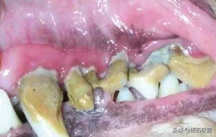
其实就算是我们人类来说,都对于口腔的护理并不是那么的在乎,更别说狗狗了;狗狗的口腔环境比较脆弱,经常会有口腔溃疡、口腔牙龈炎或者牙结石,这些都是引发狗狗口臭的因素。

一般狗狗在3~4岁时是牙结石的多发年龄,这个时候的狗狗由于长期饮食却未注意清洁,在狗狗的牙齿上结了厚厚一层的黄褐色角质层并散发着臭味;此后2~3年内牙结石会逐渐由黄色转化为黑褐色病逐渐腐蚀牙齿导致牙根溃烂、脱落。

如何治疗、预防狗狗牙结石:
- 在狗狗步入换牙期即可给狗狗喂食磨牙棒帮助狗狗磨牙,在磨牙的同时可以磨去牙齿上的污垢、食物残渣,有效预防牙结石。
- 如果您家的狗狗已经患上牙结石的话,那么可以选择到宠物医院进行洗牙,但是洗牙需要经过麻醉且效果仅能维持半年到一年左右,所以洗牙后还需要注意平时的保养。
- 可以在狗狗的水盆里滴加宠物用漱口水,饮用后可以起到一个净化口气、口腔环境的作用,对于口臭也有一定的改善作用。
饮食不当的因素
一个爱吃大蒜的人和一个经常吃薄荷叶的人谁的口气更清新呢?
相信大家一定会认为爱吃大蒜的人的口气会比较重,其实狗狗也是如此;狗狗的口腔环境受到饮食的影响,如果一只只吃肉、饮水少的狗狗,那么它的口气一定是比较臭的。

因为狗狗是杂食性动物,如果单一的喂食肉类的话很容易上火造成口腔溃疡或者牙龈炎等口腔疾病;同时长期吃肉类也容易造成牙结石的后果。
所以作为养犬人的我们,应该给狗狗喂食比较清淡的食物如优质狗粮,肉菜配比平衡的自制熟食等等;同时需要多喝水、定时给狗狗清理口腔等等。
肠胃系统的因素
“臭胃不臭口”,其实很多人口臭的原因并不是因为口腔的原因,而是因为肠胃不好而造成胃气上涌才引起的口臭。
狗狗也是如此,由于狗狗的杂食性以及饮食质量的不同,肠胃环境也不尽相同且大多数的狗狗的肠胃菌群弱、肠道蠕动慢;导致经常会有一些已经给狗狗刷牙的主人还能够闻到狗狗的口臭,这其实就是肠胃的因素。

这种时候养犬人就该考虑一下是否需要改善狗狗的肠道环境,例如喂食一些优质、易消化的狗粮、在食物中添加益生菌、酸奶等等改善狗狗肠道环境,增强肠道蠕动能力。
维生素B的缺乏
维生素B的缺乏引起狗狗口臭的一个重要原因,不少养犬人在喂养狗狗的时候并不会注意饮食搭配,光觉得喂肉类等蛋白质高的食物对狗狗好却忽视了水果蔬菜的必要性,这也是造成狗狗内分泌不协调引起口臭的元凶。

所以为了狗狗的身体健康,同时也是为了改善狗狗口臭的毛病,我们可以在狗狗的饮食之中添加适当的蔬菜亦或是直接在狗粮中添加维生素B补剂。
只有注重营养平衡,才能让狗狗由内而外的健康,口臭这件事自然也会迎刃而解。