笔记要点
*掌击硬物可致钩骨骨折。
*如果无名指或小指有压痛要求斜位、前后位和侧位手部X光片。
*无名指和小指腕掌关节半脱位或脱位可能需要手术治疗,切开复位内固定,以减少长期的手腕不稳定或手部握力下降。
======
小伙喝断片了,右手腕疼痛肿胀……这个在当年外科学学习时没学过,记个笔记补充一下。
病例介绍
患者,男,25岁,因右手疼痛肿胀来诊。来诊前夜,有饭局,因不胜酒力,已无法回忆起当夜受伤的情形。
既往史无特殊。
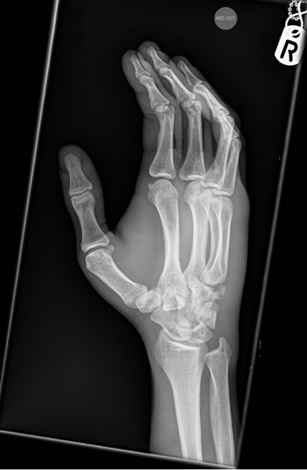
查体:肿胀从手腕直至长指关节,尺侧为重,并伴有压痛。患者可握拳,可伸指并伸直手腕。未见旋转畸形或神经血管损伤。
X线检查:正侧位均未发现骨折。因为患者第五掌骨底部与腕掌关节有压痛,故加做侧位片,如下图所示。

问题
诊断是什么?
是否需要进一步的检查?做什么检查?
如何治疗?
====
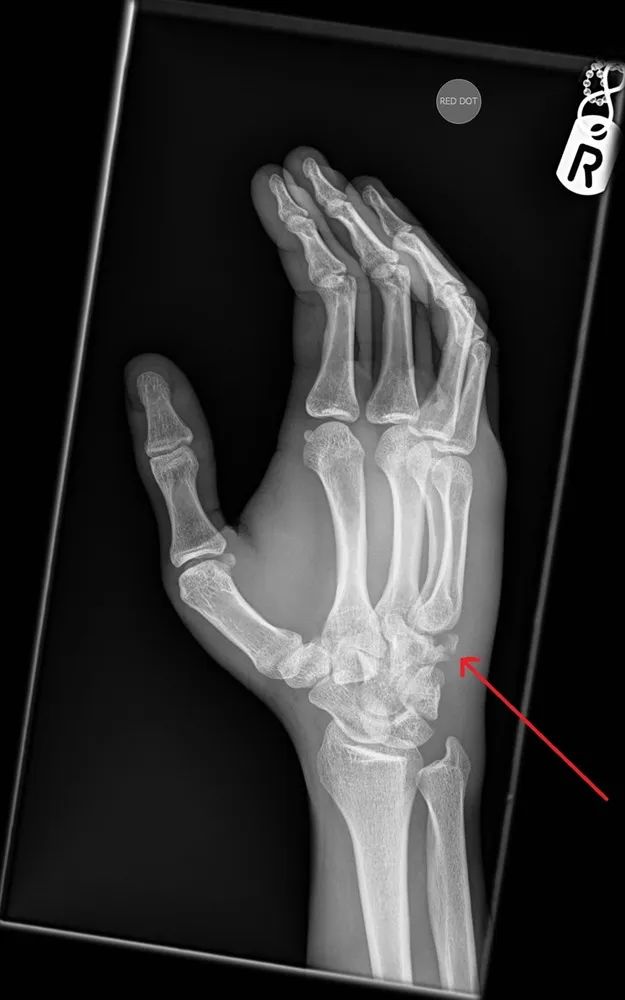
把这幅示意图发上来,大家进一步看一看。

右手斜位片,红色箭头提示钩骨骨折。
据报道,腕骨骨折中2%为钩骨骨折。钩骨骨折中,钩骨钩突骨折比钩骨体骨折更为常见。钩骨骨突是一个骨性突出物,有直接受压骨折的危险。钩骨骨折多见于掌击硬物(如手掌大力拍墙)所致。
如果x线拍片显示钩骨骨折,要考虑CT检查,以评估无名指和小指腕掌关节的移位或关节面的不协调。如果不治疗这些关节半脱位或脱位,可能导致手部关节的不稳定和握力的下降。
如果没有掌骨半脱位或脱位,石膏固定是通常的治疗方法,疗效良好。
如果CT有掌骨半脱位或脱位的迹象,考虑切开复位和内固定的外科治疗。
该患者的治疗与结局
CT扫描显示没有无名指或小指掌骨相关的半脱位或脱位,故采取保守治疗,手部石膏固定,取得了满意的效果。