30岁的李某(化名),做过一次剖宫产,4年后再次妊娠,早孕期在某医院做了腹部B超:

医生告诉她可疑瘢痕妊娠,告知继续妊娠下去非常危险。她又去了另一家医院做了阴道B超,结果提示宫内早孕,只是胎囊位置偏低:

医生建议她继续观察,最后顺利怀孕到孕39周,剖宫产分娩,母子平安。
34岁的王某(化名),剖宫产后再次妊娠,因为是计划外,未到医院做B超检查,自行口服流产药物:

结果,当天晚上出现腹痛及阴道出血,急诊来了医院:

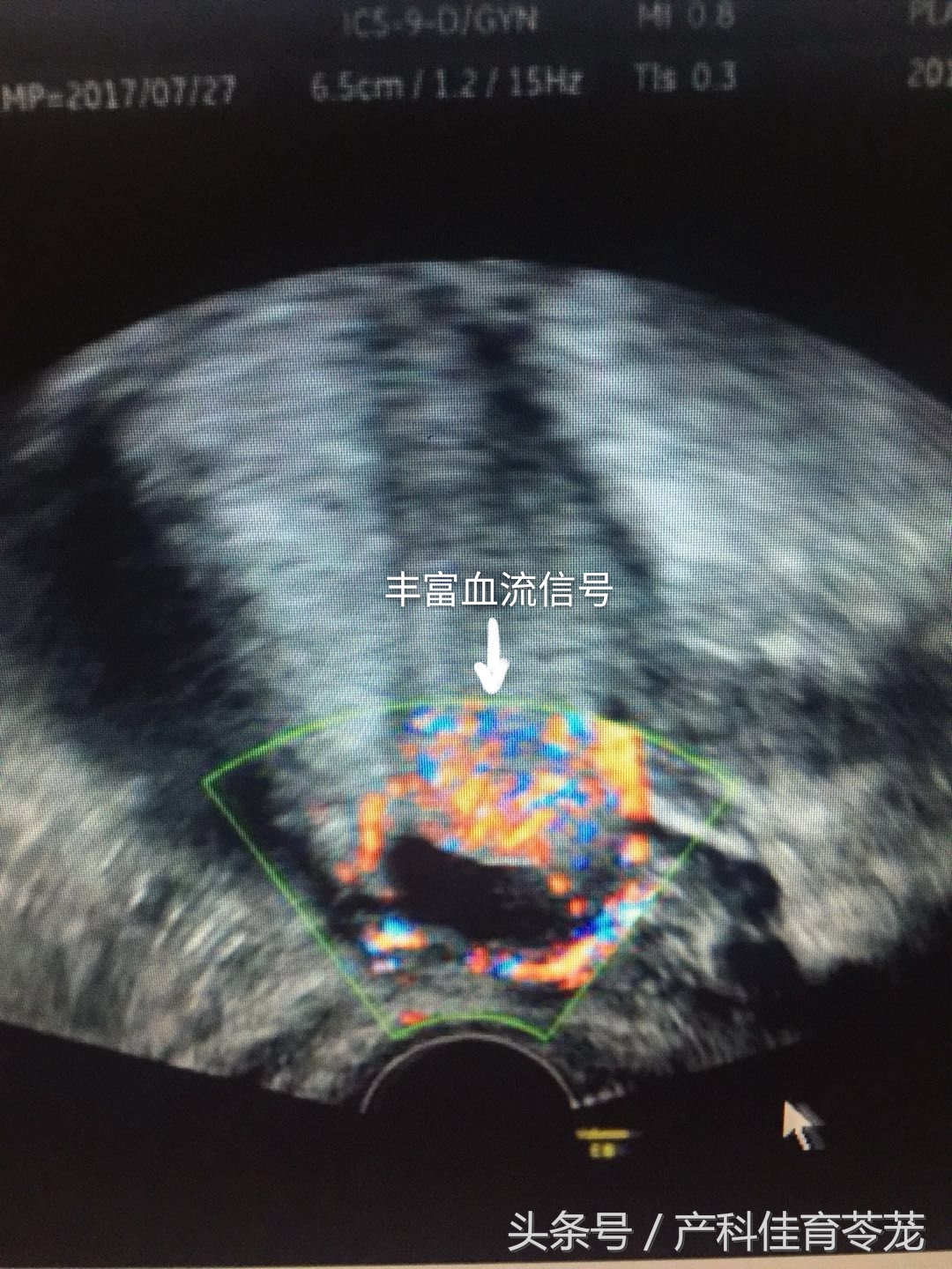
做了B超检查是这样的:

诊断为“瘢痕妊娠”,在腹腔镜监视下做了妊娠物清除术。
随着二胎政策的放开,剖宫产术后再孕的妈妈越来越多,瘢痕妊娠的发生率也逐渐升高,如果没有得到正确及时的诊治,将导致危及生命的后果。
今天,就讲讲瘢痕妊娠的事儿。
瘢痕妊娠是异位妊娠的一种
剖宫产术后子宫瘢痕妊娠(CSP)是指受精卵着床于上次剖宫产子宫切口瘢痕处:

因为受精卵不是着床在宫腔内,所以属于异位妊娠,是一种特殊类型的异位妊娠。
孕12周之前为瘢痕妊娠,孕12周以后,表现为胎盘植入,胎盘前置,到了孕中晚期,就形成凶险性前置胎盘。
CSP可能造成手术中及手术后难以控制的大出血、子宫破裂、周围器官损伤,甚至切除子宫等,严重威胁女性健康甚至生命。
瘢痕妊娠确诊依靠B超
经阴道和经腹超声联合检查,可以明确孕囊的位置,也可以明确孕囊与子宫前壁下段肌层及膀胱的关系。
(文中提到的李某做了阴道B超才排除了瘢痕妊娠,否则终止妊娠了就可惜了。)
典型的超声表现为:
宫腔内、子宫颈管内没有孕囊;
孕囊位于子宫前壁下段肌层(相当于前次剖宫产子宫切口部位);
彩色多普勒血流显像(CDFI)显示孕囊周边高速低阻血流信号;

子宫前壁肌层连续性中断,孕囊与膀胱之间的子宫肌层明显变薄、甚至消失。
如果B超还无法确定孕囊的位置和周围器官的关系,可以做核磁检查。
有剖宫产史的女性再次妊娠时应尽早行超声检查排除CSP!!!
瘢痕妊娠的分型见下图:

瘢痕妊娠的治疗
原则:早诊断、早终止、早清除。

药物治疗:
适合于生命体征平稳,血常规、肝肾功能正常者,不愿意或者不适合手术治疗的早孕期CSP;
孕周越小,血HCG越低,成功率越高。
超声监测下妊娠物清除术:Ⅱ型、Ⅲ型CSP以及孕周≥8周的Ⅰ型CSP术前需应用子宫动脉栓塞术或者药物治疗进行预处理,以减少术中出血。
妊娠物清除术及子宫瘢痕修补术:
可以选择开腹、腹腔镜、经阴道手术,妊娠周数超过10周或包块直径>6 cm者不建议经阴道手术;
术前可行预防性子宫动脉栓塞术,减少出血的风险;
术后要每周监测血β-hCG下降情况。
注意:
瘢痕妊娠后,如无生育要求,建议采取长期有效的避孕方法;
有生育要求者,建议半年后妊娠,但有发生瘢痕妊娠、胎盘植入、子宫破裂的风险。
剖宫产后瘢痕妊娠是异位妊娠的一种特殊类型,建议有剖宫产史的女性再次妊娠时要尽早行经阴道超声或者经阴道联合腹部超声确认受精卵着床位置,一旦确诊瘢痕妊娠,应尽早根据分型选择适合的治疗方法。
参考文献:
中华医学会妇产科学分会计划生育学组.剖宫产术后子宫瘢痕妊娠诊治专家共识(2016).中华妇产科杂志,2016,51(8):568-572