
来源:MedSci
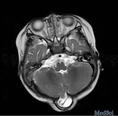
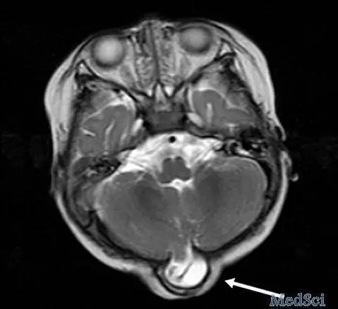
1岁患儿因枕部出现囊样突起而就诊于神经外科诊所,此囊样突起自患儿出生一直维持到现在。患儿为足月剖腹产,并没有出现神经系统症状,囊样突起自出生以来也没有继续增长。体格检查发现患儿的头围正常。囊样突起的大小为2.5 × 2.5 cm,易哭闹。系统检查并未发现相关的异常。头部磁共振成像结果如下(图1⇓)。

诊断:枕部脑膨出
讨论:MRI显示患儿枕骨局部缺损,脑脊液充满的囊腔加上部分脑组织从缺损部位向外膨出形成疝,表明患儿存在脑膨出问题(图 2⇓)。

脑膨出是一种罕见的先天性畸形,由于颅骨缺损导致脑膜和脑组织向外膨出形成疝。这是一种神经管缺陷,活产婴儿的发病率为1/10000 到5/10 000,约75%发生在枕部。颅裂和脑膨出的患儿应接受手术修复治疗。手术治疗的目的是切掉囊并将有功能的神经组织重新复位和保护。预后取决于脑膨出发生的解剖部位,膨出的脑组织的体积,以及是否存在其他共存畸形。既往一项研究发现,枕部脑膨出的患者较其他类型的脑膨出预后差。建议所有的孕妇利用产前超声检查进行筛查。越来越多应用于英国教学医院的胎儿磁共振成像也可以诊断这种疾病。此外,怀孕前和怀孕的早期补充叶酸或可有助于预防此类缺陷的发生。磁共振成像可在胎儿出生后确诊该病。
原始出处:
Yong-Hai Zhou, Ming-Hua Zheng, A boy with a sac-like protrusion at the occipital region. BMJ 2016; 353 doi: http://dx.doi.org/10.1136/bmj.i2073 (Published 14 April 2016)。
医学界儿科频道投稿邮箱:yxj_ek@yxj.org.cn
稿费:100—1000 小编微信号:huanbala