日前,一名72岁男性患者李某,以“左眼突发性视力下降视物变形3天”为主诉入住阜新矿总医院眼科,诊断为左眼湿性黄斑变性。
科主任赵键带领眼科医疗团队为患者施行了抗VEGF(血管内皮生长因子)药物玻璃体腔注射。
患者术前视力L:0.12,术后第一天左眼视力提高到0.2,视物变形消失;术后第二天视力明显提高到0.4,高兴出院。
出院2周后,患者来院复查视力显著提高到0.6。术后1个月、2个月后注射第二针、第三针,复查随访期间视力一直维持在0.6。


患者福音
阜新矿总医院眼科自2019年3月底开展抗VEGF(血管内皮生长因子)药物玻璃体腔注射治疗新生血管性眼病以来,在医院的大力支持及眼科所有医护人员的共同努力下,科室成功完成了相关手术100余例,频频创造治疗奇迹,让许多以前难以治愈的眼底病患者重获光明,术后患者视力显著提高,为患者带来福音。
目前,阜新矿总医院眼科此项技术日益精湛,在阜新地区处于绝对领先水平,并已达到国内顶尖医院水平,为更好的服务于阜新及周边地区患者打下了更为坚实的基础。


新生血管的形成是很多眼病的病理基础及临床表现;新生血管可出现在任何具有正常血管结构的眼组织,包括角膜、虹膜、视网膜、脉络膜等;其造成的渗漏、出血是视力丧失的主要原因。

新生血管的形成机制


新生血管性眼病的治疗方法
目前新生血管性眼病的治疗方法包括视网膜激光光凝术、光动力疗法、经瞳孔温热疗法、玻璃体手术治疗和药物治疗。而前几种方法都属于破坏性损伤性治疗,治疗疾病的同时也对视功能产生一定的损害,所以,达不到提高视力或治愈疾病的目的。只有抗VEGF药物治疗是损伤最小,并且作用快,直达病灶的有效方法。

抗VEGF类药物的作用
1.短期内改善视力;
2.促使新生血管消退;
3.减轻黄斑水肿;
4.促进视网膜下液吸收;
5.使色素上皮脱离消退。
诸多患者重见光明
01
病 例
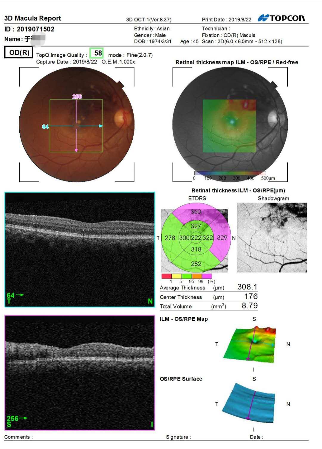
于某,男,45岁,以“右眼突发性视力下降伴眼前黑影1周”为主诉入院,诊断为:右眼视网膜分支静脉阻塞合并黄斑水肿,术前视力R:0.1,术后第一天右眼视力提高到0.4,出院2周后患者复查时视力提高到0.6,并且眼前黑影消失,术后1个月注射第二针,术后视力显著提高到0.8,术后2个月注射第三针,之后复查随访期间视力一直维持在0.8。

图1

图2
02
病 例
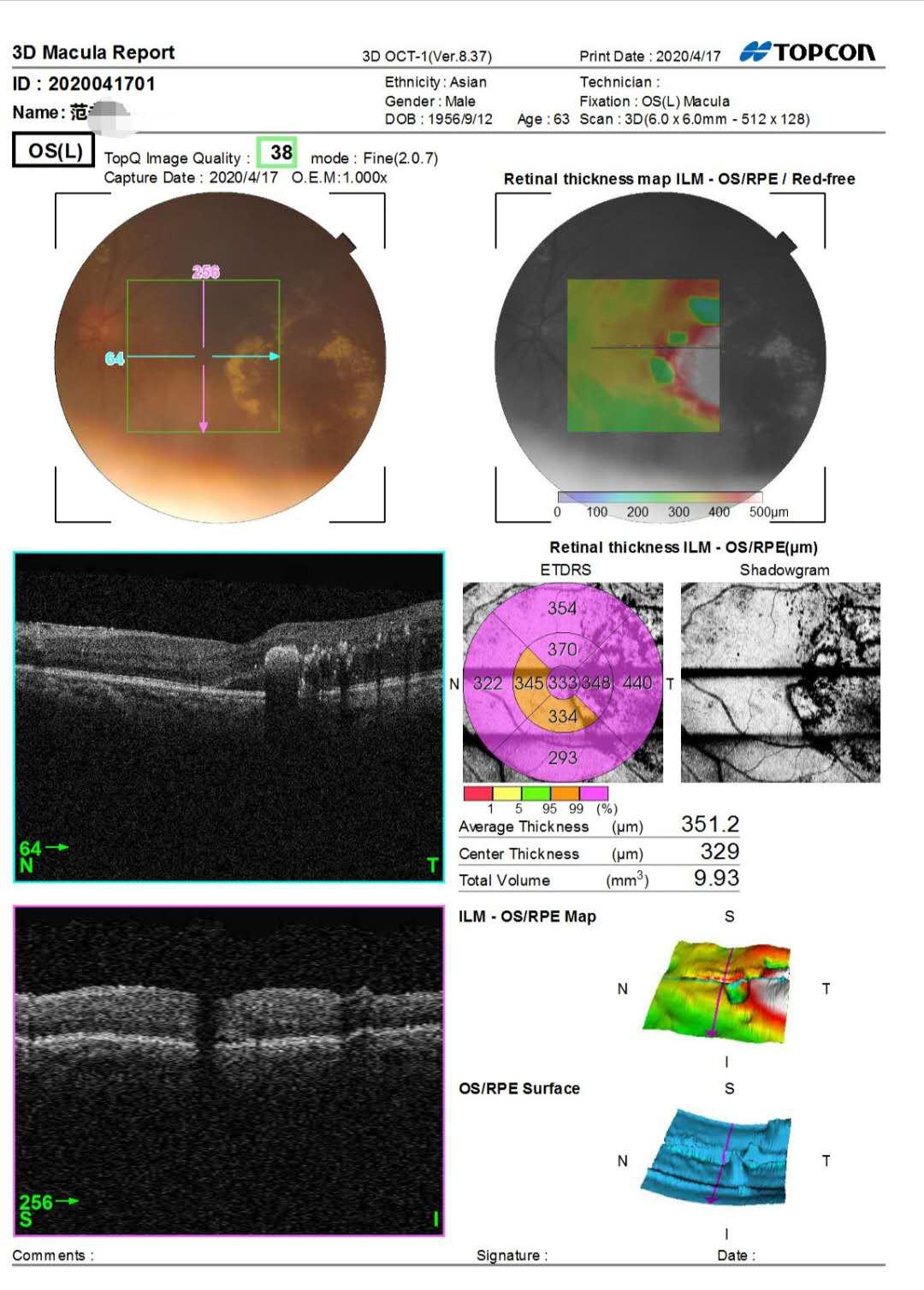
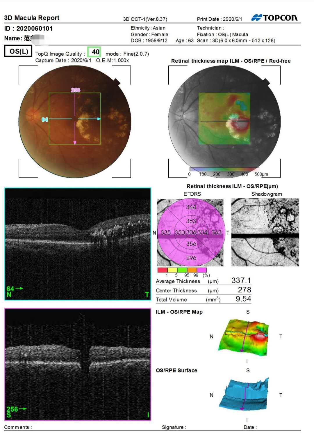
范某,男,63岁,以“左眼视力下降眼前黑影遮挡1个月”为主诉入院,诊断为:左眼糖尿病性视网膜病变合并黄斑水肿,术前视力L:0.08,术后第一天左眼视力提高到0.3,出院1周后患者行视网膜激光光凝术,术后1个月复查视力提高到0.5,目前继续随访治疗中。

图1

图2

图3

抗VEGF的主要治疗适应症
1.湿性老年性黄斑变性;
2.高度近视的黄斑脉络膜新生血管病变;
3.视网膜静脉阻塞合并黄斑水肿;
4.糖尿病视网膜病变合并黄斑水肿;
5.息肉状脉络膜血管病变;
6.特发性黄斑下新生血管病变;
7.新生血管性青光眼;
8.早产儿视网膜病变;
9.外层渗出性视网膜病变,如中心性渗出性脉络膜视网膜病变;
10.玻璃体视网膜手术前辅助用药。
其他适应症有:
葡萄膜炎症、外伤性玻璃体视网膜病变、肿瘤相关性、退行性病、放射性视网膜病变。

可见,抗VEGF类药物不仅损伤小,作用快,同时,其适应症种类之多的特点,为其在临床的广泛应用奠定了基础,这也为许多眼病的治疗提供了新的治疗思路和方法。
新生血管性眼病患者
不要再为视物模糊、视力减退而发愁,
总院眼科人将竭尽全力
为您的光明保驾护航!

科室始终本着
以患者为中心的服务理念,
锐意进取,开拓创新,
在学习中稳步前进,
不断提高技术水平,
始终走在时代的最前列!
来源: 辽健集团阜新矿总医院订阅号