胆囊息肉在医学上只是描述性用词,并非确切诊断。胆囊息肉指的是胆囊内壁长出的肿块,可能是良性的病变,也可能是恶性肿瘤。大部分的小息肉是采取定期随访追踪的处理方式;但如果息肉变大有恶性的风险时,就应考虑手术将胆囊取出,并做进一步的病理检查。不论是多先进的机器,如B超、CT、核磁共振,都无法事先确定胆囊息肉是什么样的本质,手术才是诊断的唯一工具。
胆囊息肉是很常见的问题,大约有4%的人会有胆囊息肉的问题,以下做个简单介绍。

手术中切下的胆囊,内有息肉和结石。
手术中切下的胆囊,内有息肉和结石。
大部分的胆囊息肉是良性病变,如胆囊黏膜增生或是胆固醇堆积。这些良性病变通常是小的息肉。小部分胆囊息肉是恶性肿瘤(主要是胆囊癌),这些恶性息肉通常是尺寸较大的息肉。
胆囊息肉大多没有任何症状,往往在做B超时候被意外发现。少数会有临床上的症状,主要是像胆结石的症状及并发症,如胆绞痛(右上腹疼痛)、胆囊炎、阻塞性黄胆、胰腺炎。有些学者认为胆囊息肉也可能造成上腹部不适、恶心及呕吐,但目前仍没有共识。
胆囊息肉的最重要检查,也是首选的检查:腹部B超。B超对人无害,又便宜。

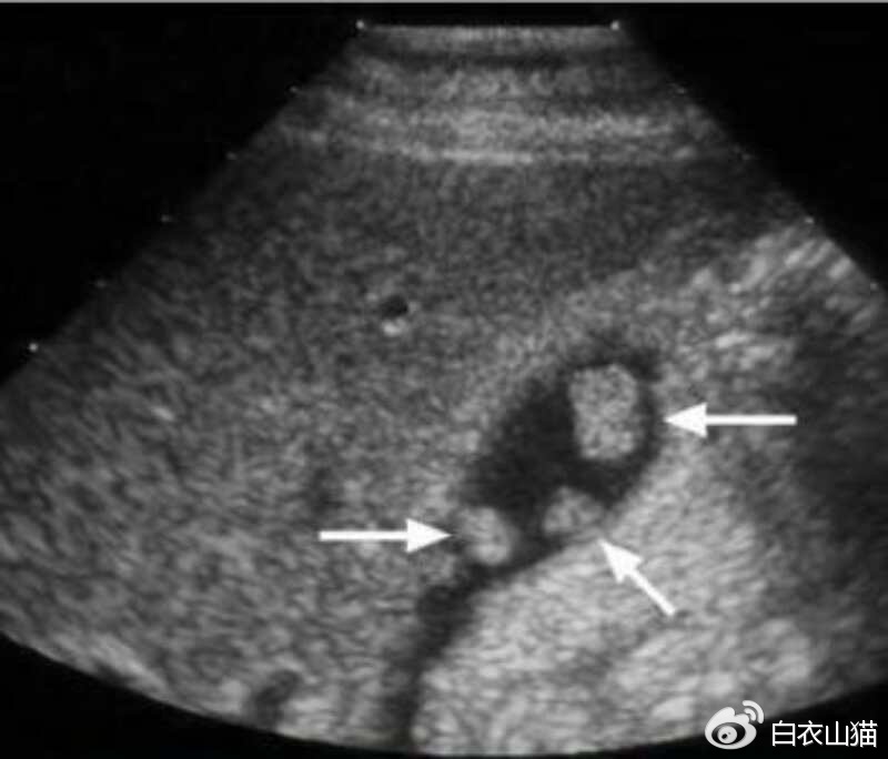
箭头所指就是胆囊息肉
箭头所指就是胆囊息肉
B超检查中最重要的依据是息肉大小。
1. 小于0.5公分的胆囊息肉:良性病变的机会较大
2. 0.5公分到1公分之间的胆囊息肉:可能是良性病变,但也可能是恶性肿瘤
3. 1公分到2公分之间的胆囊息肉:恶性肿瘤的机率约为50%
4. 大于2公分的胆囊息肉:绝大多数是恶性的肿瘤
目前对诊断胆囊息肉的其他检查包括:
1. CT检查:敏感度比B超差,较小的息肉无法看到,因此对评估胆囊息肉的帮助较小。如果怀疑是胆囊癌时,CT检查能评估有无转移以及有无肝脏的侵犯,此时才有做CT的必要。
2. 胃镜B超:理论上胃镜B超的准确度和灵敏度应该会比腹部B超好,但其缺点是属于侵入性检查,病人做起来毕竟难受,目前使用仍不普遍。
胆囊息肉的评估原则
要能明确的诊断胆囊息肉是良性或恶性的方法,只能依赖胆囊切除术,再进一步进行病理检查。目前并没有其他检查工具能明确的判断胆囊息肉的良性或恶性。
然而胆囊切除术也是有潜在风险的手术,因此目前对胆囊息肉的评估原则是先进行B超检查,判断其恶性的风险,根据恶性风险高低决定处理方向:
1、恶性风险低的胆囊息肉:会建议采取定期随访的方式。
2.、恶性风险高的胆囊息肉:可能会建议进一步的腹腔镜胆囊切除术,达到诊断兼治疗的目的。
胆囊息肉病人的治疗,会有两种可能建议:
1、进行胆囊切除术。
2.、 定期随访。
建议进行胆囊切除术的时机,以下情形应考虑胆囊切除术:
1、有症状或并发症的胆囊息肉:当胆囊息肉造成症状或并发症,如胆绞痛、(右上腹痛)胆囊炎或是胰腺炎。
2、恶性风险高的胆囊息肉:包括直径大于1厘米的息肉、直径逐渐增加的息肉、同时有胆结石及胆囊息肉的病人、同时有原发性硬化性胆管炎及胆囊息肉的病人。
1公分到2公分之间的胆囊息肉:恶性肿瘤的机率约为50%。大于2公分的胆囊息肉:绝大多数是恶性的肿瘤。
胆囊息肉的可能并发症
少数的胆囊息肉可能因为长大或脱落而造成胆道阻塞,这时就可能会造成胆绞痛,甚至并发急性胆囊炎、胆管炎或是胰腺炎。
建议定期随访的人:以下的胆囊息肉,没有相关症状或并发症时,也应定期随访:
1、小于0.5公分的胆囊息肉:良性的机会较大,但仍需要定期进行超音波检查,建议每半年到每一年检查一次
2、0.5公分到1公分之间的胆囊息肉:可能是良性肿瘤,但也可能是恶性肿瘤;因此需要更积极的进行B超随访。如果有变大的迹像,就要考虑进一步手术切除胆囊。
还有一个问题,有的人在手术前,B超检查,会一直报告有胆囊息肉,为什么在手术后却会没有了呢?
这牵涉到一个B超的诊断问题。
B超怎么来判断息肉和结石呢?
结石的B超表现有:胆囊腔强回声、后 方伴会有声影、声像具体表现会随着患者体位的改变 而发生移动现象。

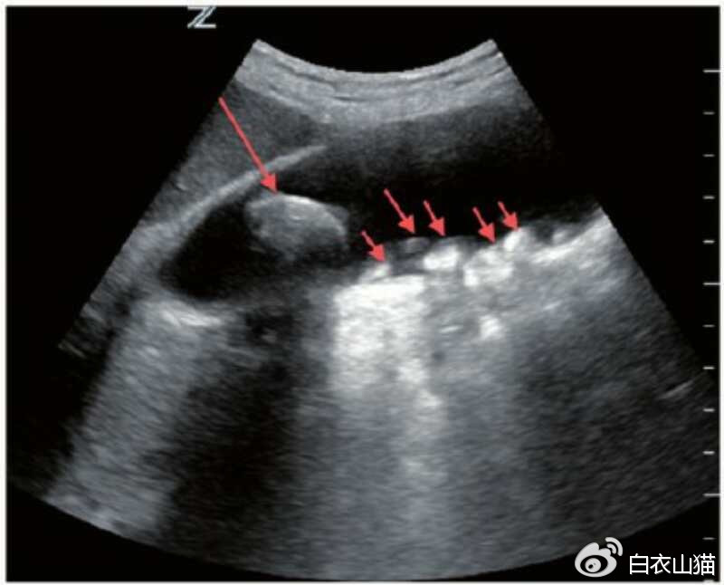
红箭头指向结石。
红箭头指向结石。
息肉的B超表现有: 胆囊壁有强或稍强回声光团,其后无声影, 声像具体表现不会随着患者体位的改变 而发生移动现象。
部分结石,比如胆固醇结石,比较疏松的时候,可以没有声影。这个时候,恰好结石又粘附在胆囊壁上,当然不会随体位变化而移动啦。这部分结石,会被B超下判断为息肉。
手术切除胆囊的时候,要抓胆囊,要把胆囊从1厘米直径的小孔取出来,在胆囊拉到皮肤这个洞口的时候,要先用夹子盲目在胆囊里钳夹出结石来,以便把胆囊从小孔里取出来。这个过程,完全可能把粘附在胆囊壁上的疏松结石扯下来的。有些人的胆囊息肉,在手术后的病理里,没有发现,完全有可能啊。
胆囊息肉方面的问题,也是我的爱问医生付费咨询里最常见的咨询之一。今天,我系统地写出来,相信大家都看得懂,谁如果有问题可以自己对照下,就不用一一向我付费咨询啦。