(病例资料2019年)贵州的李某,于一个多月前经同事介绍来找我,说胸闷不适,在杭州某大医院做过胸部CT的,叫我看一下。我先拿过他的报告单,如下所示:

看报告,发现没有什么特别,再看看片子,也没见明显的炎症、肺不张、积液、支气管扩张等情况,问了他症状,说主要是胸骨后沉闷感,巴掌大的一块地方,压着不舒服。我一听,这不是典型的心绞痛表现吗?赶紧把李某带到心内科同事那里,告诉他我怀疑是冠心病,交给他好好检查治疗。结果还真查出了心脏方面的问题:




果然是存在左前降支中重度狭窄,达50-75%。
心内科予以进一步查了冠脉造影,结果如下:

可见是前降支中段60%狭窄,那么还不至于需要支架植入或搭桥的程度,予以口服相关药物后就出院了。
到了本月初,呼吸内科同事叫我去会诊,说有个病人痰中带血入院,查气管镜发现右中间支气管占位,让我看看能不能手术。我到了那里一看,怎么这名字有点熟呀?后来才知道原来个把月前找我看过的。居然当时看过片子,没发现异常(后来想关键是省级医院没看出来,所以在先看杭州报告后再看片就疏漏掉了),现在说是肺癌!!下面是其气管镜情况:

可见右中间支气管开口处新生物,堵塞管腔,明显是肿瘤,但因当时服用波立维与阿斯匹林双抗治疗,停的时间还不够,所以没有活检,而刷检没找到癌细胞。请我会诊时,我看了李某的胸部CT增强:

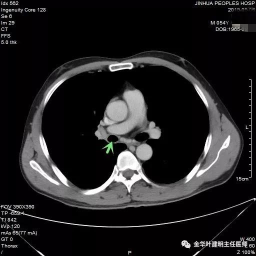
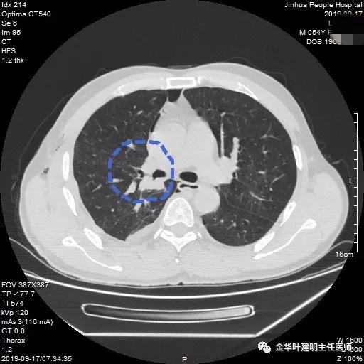
上图示上叶支气管通畅

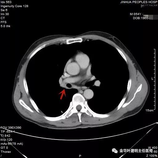
上图示中间支气管起始处似乎还算正常

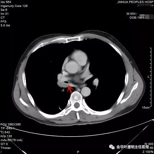
上图示中间支气管起始处以下3毫米处已经管壁增厚异常

上图示肿瘤堵塞管腔




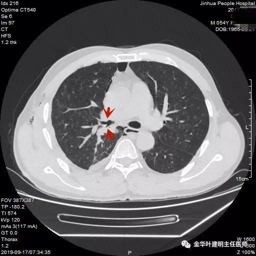
上面各图示肿瘤位于肺门部,堵塞下叶及中间支气管
我们仔细看了增强CT,纵隔未见确切疑似转移的肿大淋巴结,这样的情况下,是不是再次气管镜活检,还是直接可以手术?当然从原则上来讲,应该再重新纤支镜检查,再活检以取得病理确诊后,再行手术。但个人以为,从影像及气管镜所见来讲,临床诊断已经可以确定为肺癌,而且中央型的以鳞癌为多见,当然也有的会是小细胞癌,不过小细胞癌一般很早就会有纵隔淋巴结转移,如果患者及家属理解,我认为从减少痛苦、节约经费、节省时间等方面考虑,直接手术也基本不会错的。当然所有的利弊与可能都要如实与患者及家属沟通,并征求他们的意见,最终李某及家属选择不再重新纤支镜检查与活检,要求直接手术。
手术怎么做?中下叶切除肯定不行,肿瘤距中间支气管开口才3毫米,切缘一定会阳性的。那么是不是要全肺切除呢?虽然李某才56岁,右全肺可能也吃的消,但合并存在冠心病,又是右全肺不是左全肺切除,况且右上叶开口没有累及,显然直接切除右全肺是不妥的,也是可惜的。那么最适合的就是行“右肺中下叶袖式切除术”!也就是说把右中下叶的共干(中间支气管)连同其开口于右主支气管处都切除,同时也就切断了右上叶开口处,然后将右上叶支气管与右主支气管吻合起来。袖式肺叶切除在肺切除术中算是难度与风险都大的手术,当然如果肺动脉也要袖切,即所谓的双袖切则更是高难度手术。但在基层医院来讲,单支气管袖式肺叶切除也不是常见的手术,而是已经可以算高难度术式了。在袖式肺叶切除中,因为解剖关系与角度、支气管口径匹配等原因,右上叶袖式切除相对容易一点,也最为常见(点击链接:1小时40分钟:胸腔镜辅助下右肺上叶袖形切除)。我们诊疗组也有不少相关经验,但对于中下叶的袖式肺叶切除则更少见些,我们还是第一次,而且上叶支气管的口径与右主支气管相差较大,吻合时如何匹配需要术者更高的技术水平与缝合功底。
手术组经过讨论,决定采用胸腔镜辅助下的右肺中下叶袖式切除术,因为全胸腔镜下的操作,虽然解剖游离是可行的,但吻合来讲,纯镜下缝合与胸腔镜辅助下有胸部切口的与直视下相结合的缝合相比,还是后者容易与可靠一些,而对于我们基层医院来说,安全永远是第一位的,其实是不是延长切口在术后4-6个月恢复好了以后并没有太大的差别,但若吻合不牢靠,术后出现吻合口瘘或狭窄,则既对患者非常不利,也对院方及医生带来许多麻烦。当然我们也与李某充分沟通,告诉他这样的袖式肺叶切除手术在省级医院还是可以全腔镜下实施的,如果他想到上级医院去,我们会帮忙联系教授及安排;如果仍选择在本院手术,我们将在胸腔镜辅助下进行以提高手术的安全性。最后李某选择仍留在本院,由我主刀,由谭海栋副主任医师为第一助手,由李思晨医生为第二助手进行手术。
很快,经过术前准备,我们为其安排手术,手术时游离下肺韧带、清扫纵隔淋巴结、离断奇静脉、解剖肺静脉、下叶肺动脉与中叶肺动脉、适当游离上叶支气管,各项看操作有条不紊,最后于上叶支气管开口处切断,右主支气管处切断,移去标本,再用3-0无损伤线进行右上叶支气管与右主支气管的吻合,手术非常顺利。术中快速切片示病理为鳞癌,切缘阴性。术后膨肺时吻合上去的右上叶轻松可膨胀开,说明无狭窄情况;注生理盐水入胸腔并膨肺发现吻合口没有任何哪怕一点点漏气,说明吻合满意牢靠。下面是手术次日的胸片:

可见右上叶膨胀非常好!
术后第8天,复查胸部CT如下,见上叶复张良好,支气管吻合口通畅,恢复非常好,当天下午予以出院休养了,与平时胸腔镜下肺叶切除的时间相当。术后石蜡病理支气管旁淋巴结有1枚转移,纵隔淋巴结均阴性。我也在想如果当时勉强镜下吻合,会不会这么顺利呢?不管如何,病人安全,吻合满意,恢复顺利,这是最重要的!

蓝色区域为右主支气管与右上叶支气管吻合处

红色箭头所示较小的右上支气管与较粗的右主支气管,似乎有点套入的感觉

红色箭头所示吻合口,非常通畅,右上叶膨胀非常好
这是本院第一例胸腔镜辅助下的右肺中下叶袖式切除术(传统开胸也没有做过),回顾该例的诊治过程,有一些感触:
- 接诊患者时,相关的资料如果是外带的(或者本院查的也一样),专科的情况一定要自己看检查资料,不能只看辅助科室出具的报告单,即使报告是上级医院出具的也一样。如果李某后面不出现痰血,中央型的肺癌漏诊如果时间过长,后果不甚设想;
- 临床症状的表现可以典型,也可以不典型,虽然书本上的疾病都是典型的,我们有时碰到的患者所述的症状也是典型的,但仍要多一个心眼,注意有无合并其他疾病;
- 手术方式的选择上,因为大家所处的医院整体水平不同,经历的病历数量与经验也不同,不能为追求新技术新项目的开展而将患者的安全暴露在风险之中,安全的才是最好的、合适的才是该选择的!像本例,如果予以勉强行全胸腔镜下的袖式切除,成功了固然可喜可贺,但手术时间大幅延长,吻合满意度下降,术后并发症发生率升高,则对病人来说是不利的,也就与以病人利益为中心的原则相违背;
- 有更好的方法,更成熟的技术,我们也要如实告知患者,是否到省级医院手术,让其充分考虑后自己决定。为了让病人在本院手术而隐瞒或不充分告知也是不恰当的。
#肺癌手术#