2月3日下午14:30,脑病介入科曹骅主任带领赵宏廷主治医师、李建玲护士、王鹏举住院医师、丁伟住院医师进行我院第一例颅脑动静脉瘘介入栓塞手术,为确保手术成功,邀请了兰大二院神经外科介入专家张海林主任来做技术指导,为手术保驾护航,导管室杜军科老师、刘燕护士协助完成手术。
病例介绍

患者白某,男,68岁,汉族,因“突发言语不清5小时”于2021年1月28日 16:37以“急性脑血管病”就诊于我院急诊科。急诊完善颅脑CT未见出血,考虑急性脑梗死,由于错过了静脉溶栓治疗时间窗,准备于导管室取栓治疗,但完善脑血管造影后发现患者并非急性脑栓塞病变,而是硬脑膜动静脉瘘所致。因此为求诊疗精确,于内科保守治疗一周,并远程邀请兰大二院神经外科介入专家张海林教授会诊后确诊为硬脑膜动静脉瘘,并决定于今日行介入下颅脑动静脉瘘栓塞术。
硬脑膜动静脉瘘(dAVF)约占所有颅内血管畸形的10%,是位于硬脑膜内的动脉和静脉系统之间的异常分流,导致静脉压力过高,从而出现颅内脑组织毛细血管血流瘀滞,最终导致缺血性脑梗塞,症状酷似急性缺血性脑梗塞,目前病因仍然不明确。虽然它们可能是良性病变,但存在逆行静脉引流和皮质静脉回流,使这些病变的自然病程具有高出血、神经损伤和死亡的逆袭性的高风险。血管内治疗通常是dAVF的一线治疗,主要方法包括栓塞瘘的连接处及其静脉成分。

2021年2月3日14:30,在与患者家属充分沟通,告知患者手术风险、手术过程及注意事项后,便开始了紧张的手术治疗。
脑病介入科曹骅主任、赵宏廷主治医师先进行左侧颈外动脉血管造影,以明确复杂瘘口,术前造影:颈外动脉中包括枕动脉、耳后动脉、颞浅动脉的多个分支通过硬脑膜向颅内静脉形成异常引流,栓塞术难道很大。

手术过程:术中采取弹簧圈辅助填塞,Onyx液态胶多支供血动脉分次栓塞治疗措施,由于供血动脉纵横交错,手术难道可想而知,经过4小时的艰难努力,于18:30手术结束,术程顺利,成功帮助患者填塞了动静脉瘘,为患者解决了病痛。

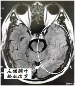
手术后

脑病介入科简介

甘肃省中医院脑病科是卫生部脑病重点专科、甘肃省脑病临床中心平台。其中脑病介入科是在原脑病科基础上于2017年新成立的临床科室,是适应社会的发展和病种的需要成立的新型科室。
脑病介入科现有主任医师1人,副主任医师2人,主治医师1人,住院医师2人,均为硕士研究生学历。
科室以脑血管病诊疗为主,正在筹建卒中中心,科室可开展急性脑卒中的静脉溶栓、急性大血管闭塞的急诊拉栓、脑动脉瘤的栓塞、静脉窦血栓的静脉窦内溶栓、颅内外血管狭窄的支架置入等脑血管病的诊断和介入治疗,脑出血微创血肿碎吸术等手术治疗;同时科室在临床运用中西药、针灸、中医特色治疗、康复理疗等综合疗法治疗和预防神经系统疾病帕金森病、肌张力障碍、痴呆、脑炎、重症肌无力、脊髓炎、运动神经元病等疑难杂症的诊断及中西医结合治疗亦积累了丰富的经验。
信息 | 脑病介入科 王鹏举 丁伟
编辑 | 宣传处 马志强

甘肃省中医院微信公众号

甘肃省中医院微服务
预约挂号、诊间缴费、报告查询等