3月,一对来自河源市和平县的父母带着年仅15岁的少女来到了暨南大学附属第一医院妇科。在这本是天真浪漫、无忧无虑的就学年龄,为什么来到了妇科住院呢?
少女子宫畸形 月经初潮即出现异常
少女小蓝于2021年2月月经初潮,初潮后一周出现下腹胀痛,伴尿急和排尿困难。因为尿排不出来,下腹胀得更加厉害,父母赶紧带小蓝到当地急诊科就诊,插了导尿管后才解决了排尿问题。急诊检查的彩超提示膀胱后方有一个接近15cm的肿块。小蓝和父母面对检查结果十分紧张,赶紧到专科就诊继续检查。
当地县人民医院检查考虑子宫异常声像为纵膈子宫。患者及其父母为进一步明确诊治,慕名来到暨大附一院就诊。父母带她来到妇科沈媛主任的诊室求诊。
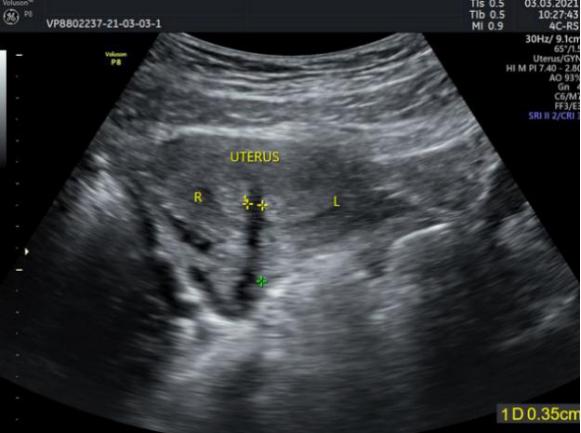
检查彩超结果显示:子宫形态轮廓大小正常。宫体中央见一低回声带,宽约11mm,将内膜分成两部分,并延续至宫颈外口。提示:子宫畸形,考虑完全纵膈子宫,双宫颈(双阴道?)。左侧宫颈管扩张,超声所见考虑经血潴留(左侧阴道闭锁?)。

术前彩超检查 子宫分为左右两个宫腔

医生手绘示意图
经过妇科主任医师沈媛诊断:阴道斜隔II型有孔型。沈媛主任团队综合患者情况,考虑患者青少年女性,沈媛主任医师及陈舒主治医师在B超引导下行宫腔镜宫腔粘连松解术+阴道斜膈切开术。术后小蓝恢复良好,2天后顺利出院。
少女月经初潮有异常 应及时到医院就诊
阴道斜膈是阴道畸形的一种,通常是由于先天性胚胎期发育异常而引起的主要分为三型:1.无孔型(I型)指一侧阴道完全闭锁,隔后子宫与外界及对侧子宫完全隔离,两子宫间和两阴道间无通道,宫腔积血聚积在隔后阴道腔。2.有孔型(II型)指一侧阴道不完全闭锁,隔上有一个直径数毫米的小孔,隔后子宫亦与对侧隔绝,经血可通过小孔流出,但引流不畅。3.宫颈瘘管型(III型)指一侧阴道完全闭锁,在两侧宫颈或隔后阴道与对侧宫颈有小瘘管,有隔一侧经血可通过另一侧宫颈排除,引流不通畅。
沈媛指出,本例患者月经初潮正常启动,但因为一侧阴道异常闭锁,导致月经血无法正常排出,经年累月后经血潴留出现了腹痛症状从而就诊。对于无*生活性**史的青少年患者,可以选择无损伤处女膜宫腔镜切除阴道斜隔。宫腔镜可协助判断斜隔孔道的位置和大小,同时阴道斜隔切除后宫腔镜了解宫颈及双侧子宫腔情况。
在妇科门诊,经常会遇到一些少女因月经异常问题羞于向父母提起,没有及时告知父母自己的身体状况,在饱受困恼后才就诊,这时可能已经失去了最佳的治疗时期,造成了令人痛心的结局。
小蓝是比较幸运的,父母及时关注到她的不适,月经初潮后就针对病症就诊。如果她没有来到医院,将继续饱受月经血无法排出的痛苦,也可能会出现更加严重的后果,比如宫腔积血、宫腔感染、子宫内膜异位症,甚至是失去生育能力,给自己、家人和家庭造成无法挽回的遗憾。目前经过暨南大学附属第一医院妇科针对她的情况采取的最理想的手术方式,使她及时有效得到治疗,后续可以正常月经来潮,可结婚及生育,重获健康生活。
沈媛提醒,如果年轻女孩子青春期月经未来潮或有异常情况,建议医院就诊排除生殖道畸形等相关疾患,及时解决问题。
(通讯员:黄晨玲子 编辑:张灿城)
#暨南大学附属第一医院#